Telefon:
+49 (0)241 95 163 153
Fax:
+49 (0)241 95 163 155
E-Mail:
orders@antikoerper-online.de

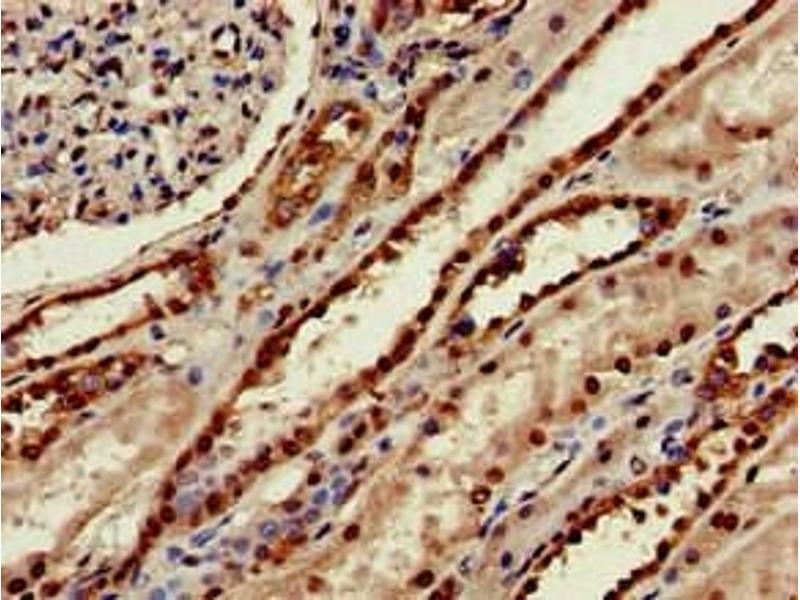
MSRB1 Antikörper (AA 1-116)

Der Kaninchen Polyklonal anti-MSRB1 Antikörper (ABIN7159597) detektiert spezifisch MSRB1 in ELISA, IHC und IF. Dieser Antikörper reagiert spezifisch mit Proben aus Human.
Produktnummer ABIN7159597
328,90 €
Zzgl. Versandkosten 20,00 € und MwSt
Lieferung nach: Deutschland
Lieferung in 11 bis 15 Werktagen

Kurzübersicht für MSRB1 Antikörper (AA 1-116) (ABIN7159597)

Target

Alle MSRB1 (SEPX1) Antikörper anzeigen
MSRB1 (SEPX1) (Selenoprotein X, 1 (SEPX1))

Reaktivität

  • 19
  • 3
  • 3
Human

Wirt

  • 16
  • 3
Kaninchen

Klonalität

  • 17
  • 2
Polyklonal

Konjugat

  • 9
  • 2
  • 1
  • 1
  • 1
  • 1
  • 1
  • 1
  • 1
  • 1
Dieser MSRB1 Antikörper ist unkonjugiert

Applikation

  • 8
  • 7
  • 3
  • 2
  • 1
  • 1
ELISA, Immunohistochemistry (IHC), Immunofluorescence (IF)
  • Bindungsspezifität

    • 5
    • 2
    • 1
    • 1
    AA 1-116

    Verwendungszweck

    MSRB1 Antibody

    Aufreinigung

    Protein G purified

    Reinheit

    >95 %

    Immunogen

    Recombinant Human Methionine-R-sulfoxide reductase B1 protein (1-116AA)

    Isotyp

    IgG
  • Applikationshinweise

    Optimal working dilution should be determined by the investigator.

    Beschränkungen

    Nur für Forschungszwecke einsetzbar
  • Format

    Liquid

    Buffer

    Preservative: 0.03 % Proclin 300
    Constituents: 50 % Glycerol, 0.01M PBS, pH 7.4

    Konservierungsmittel

    ProClin

    Vorsichtsmaßnahmen

    This product contains ProClin: a POISONOUS AND HAZARDOUS SUBSTANCE which should be handled by trained staff only.

    Lagerung

    -20 °C,-80 °C

    Informationen zur Lagerung

    Upon receipt, store at -20°C or -80°C. Avoid repeated freeze.
  • Target

    MSRB1 (SEPX1) (Selenoprotein X, 1 (SEPX1))

    Andere Bezeichnung

    MSRB1

    Hintergrund

    Background: Methionine-sulfoxide reductase that specifically reduces methionine (R)-sulfoxide back to methionine. While in many cases, methionine oxidation is the result of random oxidation following oxidative stress, methionine oxidation is also a post-translational modification that takes place on specific residue. Acts as a regulator of actin assembly by reducing methionine (R)-sulfoxide mediated by MICALs (MICAL1, MICAL2 or MICAL3) on actin, thereby promoting filament repolymerization. Plays a role in innate immunity by reducing oxidized actin, leading to actin repolymerization in macrophages (By similarity).

    Aliases: Annexin A2 like antibody, EC 1 8 4 antibody, HSPC 270 antibody, HSPC270 antibody, Methionine R sulfoxide reductase antibody, Methionine R sulfoxide reductase B1 antibody, Methionine sulfoxide reductase antibody, Methionine-R-sulfoxide reductase B1 antibody, MGC3344 antibody, MSRB 1 antibody, MsrB1 antibody, MSRB1_HUMAN antibody, OTTHUMP00000159418 antibody, Sel X antibody, Selenoprotein R antibody, Selenoprotein X 1 antibody, Selenoprotein X antibody, Selenoprotein X1 antibody, SELR antibody, SelX antibody, SEPX 1 antibody, sepx1 antibody

    UniProt

    Q9NZV6
Sie sind hier:
Chat with us!