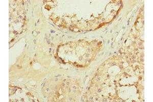
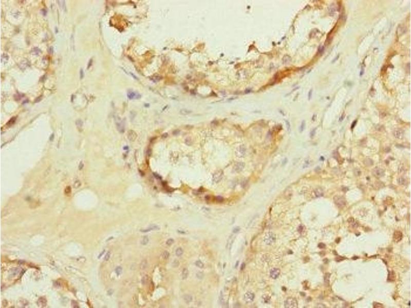
TOMM34 Antikörper (AA 1-309)
Kurzübersicht für TOMM34 Antikörper (AA 1-309) (ABIN7159917)
Target
Alle TOMM34 Antikörper anzeigenReaktivität
Wirt
Klonalität
Konjugat
Applikation
-
-
Bindungsspezifität
- AA 1-309
-
Verwendungszweck
- TOMM34 Antibody
-
Aufreinigung
- Antigen Affinity Purified
-
Immunogen
- Recombinant Human Mitochondrial import receptor subunit TOM34 protein (1-309AA)
-
Isotyp
- IgG
-
-
-
-
Applikationshinweise
- Optimal working dilution should be determined by the investigator.
-
Beschränkungen
- Nur für Forschungszwecke einsetzbar
-
-
-
Format
- Liquid
-
Buffer
- PBS with 0.02 % sodium azide, 50 % glycerol, pH 7.3.
-
Konservierungsmittel
- Sodium azide
-
Vorsichtsmaßnahmen
- This product contains Sodium azide: a POISONOUS AND HAZARDOUS SUBSTANCE which should be handled by trained staff only.
-
Lagerung
- -20 °C,-80 °C
-
Informationen zur Lagerung
- Upon receipt, store at -20°C or -80°C. Avoid repeated freeze.
-
-
- TOMM34 (Translocase of Outer Mitochondrial Membrane 34 (TOMM34))
-
Andere Bezeichnung
- TOMM34
-
Hintergrund
-
Background: Plays a role in the import of cytosolically synthesized preproteins into mitochondria. Binds the mature portion of precursor proteins. Interacts with cellular components, and possesses weak ATPase activity. May be a chaperone-like protein that helps to keep newly synthesized precursors in an unfolded import compatible state.
Aliases: hTom34 antibody, HTOM34P antibody, Mitochondrial import receptor subunit TOM34 antibody, OTTHUMP00000031079 antibody, Outer mitochondrial membrane translocase (34kD) antibody, TOM 34 antibody, TOM34 antibody, TOM34_HUMAN antibody, TOMM 34 antibody, TOMM34 antibody, Translocase of outer membrane 34 kDa subunit antibody, Translocase of outer mitochondrial membrane 34 antibody, URCC 3 antibody, URCC3 antibody
-
UniProt
- Q15785
Target
-