Telefon:
+49 (0)241 95 163 153
Fax:
+49 (0)241 95 163 155
E-Mail:
orders@antikoerper-online.de

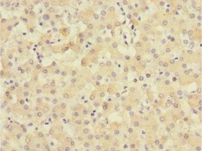
TIMM50 Antikörper (AA 87-353)

Der Kaninchen Polyklonal anti-TIMM50 Antikörper (ABIN7159906) detektiert spezifisch TIMM50 in WB, ELISA und IHC. Dieser Antikörper reagiert spezifisch mit Proben aus Human.
Produktnummer ABIN7159906
328,90 €
Zzgl. Versandkosten 20,00 € und MwSt
Lieferung nach: Deutschland
Lieferung in 11 bis 15 Werktagen

Kurzübersicht für TIMM50 Antikörper (AA 87-353) (ABIN7159906)

Target

Alle TIMM50 Antikörper anzeigen
TIMM50 (Translocase of Inner Mitochondrial Membrane 50 Homolog (TIMM50))

Reaktivität

  • 34
  • 15
  • 5
  • 1
  • 1
  • 1
  • 1
  • 1
  • 1
  • 1
Human

Wirt

  • 32
  • 1
  • 1
Kaninchen

Klonalität

  • 19
  • 15
Polyklonal

Konjugat

  • 20
  • 2
  • 1
  • 1
  • 1
  • 1
  • 1
  • 1
  • 1
  • 1
  • 1
  • 1
  • 1
  • 1
Dieser TIMM50 Antikörper ist unkonjugiert

Applikation

  • 33
  • 14
  • 14
  • 3
  • 3
  • 2
  • 1
Western Blotting (WB), ELISA, Immunohistochemistry (IHC)
  • Bindungsspezifität

    • 8
    • 2
    • 2
    • 1
    • 1
    • 1
    • 1
    • 1
    • 1
    AA 87-353

    Verwendungszweck

    TIMM50 Antibody

    Kreuzreaktivität

    Ratte

    Aufreinigung

    Antigen Affinity Purified

    Immunogen

    Recombinant Human Mitochondrial import inner membrane translocase subunit TIM50 protein (87-353AA)

    Isotyp

    IgG
  • Applikationshinweise

    Optimal working dilution should be determined by the investigator.

    Beschränkungen

    Nur für Forschungszwecke einsetzbar
  • Format

    Liquid

    Buffer

    PBS with 0.02 % sodium azide, 50 % glycerol, pH 7.3.

    Konservierungsmittel

    Sodium azide

    Vorsichtsmaßnahmen

    This product contains Sodium azide: a POISONOUS AND HAZARDOUS SUBSTANCE which should be handled by trained staff only.

    Lagerung

    -20 °C,-80 °C

    Informationen zur Lagerung

    Upon receipt, store at -20°C or -80°C. Avoid repeated freeze.
  • Target

    TIMM50 (Translocase of Inner Mitochondrial Membrane 50 Homolog (TIMM50))

    Andere Bezeichnung

    TIMM50

    Hintergrund

    Background: Essential component of the TIM23 complex, a complex that mediates the translocation of transit peptide-containing proteins across the mitochondrial inner membrane. Has some phosphatase activity in vitro, however such activity may not be relevant in vivo. Isoform 2 may participate in the release of snRNPs and SMN from the Cajal body.

    Aliases: Homolog of yeast Tim50 antibody, Import inner membrane translocase subunit TIM 50 antibody, Import inner membrane translocase subunit TIM50 antibody, Import inner membrane translocase subunit TIM50 mitochondrial antibody, MGC102733 antibody, Mitochondrial import inner membrane translocase subunit TIM50 antibody, TIM 50 antibody, TIM 50L antibody, TIM50 antibody, Tim50 like protein antibody, TIM50_HUMAN antibody, TIM50L antibody, TIMM 50 antibody, TIMM50 antibody, translocase of inner mitochondrial membrane 50 homolog (S. cerevisiae) antibody, Translocase of inner mitochondrial membrane 50 homolog (yeast) antibody, Translocase of inner mitochondrial membrane 50 homolog antibody, Translocase of inner mitochondrial membrane 50, yeast, homolog of antibody

    UniProt

    Q3ZCQ8
Sie sind hier:
Chat with us!