Telefon:
+49 (0)241 95 163 153
Fax:
+49 (0)241 95 163 155
E-Mail:
orders@antikoerper-online.de

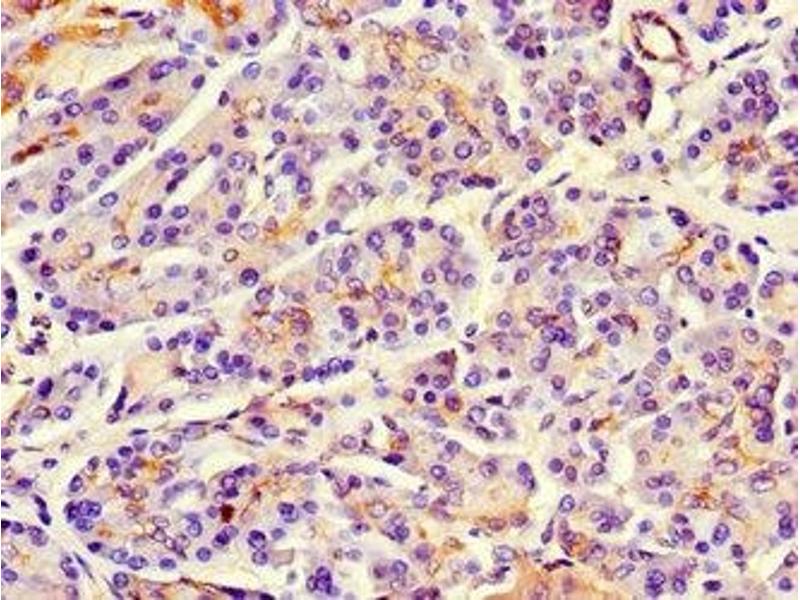
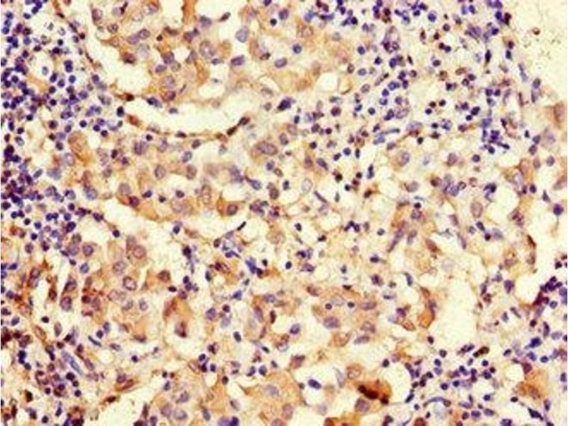
MAP10 Antikörper (AA 401-600)

Der Kaninchen Polyklonal anti-MAP10 Antikörper wird verwendet zum Nachweis von MAP10 in Proben von Human. Er wurde validiert für ELISA, IHC, WB und IF.
Produktnummer ABIN7159746
328,90 €
Zzgl. Versandkosten 20,00 € und MwSt
Lieferung nach: Deutschland
Lieferung in 11 bis 15 Werktagen

Kurzübersicht für MAP10 Antikörper (AA 401-600) (ABIN7159746)

Target

MAP10 (Microtubule-Associated Protein 10 (MAP10))

Reaktivität

  • 8
  • 1
Human

Wirt

  • 8
Kaninchen

Klonalität

  • 8
Polyklonal

Konjugat

  • 2
  • 2
  • 2
  • 2
Dieser MAP10 Antikörper ist unkonjugiert

Applikation

  • 7
  • 2
  • 2
  • 1
  • 1
ELISA, Immunohistochemistry (IHC), Western Blotting (WB), Immunofluorescence (IF)
  • Bindungsspezifität

    AA 401-600

    Verwendungszweck

    MAP10 Antibody

    Kreuzreaktivität

    Maus

    Aufreinigung

    Protein G purified

    Reinheit

    >95 %

    Immunogen

    Recombinant Human Microtubule-associated protein 10 protein (401-600AA)

    Isotyp

    IgG
  • Applikationshinweise

    Optimal working dilution should be determined by the investigator.

    Beschränkungen

    Nur für Forschungszwecke einsetzbar
  • Format

    Liquid

    Buffer

    Preservative: 0.03 % Proclin 300
    Constituents: 50 % Glycerol, 0.01M PBS, PH 7.4

    Konservierungsmittel

    ProClin

    Vorsichtsmaßnahmen

    This product contains ProClin: a POISONOUS AND HAZARDOUS SUBSTANCE which should be handled by trained staff only.

    Lagerung

    -20 °C,-80 °C

    Informationen zur Lagerung

    Upon receipt, store at -20°C or -80°C. Avoid repeated freeze.
  • Target

    MAP10 (Microtubule-Associated Protein 10 (MAP10))

    Andere Bezeichnung

    MAP10

    Hintergrund

    Background: Microtubule-associated protein (MAP) that plays a role in the regulation of cell division, promotes microtubule stability and participates in the organization of the spindle midzone and normal progress of cytokinesis.

    Aliases: MAP10 antibody, KIAA1383 antibody, MTR120Microtubule-associated protein 10 antibody, Microtubule regulator of 120 KDa antibody

    UniProt

    Q9P2G4
Sie sind hier:
Chat with us!