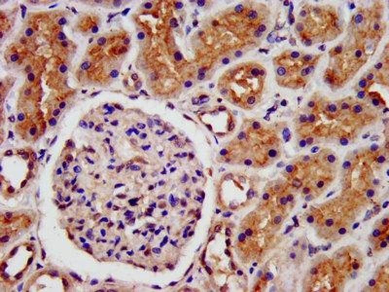
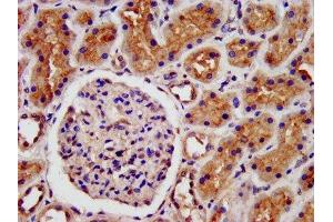
LRP2 Antikörper (AA 1211-1369)
Kurzübersicht für LRP2 Antikörper (AA 1211-1369) (ABIN7158567)
Target
Alle LRP2 Antikörper anzeigenReaktivität
Wirt
Klonalität
Konjugat
Applikation
-
-
Bindungsspezifität
- AA 1211-1369
-
Verwendungszweck
- LRP2 Antibody
-
Aufreinigung
- Protein G purified
-
Reinheit
- >95 %
-
Immunogen
- Recombinant Human Low-density lipoprotein receptor-related protein 2 protein (1211-1369AA)
-
Isotyp
- IgG
-
-
-
-
Applikationshinweise
- Optimal working dilution should be determined by the investigator.
-
Beschränkungen
- Nur für Forschungszwecke einsetzbar
-
-
-
Format
- Liquid
-
Buffer
-
Preservative: 0.03 % Proclin 300
Constituents: 50 % Glycerol, 0.01M PBS, pH 7.4 -
Konservierungsmittel
- ProClin
-
Vorsichtsmaßnahmen
- This product contains ProClin: a POISONOUS AND HAZARDOUS SUBSTANCE which should be handled by trained staff only.
-
Lagerung
- -20 °C,-80 °C
-
Informationen zur Lagerung
- Upon receipt, store at -20°C or -80°C. Avoid repeated freeze.
-
-
- LRP2 (Low Density Lipoprotein Receptor-Related Protein 2 (LRP2))
-
Andere Bezeichnung
- LRP2
-
Hintergrund
-
Background: Acts together with cubilin to mediate HDL endocytosis (By similarity). May participate in regulation of parathyroid-hormone and para-thyroid-hormone-related protein release.
Aliases: Calcium sensor protein antibody, DBS antibody, Glycoprotein 330 antibody, gp330 antibody, Heymann nephritis antigen homolog antibody, Low-density lipoprotein receptor-related protein 2 antibody, LRP-2 antibody, Lrp2 antibody, LRP2_HUMAN antibody, Megalin antibody
-
UniProt
- P98164
-
Pathways
- Metabolism of Steroid Hormones and Vitamin D, Thyroid Hormone Synthesis, Hormone Transport
Target
-