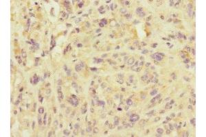
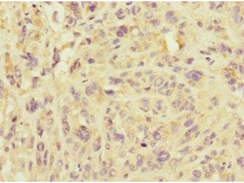
IMMP2L Antikörper (AA 1-100)
Kurzübersicht für IMMP2L Antikörper (AA 1-100) (ABIN7159921)
Target
Alle IMMP2L Antikörper anzeigenReaktivität
Wirt
Klonalität
Konjugat
Applikation
-
-
Bindungsspezifität
- AA 1-100
-
Verwendungszweck
- IMMP2L Antibody
-
Aufreinigung
- Antigen Affinity Purified
-
Immunogen
- Recombinant Human Mitochondrial inner membrane protease subunit 2 protein (1-100AA)
-
Isotyp
- IgG
-
-
-
-
Applikationshinweise
- Optimal working dilution should be determined by the investigator.
-
Beschränkungen
- Nur für Forschungszwecke einsetzbar
-
-
-
Format
- Liquid
-
Buffer
- PBS with 0.02 % sodium azide, 50 % glycerol, pH 7.3.
-
Konservierungsmittel
- Sodium azide
-
Vorsichtsmaßnahmen
- This product contains Sodium azide: a POISONOUS AND HAZARDOUS SUBSTANCE which should be handled by trained staff only.
-
Lagerung
- -20 °C,-80 °C
-
Informationen zur Lagerung
- Upon receipt, store at -20°C or -80°C. Avoid repeated freeze.
-
-
- IMMP2L (Inner Mitochondrial Membrane Peptidase Subunit 2 (IMMP2L))
-
Andere Bezeichnung
- IMMP2L
-
Hintergrund
-
Background: Catalyzes the removal of transit peptides required for the targeting of proteins from the mitochondrial matrix, across the inner membrane, into the inter-membrane space. Known to process the nuclear encoded protein DIABLO.
Aliases: IMMP2LMitochondrial inner membrane protease subunit 2 antibody, EC 3.4.21.- antibody, IMP2-like protein antibody
-
UniProt
- Q96T52
Target
-