Telefon:
+49 (0)241 95 163 153
Fax:
+49 (0)241 95 163 155
E-Mail:
orders@antikoerper-online.de

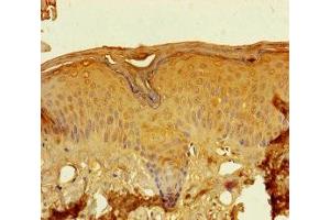
LCE2A Antikörper (AA 1-106)

Der Kaninchen Polyklonal anti-LCE2A Antikörper wird verwendet zum Nachweis von LCE2A in Proben von Human. Er wurde validiert für ELISA und IHC.
Produktnummer ABIN7157925
328,90 €
Zzgl. Versandkosten 20,00 € und MwSt
Lieferung nach: Deutschland
Lieferung in 11 bis 15 Werktagen

Kurzübersicht für LCE2A Antikörper (AA 1-106) (ABIN7157925)

Target

Alle LCE2A Antikörper anzeigen
LCE2A (Late Cornified Envelope 2A (LCE2A))

Reaktivität

Human

Wirt

  • 4
Kaninchen

Klonalität

  • 4
Polyklonal

Konjugat

  • 2
  • 1
  • 1
Dieser LCE2A Antikörper ist unkonjugiert

Applikation

ELISA, Immunohistochemistry (IHC)
  • Bindungsspezifität

    AA 1-106

    Verwendungszweck

    LCE2A Antibody

    Aufreinigung

    Protein G purified

    Reinheit

    >95 %

    Immunogen

    Recombinant Human Late cornified envelope protein 2A protein (1-106AA)

    Isotyp

    IgG
  • Applikationshinweise

    Optimal working dilution should be determined by the investigator.

    Beschränkungen

    Nur für Forschungszwecke einsetzbar
  • Format

    Liquid

    Buffer

    Preservative: 0.03 % Proclin 300
    Constituents: 50 % Glycerol, 0.01M PBS, PH 7.4

    Konservierungsmittel

    ProClin

    Vorsichtsmaßnahmen

    This product contains ProClin: a POISONOUS AND HAZARDOUS SUBSTANCE which should be handled by trained staff only.

    Lagerung

    -20 °C,-80 °C

    Informationen zur Lagerung

    Upon receipt, store at -20°C or -80°C. Avoid repeated freeze.
  • Target

    LCE2A (Late Cornified Envelope 2A (LCE2A))

    Andere Bezeichnung

    LCE2A

    Hintergrund

    Background: Precursors of the cornified envelope of the stratum corneum.

    Aliases: LCE2A antibody, LEP9Late cornified envelope protein 2A antibody, Late envelope protein 9 antibody

    UniProt

    Q5TA79
Sie sind hier:
Chat with us!