Telefon:
+49 (0)241 95 163 153
Fax:
+49 (0)241 95 163 155
E-Mail:
orders@antikoerper-online.de

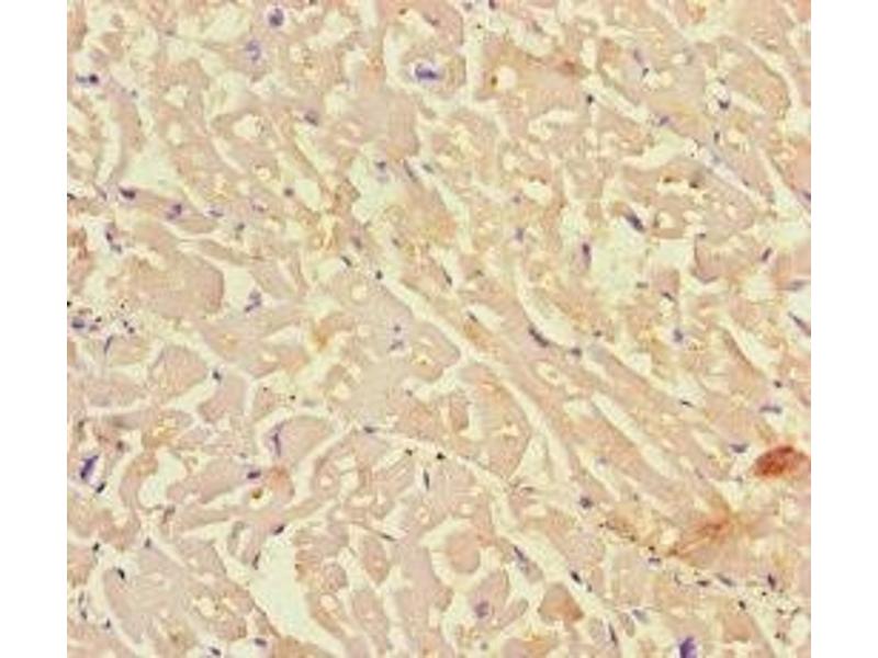
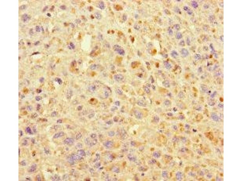
KIF24 Antikörper (AA 1168-1368)

Der Kaninchen Polyklonal anti-KIF24 Antikörper (ABIN7157632) detektiert spezifisch KIF24 in ELISA und IHC. Dieser Antikörper reagiert spezifisch mit Proben aus Human.
Produktnummer ABIN7157632
328,90 €
Zzgl. Versandkosten 20,00 € und MwSt
Lieferung nach: Deutschland
Lieferung in 11 bis 15 Werktagen

Kurzübersicht für KIF24 Antikörper (AA 1168-1368) (ABIN7157632)

Target

Alle KIF24 Antikörper anzeigen
KIF24 (Kinesin Family Member 24 (KIF24))

Reaktivität

  • 17
  • 8
  • 1
  • 1
  • 1
  • 1
  • 1
  • 1
  • 1
Human

Wirt

  • 17
Kaninchen

Klonalität

  • 17
Polyklonal

Konjugat

  • 8
  • 3
  • 2
  • 2
  • 1
  • 1
Dieser KIF24 Antikörper ist unkonjugiert

Applikation

  • 13
  • 10
  • 8
  • 8
  • 1
ELISA, Immunohistochemistry (IHC)
  • Bindungsspezifität

    • 7
    • 4
    • 4
    • 1
    • 1
    • 1
    • 1
    AA 1168-1368

    Verwendungszweck

    KIF24 Antibody

    Aufreinigung

    Protein G purified

    Reinheit

    >95 %

    Immunogen

    Recombinant Human Kinesin-like protein KIF24 protein (1168-1368AA)

    Isotyp

    IgG
  • Applikationshinweise

    Optimal working dilution should be determined by the investigator.

    Beschränkungen

    Nur für Forschungszwecke einsetzbar
  • Format

    Liquid

    Buffer

    Preservative: 0.03 % Proclin 300
    Constituents: 50 % Glycerol, 0.01M PBS, PH 7.4

    Konservierungsmittel

    ProClin

    Vorsichtsmaßnahmen

    This product contains ProClin: a POISONOUS AND HAZARDOUS SUBSTANCE which should be handled by trained staff only.

    Lagerung

    -20 °C,-80 °C

    Informationen zur Lagerung

    Upon receipt, store at -20°C or -80°C. Avoid repeated freeze.
  • Target

    KIF24 (Kinesin Family Member 24 (KIF24))

    Andere Bezeichnung

    KIF24

    Hintergrund

    Background: Microtubule-dependent motor protein that acts as a negative regulator of ciliogenesis by mediating recruitment of CCP110 to mother centriole in cycling cells, leading to restrict nucleation of cilia at centrioles. Mediates depolymerization of microtubules of centriolar origin, possibly to suppress aberrant cilia formation.

    Aliases: bA571F15.4 antibody, C9orf48 antibody, Kif24 antibody, KIF24_HUMAN antibody, kinesin family member 24 antibody, Kinesin-like protein KIF24 antibody, RP11-571F15.7 antibody

    UniProt

    Q5T7B8
Sie sind hier:
Chat with us!