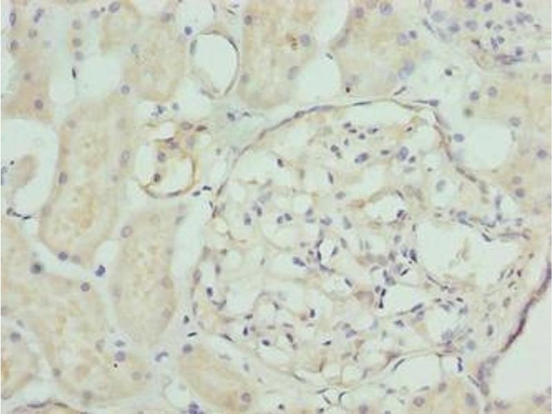
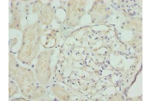
NFAM1 Antikörper (AA 186-270)
Kurzübersicht für NFAM1 Antikörper (AA 186-270) (ABIN7161542)
Target
Alle NFAM1 Antikörper anzeigenReaktivität
Wirt
Klonalität
Konjugat
Applikation
-
-
Bindungsspezifität
- AA 186-270
-
Verwendungszweck
- NFAM1 Antibody
-
Aufreinigung
- Protein G purified
-
Reinheit
- >95 %
-
Immunogen
- Recombinant Human NFAT activation molecule 1 protein (186-270AA)
-
Isotyp
- IgG
-
-
-
-
Applikationshinweise
- Optimal working dilution should be determined by the investigator.
-
Beschränkungen
- Nur für Forschungszwecke einsetzbar
-
-
-
Format
- Liquid
-
Buffer
-
Preservative: 0.03 % Proclin 300
Constituents: 50 % Glycerol, 0.01M PBS, PH 7.4 -
Konservierungsmittel
- ProClin
-
Vorsichtsmaßnahmen
- This product contains ProClin: a POISONOUS AND HAZARDOUS SUBSTANCE which should be handled by trained staff only.
-
Lagerung
- -20 °C,-80 °C
-
Informationen zur Lagerung
- Upon receipt, store at -20°C or -80°C. Avoid repeated freeze.
-
-
- NFAM1 (NFAT Activating Protein with ITAM Motif 1 (NFAM1))
-
Andere Bezeichnung
- NFAM1
-
Hintergrund
-
Background: May function in immune system as a receptor which activates via the calcineurin/NFAT-signaling pathway the downstream cytokine gene promoters. Activates the transcription of IL-13 and TNF-alpha promoters. May be involved in the regulation of B-cell, but not T-cell, development. Overexpression activates downstream effectors without ligand binding or antibody cross-linking.
Aliases: NFAM1 antibody, CNAIPNFAT activation molecule 1 antibody, Calcineurin/NFAT-activating ITAM-containing protein antibody, NFAT-activating protein with ITAM motif 1 antibody
-
UniProt
- Q8NET5
Target
-