Telefon:
+49 (0)241 95 163 153
Fax:
+49 (0)241 95 163 155
E-Mail:
orders@antikoerper-online.de

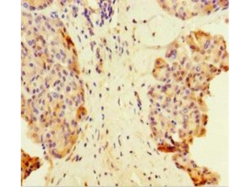
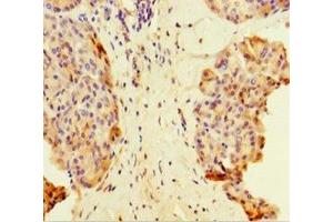
MAML1 Antikörper (AA 1-45)

Der Kaninchen Polyklonal anti-MAML1 Antikörper (ABIN7159033) detektiert spezifisch MAML1 in ELISA und IHC. Dieser Antikörper reagiert spezifisch mit Proben aus Human.
Produktnummer ABIN7159033
328,90 €
Zzgl. Versandkosten 20,00 € und MwSt
Lieferung nach: Deutschland
Lieferung in 11 bis 15 Werktagen

Kurzübersicht für MAML1 Antikörper (AA 1-45) (ABIN7159033)

Target

Alle MAML1 Antikörper anzeigen
MAML1 (Mastermind-Like 1 (MAML1))

Reaktivität

  • 25
  • 5
  • 2
  • 1
  • 1
  • 1
  • 1
  • 1
Human

Wirt

  • 24
  • 1
  • 1
Kaninchen

Klonalität

  • 26
Polyklonal

Konjugat

  • 17
  • 3
  • 2
  • 2
  • 1
  • 1
Dieser MAML1 Antikörper ist unkonjugiert

Applikation

  • 21
  • 16
  • 9
  • 5
  • 4
  • 3
  • 3
  • 2
  • 2
  • 1
  • 1
  • 1
ELISA, Immunohistochemistry (IHC)
  • Bindungsspezifität

    • 7
    • 4
    • 3
    • 2
    • 2
    • 2
    • 1
    • 1
    • 1
    • 1
    • 1
    • 1
    • 1
    • 1
    • 1
    AA 1-45

    Verwendungszweck

    MAML1 Antibody

    Aufreinigung

    Protein G purified

    Reinheit

    >95 %

    Immunogen

    Recombinant Human Mastermind-like protein 1 protein (1-45AA)

    Isotyp

    IgG
  • Applikationshinweise

    Optimal working dilution should be determined by the investigator.

    Beschränkungen

    Nur für Forschungszwecke einsetzbar
  • Format

    Liquid

    Buffer

    Preservative: 0.03 % Proclin 300
    Constituents: 50 % Glycerol, 0.01M PBS, PH 7.4

    Konservierungsmittel

    ProClin

    Vorsichtsmaßnahmen

    This product contains ProClin: a POISONOUS AND HAZARDOUS SUBSTANCE which should be handled by trained staff only.

    Lagerung

    -20 °C,-80 °C

    Informationen zur Lagerung

    Upon receipt, store at -20°C or -80°C. Avoid repeated freeze.
  • Target

    MAML1 (Mastermind-Like 1 (MAML1))

    Andere Bezeichnung

    MAML1

    Hintergrund

    Background: Acts as a transcriptional coactivator for NOTCH proteins. Has been shown to amplify NOTCH-induced transcription of HES1. Enhances phosphorylation and proteolytic turnover of the NOTCH intracellular domain in the nucleus through interaction with CDK8. Binds to CREBBP/CBP which promotes nucleosome acetylation at NOTCH enhancers and activates transcription. Induces phosphorylation and localization of CREBBP to nuclear foci. Plays a role in hematopoietic development by regulating NOTCH-mediated lymphoid cell fate decisions.

    Aliases: Mam-1 antibody, Mam1 antibody, MAML 1 antibody, Maml1 antibody, MAML1_HUMAN antibody, Mastermind like 1 antibody, Mastermind-like protein 1 antibody

    UniProt

    Q92585

    Pathways

    Notch Signalweg, Regulation of Muscle Cell Differentiation, Skeletal Muscle Fiber Development
Sie sind hier:
Chat with us!