Telefon:
+49 (0)241 95 163 153
Fax:
+49 (0)241 95 163 155
E-Mail:
orders@antikoerper-online.de

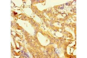
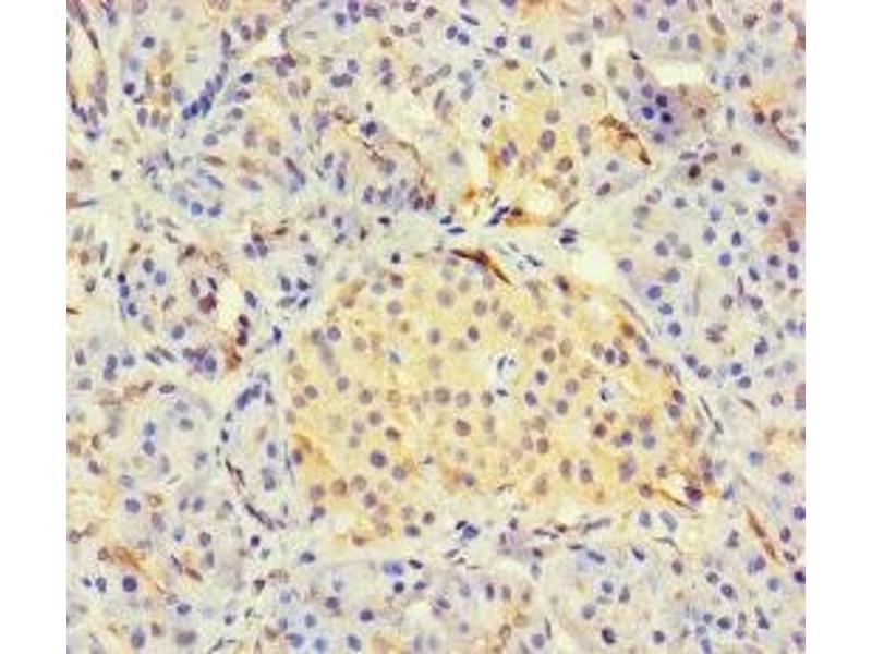
LYG2 Antikörper (AA 20-212)

Dieser Kaninchen Polyklonal Antikörper detektiert spezifisch LYG2 in ELISA und IHC. Es zeigt Reaktivität gegenüber Proben von Human.
Produktnummer ABIN7158821
328,90 €
Zzgl. Versandkosten 20,00 € und MwSt
Lieferung nach: Deutschland
Lieferung in 11 bis 15 Werktagen

Kurzübersicht für LYG2 Antikörper (AA 20-212) (ABIN7158821)

Target

LYG2 (Lysozyme G-Like 2 (LYG2))

Reaktivität

  • 10
  • 2
  • 2
  • 2
  • 2
  • 2
  • 2
  • 1
  • 1
Human

Wirt

  • 8
  • 2
Kaninchen

Klonalität

  • 10
Polyklonal

Konjugat

  • 6
  • 2
  • 1
  • 1
Dieser LYG2 Antikörper ist unkonjugiert

Applikation

ELISA, Immunohistochemistry (IHC)
  • Bindungsspezifität

    • 4
    • 2
    • 1
    • 1
    • 1
    • 1
    AA 20-212

    Verwendungszweck

    LYG2 Antibody

    Aufreinigung

    Protein G purified

    Reinheit

    >95 %

    Immunogen

    Recombinant Human Lysozyme g-like protein 2 protein (20-212AA)

    Isotyp

    IgG
  • Applikationshinweise

    Optimal working dilution should be determined by the investigator.

    Beschränkungen

    Nur für Forschungszwecke einsetzbar
  • Format

    Liquid

    Buffer

    Preservative: 0.03 % Proclin 300
    Constituents: 50 % Glycerol, 0.01M PBS, PH 7.4

    Konservierungsmittel

    ProClin

    Vorsichtsmaßnahmen

    This product contains ProClin: a POISONOUS AND HAZARDOUS SUBSTANCE which should be handled by trained staff only.

    Lagerung

    -20 °C,-80 °C

    Informationen zur Lagerung

    Upon receipt, store at -20°C or -80°C. Avoid repeated freeze.
  • Target

    LYG2 (Lysozyme G-Like 2 (LYG2))

    Andere Bezeichnung

    LYG2

    Hintergrund

    Background: May act as a potent antibacterial protein that may play a role in the innate immunity.

    Aliases: LYG 2 antibody, Lyg2 antibody, LYG2_HUMAN antibody, LYGH antibody, Lysozyme G like 2 antibody, Lysozyme g like protein 2 antibody, Lysozyme g-like protein 2 antibody, Lysozyme like antibody, MGC119046 antibody, MGC119047 antibody, MGC119049 antibody

    UniProt

    Q86SG7
Sie sind hier:
Chat with us!