Telefon:
+49 (0)241 95 163 153
Fax:
+49 (0)241 95 163 155
E-Mail:
orders@antikoerper-online.de

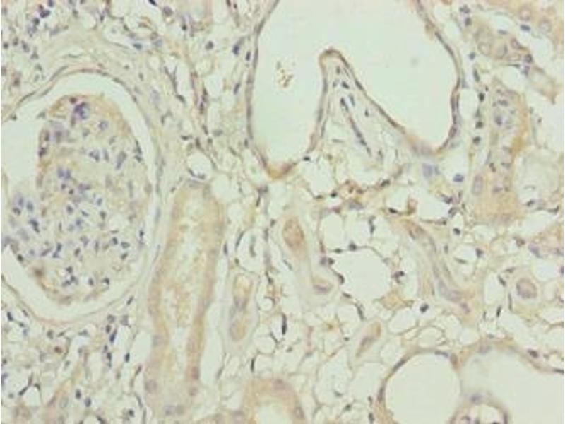
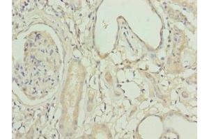
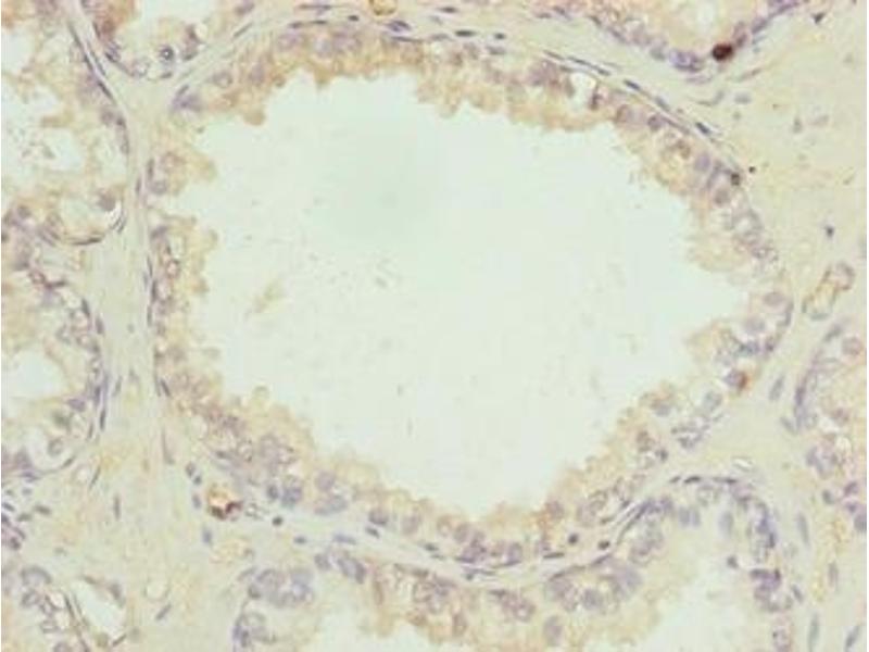
ACSBG1 Antikörper (AA 351-600)

Der Kaninchen Polyklonal anti-ACSBG1 Antikörper wird verwendet zum Nachweis von ACSBG1 in Proben von Human. Er wurde validiert für ELISA und IHC.
Produktnummer ABIN7158525
328,90 €
Zzgl. Versandkosten 20,00 € und MwSt
Lieferung nach: Deutschland
Lieferung in 11 bis 15 Werktagen

Kurzübersicht für ACSBG1 Antikörper (AA 351-600) (ABIN7158525)

Target

Alle ACSBG1 Antikörper anzeigen
ACSBG1 (Acyl-CoA Synthetase Bubblegum Family Member 1 (ACSBG1))

Reaktivität

  • 20
  • 4
  • 4
  • 2
  • 2
  • 2
  • 1
  • 1
  • 1
  • 1
Human

Wirt

  • 18
  • 4
Kaninchen

Klonalität

  • 20
  • 2
Polyklonal

Konjugat

  • 12
  • 2
  • 1
  • 1
  • 1
  • 1
  • 1
  • 1
  • 1
  • 1
Dieser ACSBG1 Antikörper ist unkonjugiert

Applikation

  • 11
  • 5
  • 3
  • 3
  • 1
  • 1
ELISA, Immunohistochemistry (IHC)
  • Bindungsspezifität

    • 4
    • 2
    • 1
    • 1
    • 1
    • 1
    • 1
    AA 351-600

    Verwendungszweck

    ACSBG1 Antibody

    Aufreinigung

    Protein G purified

    Reinheit

    >95 %

    Immunogen

    Recombinant Human Long-chain-fatty-acid--CoA ligase ACSBG1 protein (351-600AA)

    Isotyp

    IgG
  • Applikationshinweise

    Optimal working dilution should be determined by the investigator.

    Beschränkungen

    Nur für Forschungszwecke einsetzbar
  • Format

    Liquid

    Buffer

    Preservative: 0.03 % Proclin 300
    Constituents: 50 % Glycerol, 0.01M PBS, PH 7.4

    Konservierungsmittel

    ProClin

    Vorsichtsmaßnahmen

    This product contains ProClin: a POISONOUS AND HAZARDOUS SUBSTANCE which should be handled by trained staff only.

    Lagerung

    -20 °C,-80 °C

    Informationen zur Lagerung

    Upon receipt, store at -20°C or -80°C. Avoid repeated freeze.
  • Target

    ACSBG1 (Acyl-CoA Synthetase Bubblegum Family Member 1 (ACSBG1))

    Andere Bezeichnung

    ACSBG1

    Hintergrund

    Background: Mediates activation of long-chain fatty acids for both synthesis of cellular lipids, and degradation via beta-oxidation. Able to activate long-chain fatty acids. Also able to activate very long-chain fatty acids, however, the relevance of such activity is unclear in vivo. Can activate diverse saturated, monosaturated and polyunsaturated fatty acids.

    Aliases: ACBG1_HUMAN antibody, ACSBG 1 antibody, ACSBG1 antibody, Acyl CoA synthetase bubblegum family member 1 antibody, Acyl-CoA synthetase bubblegum family member 1 antibody, BG antibody, BG1 antibody, BGM antibody, Bubblegum antibody, FLJ30320 antibody, GR LACS antibody, GRLACS antibody, hBG1 antibody, hsBG antibody, hsBGM antibody, KIAA0631 antibody, Lipidosin antibody, Lipodisin antibody, Long chain fatty acid CoA ligase ACSBG1 antibody, Long-chain-fatty-acid--CoA ligase ACSBG1 antibody, LPD antibody, MGC14352 antibody, Ortholog of rodent gonadotropin regulated long chain acyl CoA synthetase antibody, Very long chain acyl CoA synthetase antibody

    UniProt

    Q96GR2
Sie sind hier:
Chat with us!