Telefon:
+49 (0)241 95 163 153
Fax:
+49 (0)241 95 163 155
E-Mail:
orders@antikoerper-online.de

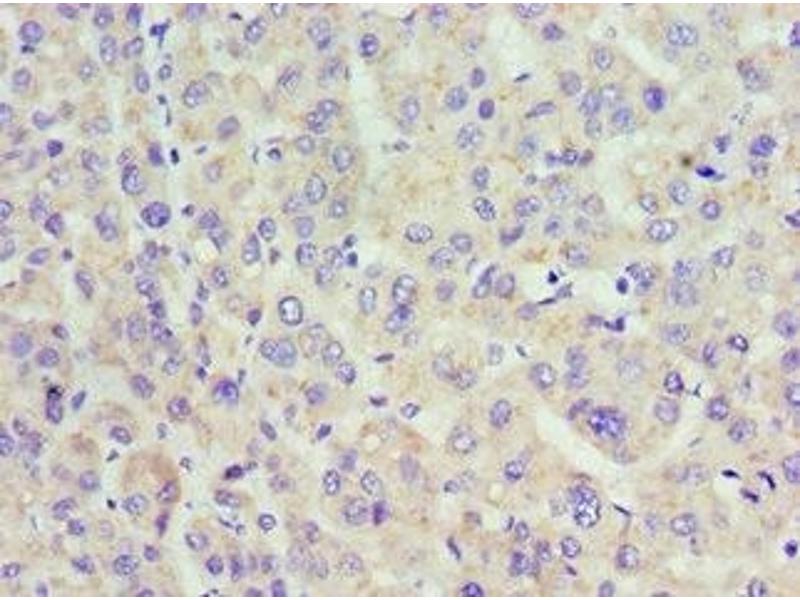
ACP1 Antikörper (AA 1-158)

Dieser Kaninchen Polyklonal Antikörper detektiert spezifisch ACP1 in WB, IHC und ELISA. Es zeigt Reaktivität gegenüber Proben von Human.
Produktnummer ABIN7158557
328,90 €
Zzgl. Versandkosten 20,00 € und MwSt
Lieferung nach: Deutschland
Lieferung in 11 bis 15 Werktagen

Kurzübersicht für ACP1 Antikörper (AA 1-158) (ABIN7158557)

Target

Alle ACP1 Antikörper anzeigen
ACP1 (Acid Phosphatase 1, Soluble (ACP1))

Reaktivität

  • 49
  • 19
  • 11
  • 10
  • 8
  • 4
  • 4
  • 4
  • 3
  • 3
  • 3
  • 3
  • 2
  • 1
  • 1
Human

Wirt

  • 45
  • 10
  • 10
  • 5
Kaninchen

Klonalität

  • 50
  • 20
Polyklonal

Konjugat

  • 42
  • 8
  • 8
  • 4
  • 4
  • 3
  • 1
Dieser ACP1 Antikörper ist unkonjugiert

Applikation

  • 53
  • 30
  • 18
  • 18
  • 15
  • 12
  • 7
  • 4
  • 3
  • 2
  • 2
  • 1
Western Blotting (WB), Immunohistochemistry (IHC), ELISA
  • Bindungsspezifität

    • 22
    • 6
    • 6
    • 2
    • 2
    • 1
    • 1
    • 1
    • 1
    • 1
    • 1
    • 1
    • 1
    AA 1-158

    Verwendungszweck

    ACP1 Antibody

    Aufreinigung

    Antigen Affinity Purified

    Immunogen

    Recombinant Human Low molecular weight phosphotyrosine protein phosphatase protein (1-158AA)

    Isotyp

    IgG
  • Applikationshinweise

    Optimal working dilution should be determined by the investigator.

    Beschränkungen

    Nur für Forschungszwecke einsetzbar
  • Format

    Liquid

    Buffer

    PBS with 0.02 % sodium azide, 50 % glycerol, pH 7.3.

    Konservierungsmittel

    Sodium azide

    Vorsichtsmaßnahmen

    This product contains Sodium azide: a POISONOUS AND HAZARDOUS SUBSTANCE which should be handled by trained staff only.

    Lagerung

    -20 °C,-80 °C

    Informationen zur Lagerung

    Upon receipt, store at -20°C or -80°C. Avoid repeated freeze.
  • Target

    ACP1 (Acid Phosphatase 1, Soluble (ACP1))

    Andere Bezeichnung

    ACP1

    Hintergrund

    Background: Acts on tyrosine phosphorylated proteins, low-MW aryl phosphates and natural and synthetic acyl phosphates. Isoform 3 does not possess phosphatase activity.

    Aliases: Acid phosphatase 1 soluble antibody, Acid phosphatase of erythrocyte antibody, ACP1 antibody, Adipocyte acid phosphatase antibody, Cytoplasmic phosphotyrosyl protein phosphatase antibody, HAAP antibody, LMW-PTP antibody, LMW-PTPase antibody, Low molecular weight cytosolic acid phosphatase antibody, Low molecular weight phosphotyrosine protein phosphatase antibody, PAP1 antibody, PAP2 antibody, phosphatase, acid, of erythrocyte antibody, PPAC_HUMAN antibody, Protein tyrosine phosphatase antibody, PTPase antibody, Purple acid phosphatase antibody, Red cell acid phosphatase 1 antibody, testicular secretory protein Li 37 antibody

    UniProt

    P24666
Sie sind hier:
Chat with us!