Telefon:
+49 (0)241 95 163 153
Fax:
+49 (0)241 95 163 155
E-Mail:
orders@antikoerper-online.de

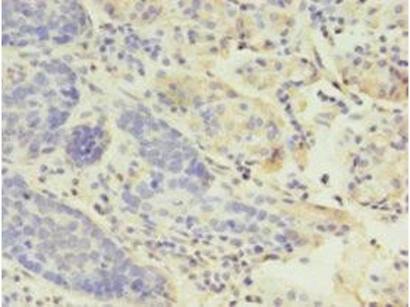
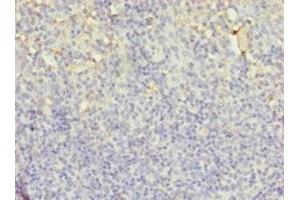
LYZ Antikörper (AA 19-148)

Dieser Kaninchen Polyklonal Antikörper detektiert spezifisch LYZ in IHC und ELISA. Es zeigt Reaktivität gegenüber Proben von Human.
Produktnummer ABIN7158812
328,90 €
Zzgl. Versandkosten 20,00 € und MwSt
Lieferung nach: Deutschland
Lieferung in 11 bis 15 Werktagen

Kurzübersicht für LYZ Antikörper (AA 19-148) (ABIN7158812)

Target

Alle LYZ Antikörper anzeigen
LYZ (Lysozyme (LYZ))

Reaktivität

  • 110
  • 43
  • 26
  • 16
  • 3
  • 2
  • 2
  • 1
  • 1
  • 1
  • 1
  • 1
  • 1
  • 1
Human

Wirt

  • 101
  • 21
  • 11
  • 3
Kaninchen

Klonalität

  • 82
  • 53
Polyklonal

Konjugat

  • 72
  • 12
  • 11
  • 6
  • 3
  • 3
  • 3
  • 3
  • 3
  • 3
  • 2
  • 1
  • 1
  • 1
  • 1
  • 1
  • 1
  • 1
  • 1
  • 1
  • 1
  • 1
  • 1
  • 1
  • 1
  • 1
Dieser LYZ Antikörper ist unkonjugiert

Applikation

  • 77
  • 49
  • 30
  • 28
  • 28
  • 21
  • 15
  • 14
  • 13
  • 13
  • 8
  • 6
  • 5
  • 4
  • 3
  • 2
  • 2
  • 2
  • 2
  • 1
  • 1
  • 1
  • 1
  • 1
Immunohistochemistry (IHC), ELISA
  • Bindungsspezifität

    • 7
    • 5
    • 3
    • 3
    • 2
    • 2
    • 2
    • 1
    • 1
    • 1
    • 1
    • 1
    • 1
    • 1
    • 1
    AA 19-148

    Verwendungszweck

    LYZ Antibody

    Aufreinigung

    Protein G purified

    Reinheit

    >95 %

    Immunogen

    Recombinant Human Lysozyme C protein (19-148AA)

    Isotyp

    IgG
  • Applikationshinweise

    Optimal working dilution should be determined by the investigator.

    Beschränkungen

    Nur für Forschungszwecke einsetzbar
  • Format

    Liquid

    Buffer

    Preservative: 0.03 % Proclin 300
    Constituents: 50 % Glycerol, 0.01M PBS, PH 7.4

    Konservierungsmittel

    ProClin

    Vorsichtsmaßnahmen

    This product contains ProClin: a POISONOUS AND HAZARDOUS SUBSTANCE which should be handled by trained staff only.

    Lagerung

    -20 °C,-80 °C

    Informationen zur Lagerung

    Upon receipt, store at -20°C or -80°C. Avoid repeated freeze.
  • Target

    LYZ (Lysozyme (LYZ))

    Andere Bezeichnung

    LYZ

    Hintergrund

    Background: Lysozymes have primarily a bacteriolytic function, those in tissues and body fluids are associated with the monocyte-macrophage system and enhance the activity of immunoagents.

    Aliases: 1 4 beta N acetylmuramidase C antibody, 1 antibody, 4-beta-N-acetylmuramidase C antibody, EC 3.2.1.17 antibody, LYSC_HUMAN antibody, Lysosyme antibody, Lysozyme (renal amyloidosis) antibody, Lysozyme C antibody, Lysozyme C precursor antibody, LYZ antibody, LZM antibody, Renal amyloidosis antibody

    UniProt

    P61626
Sie sind hier:
Chat with us!