Telefon:
+49 (0)241 95 163 153
Fax:
+49 (0)241 95 163 155
E-Mail:
orders@antikoerper-online.de

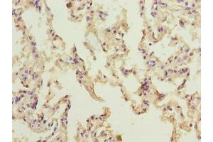
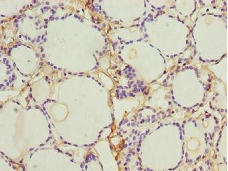
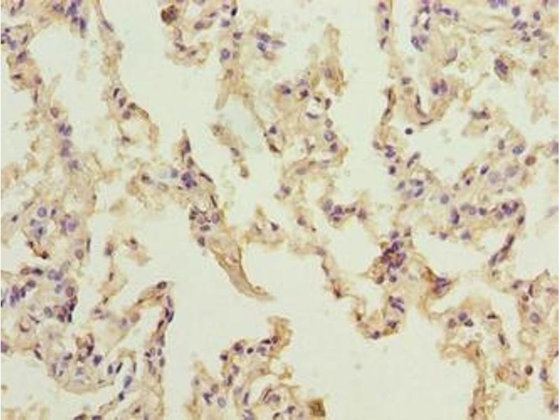
NINJ2 Antikörper (AA 17-81)

Dieser Kaninchen Polyklonal Antikörper detektiert spezifisch NINJ2 in ELISA, IHC und IF. Es zeigt Reaktivität gegenüber Proben von Human.
Produktnummer ABIN7161614
328,90 €
Zzgl. Versandkosten 20,00 € und MwSt
Lieferung nach: Deutschland
Lieferung in 11 bis 15 Werktagen

Kurzübersicht für NINJ2 Antikörper (AA 17-81) (ABIN7161614)

Target

Alle NINJ2 Antikörper anzeigen
NINJ2 (Ninjurin 2 (NINJ2))

Reaktivität

  • 12
  • 3
  • 2
Human

Wirt

  • 6
  • 6
  • 1
Kaninchen

Klonalität

  • 10
  • 3
Polyklonal

Konjugat

  • 9
  • 2
  • 1
  • 1
Dieser NINJ2 Antikörper ist unkonjugiert

Applikation

ELISA, Immunohistochemistry (IHC), Immunofluorescence (IF)
  • Bindungsspezifität

    • 4
    • 1
    • 1
    • 1
    • 1
    • 1
    AA 17-81

    Verwendungszweck

    NINJ2 Antibody

    Aufreinigung

    Protein G purified

    Reinheit

    >95 %

    Immunogen

    Recombinant Human Ninjurin-2 protein (17-81AA)

    Isotyp

    IgG
  • Applikationshinweise

    Optimal working dilution should be determined by the investigator.

    Beschränkungen

    Nur für Forschungszwecke einsetzbar
  • Format

    Liquid

    Buffer

    Preservative: 0.03 % Proclin 300
    Constituents: 50 % Glycerol, 0.01M PBS, PH 7.4

    Konservierungsmittel

    ProClin

    Vorsichtsmaßnahmen

    This product contains ProClin: a POISONOUS AND HAZARDOUS SUBSTANCE which should be handled by trained staff only.

    Lagerung

    -20 °C,-80 °C

    Informationen zur Lagerung

    Upon receipt, store at -20°C or -80°C. Avoid repeated freeze.
  • Target

    NINJ2 (Ninjurin 2 (NINJ2))

    Andere Bezeichnung

    NINJ2

    Hintergrund

    Background: Homophilic cell adhesion molecule that promotes axonal growth. May play a role in nerve regeneration and in the formation and function of other tissues.

    Aliases: Nerve injury induced protein 2 antibody, Nerve injury-induced protein 2 antibody, NINJ2 antibody, NINJ2_HUMAN antibody, Ninjurin-2 antibody

    UniProt

    Q9NZG7
Sie sind hier:
Chat with us!