Telefon:
+49 (0)241 95 163 153
Fax:
+49 (0)241 95 163 155
E-Mail:
orders@antikoerper-online.de

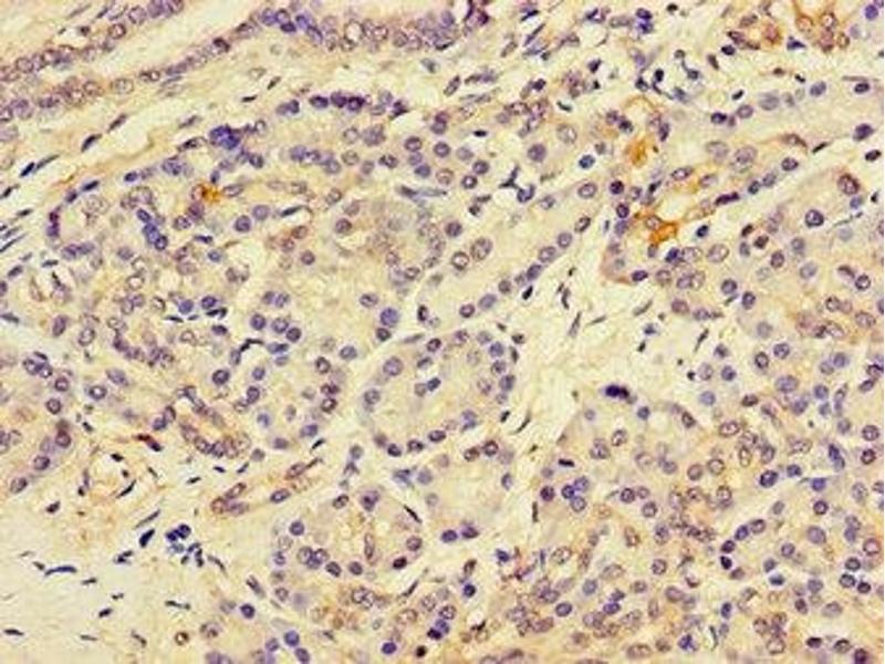
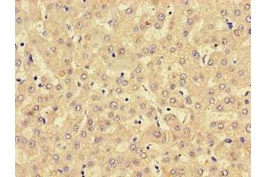
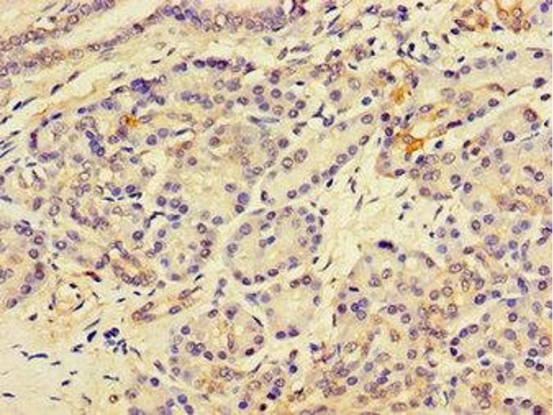
LPCAT3 Antikörper (AA 306-363)

Der Kaninchen Polyklonal anti-LPCAT3 Antikörper (ABIN7158760) detektiert spezifisch LPCAT3 in IHC und ELISA. Dieser Antikörper reagiert spezifisch mit Proben aus Human.
Produktnummer ABIN7158760
328,90 €
Zzgl. Versandkosten 20,00 € und MwSt
Lieferung nach: Deutschland
Lieferung in 11 bis 15 Werktagen

Kurzübersicht für LPCAT3 Antikörper (AA 306-363) (ABIN7158760)

Target

Alle LPCAT3 Antikörper anzeigen
LPCAT3 (Lysophosphatidylcholine Acyltransferase 3 (LPCAT3))

Reaktivität

  • 16
  • 4
  • 2
Human

Wirt

  • 14
  • 4
Kaninchen

Klonalität

  • 14
  • 4
Polyklonal

Konjugat

  • 7
  • 4
  • 4
  • 2
  • 1
Dieser LPCAT3 Antikörper ist unkonjugiert

Applikation

  • 14
  • 9
  • 4
  • 4
  • 3
  • 3
  • 1
Immunohistochemistry (IHC), ELISA
  • Bindungsspezifität

    • 5
    • 4
    • 1
    AA 306-363

    Verwendungszweck

    LPCAT3 Antibody

    Aufreinigung

    Protein G purified

    Reinheit

    >95 %

    Immunogen

    Recombinant Human Lysophospholipid acyltransferase 5 protein (306-363AA)

    Isotyp

    IgG
  • Applikationshinweise

    Optimal working dilution should be determined by the investigator.

    Beschränkungen

    Nur für Forschungszwecke einsetzbar
  • Format

    Liquid

    Buffer

    Preservative: 0.03 % Proclin 300
    Constituents: 50 % Glycerol, 0.01M PBS, PH 7.4

    Konservierungsmittel

    ProClin

    Vorsichtsmaßnahmen

    This product contains ProClin: a POISONOUS AND HAZARDOUS SUBSTANCE which should be handled by trained staff only.

    Lagerung

    -20 °C,-80 °C

    Informationen zur Lagerung

    Upon receipt, store at -20°C or -80°C. Avoid repeated freeze.
  • Target

    LPCAT3 (Lysophosphatidylcholine Acyltransferase 3 (LPCAT3))

    Andere Bezeichnung

    LPCAT3

    Hintergrund

    Background: Acyltransferase which mediates the conversion of lysophosphatidylcholine (1-acyl-sn-glycero-3-phosphocholine or LPC) into phosphatidylcholine (1,2-diacyl-sn-glycero-3-phosphocholine or PC) (LPCAT activity). Catalyzes also the conversion of lysophosphatidylserine (1-acyl-2-hydroxy-sn-glycero-3-phospho-L-serine or LPS) into phosphatidylserine (1,2-diacyl-sn-glycero-3-phospho-L-serine or PS) (LPSAT activity). Has also weak lysophosphatidylethanolamine acyltransferase activity (LPEAT activity). Favors polyunsaturated fatty acyl-CoAs as acyl donors compared to saturated fatty acyl-CoAs. Seems to be the major enzyme contributing to LPCAT activity in the liver. Lysophospholipid acyltransferases (LPLATs) catalyze the reacylation step of the phospholipid remodeling pathway also known as the Lands cycle.

    Aliases: 1-acylglycerophosphocholine O-acyltransferase antibody, 1-acylglycerophosphoserine O-acyltransferase antibody, LPCAT antibody, Lpcat3 antibody, LPLAT 5 antibody, LPSAT antibody, Lyso-PC acyltransferase 3 antibody, Lyso-PC acyltransferase antibody, Lyso-PS acyltransferase antibody, Lysophosphatidylcholine acyltransferase 3 antibody, Lysophosphatidylcholine acyltransferase antibody, Lysophosphatidylserine acyltransferase antibody, Lysophospholipid acyltransferase 5 antibody, MBOA5 antibody, MBOA5_HUMAN antibody, Membrane-bound O-acyltransferase domain-containing protein 5 antibody, O-acyltransferase domain-containing protein 5 antibody

    UniProt

    Q6P1A2
Sie sind hier:
Chat with us!