Telefon:
+49 (0)241 95 163 153
Fax:
+49 (0)241 95 163 155
E-Mail:
orders@antikoerper-online.de

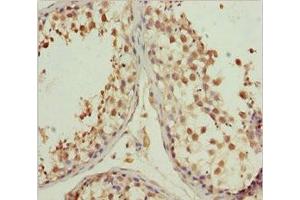
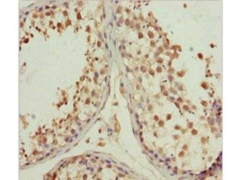
L2HGDH Antikörper (AA 1-220)

Der Kaninchen Polyklonal anti-L2HGDH Antikörper wird verwendet zum Nachweis von L2HGDH in Proben von Human. Er wurde validiert für ELISA und IHC.
Produktnummer ABIN7157772
328,90 €
Zzgl. Versandkosten 20,00 € und MwSt
Lieferung nach: Deutschland
Lieferung in 11 bis 15 Werktagen

Kurzübersicht für L2HGDH Antikörper (AA 1-220) (ABIN7157772)

Target

Alle L2HGDH Antikörper anzeigen
L2HGDH (L-2-Hydroxyglutarate Dehydrogenase (L2HGDH))

Reaktivität

  • 24
  • 13
  • 6
  • 2
  • 2
  • 1
  • 1
  • 1
  • 1
  • 1
Human

Wirt

  • 30
Kaninchen

Klonalität

  • 30
Polyklonal

Konjugat

  • 17
  • 5
  • 3
  • 3
  • 1
  • 1
Dieser L2HGDH Antikörper ist unkonjugiert

Applikation

  • 21
  • 19
  • 8
  • 1
ELISA, Immunohistochemistry (IHC)
  • Bindungsspezifität

    • 7
    • 5
    • 5
    • 2
    • 2
    • 2
    • 2
    • 1
    • 1
    • 1
    • 1
    AA 1-220

    Verwendungszweck

    L2HGDH Antibody

    Aufreinigung

    Antigen Affinity Purified

    Immunogen

    Recombinant Human L-2-hydroxyglutarate dehydrogenase, mitochondrial protein (1-220AA)

    Isotyp

    IgG
  • Applikationshinweise

    Optimal working dilution should be determined by the investigator.

    Beschränkungen

    Nur für Forschungszwecke einsetzbar
  • Format

    Liquid

    Buffer

    PBS with 0.02 % sodium azide, 50 % glycerol, pH 7.3.

    Konservierungsmittel

    Sodium azide

    Vorsichtsmaßnahmen

    This product contains Sodium azide: a POISONOUS AND HAZARDOUS SUBSTANCE which should be handled by trained staff only.

    Lagerung

    -20 °C,-80 °C

    Informationen zur Lagerung

    Upon receipt, store at -20°C or -80°C. Avoid repeated freeze.
  • Target

    L2HGDH (L-2-Hydroxyglutarate Dehydrogenase (L2HGDH))

    Andere Bezeichnung

    L2HGDH

    Hintergrund

    Background: integral component of membrane, integral component of mitochondrial inner membrane, mitochondrial inner membrane, mitochondrion, 2-hydroxyglutarate dehydrogenase activity, 2-oxoglutarate metabolic process, cellular protein metabolic process

    Aliases: 2 hydroxyglutarate dehydrogenase antibody, Alpha hydroxyglutarate oxidoreductase antibody, Alpha ketoglutarate reductase antibody, C14orf160 antibody, Duranin antibody, FLJ12618 antibody, L alpha hydroxyglutarate dehydrogenase antibody, L-2-hydroxyglutarate dehydrogenase antibody, L-2-hydroxyglutarate dehydrogenase, mitochondrial antibody, L2HDH_HUMAN antibody, l2hgdh antibody, mitochondrial antibody

    UniProt

    Q9H9P8
Sie sind hier:
Chat with us!