Telefon:
+49 (0)241 95 163 153
Fax:
+49 (0)241 95 163 155
E-Mail:
orders@antikoerper-online.de

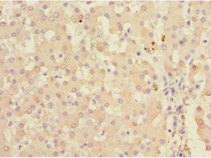
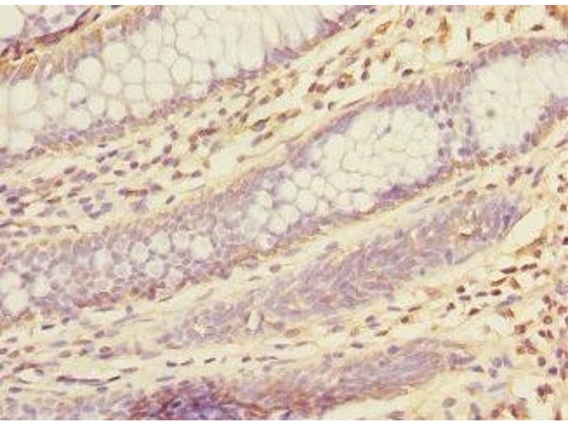
Ketohexokinase Antikörper (AA 1-298)

Dieser Kaninchen Polyklonal Antikörper detektiert spezifisch Ketohexokinase in WB, ELISA, IHC und IP. Es zeigt Reaktivität gegenüber Proben von Human.
Produktnummer ABIN7157477
328,90 €
Zzgl. Versandkosten 20,00 € und MwSt
Lieferung nach: Deutschland
Lieferung in 11 bis 15 Werktagen

Kurzübersicht für Ketohexokinase Antikörper (AA 1-298) (ABIN7157477)

Target

Alle Ketohexokinase (KHK) Antikörper anzeigen
Ketohexokinase (KHK)

Reaktivität

  • 67
  • 32
  • 5
  • 2
  • 2
  • 2
  • 1
  • 1
  • 1
Human

Wirt

  • 60
  • 6
  • 1
Kaninchen

Klonalität

  • 62
  • 5
Polyklonal

Konjugat

  • 31
  • 5
  • 4
  • 3
  • 3
  • 3
  • 1
  • 1
  • 1
  • 1
  • 1
  • 1
  • 1
  • 1
  • 1
  • 1
  • 1
  • 1
  • 1
  • 1
  • 1
  • 1
  • 1
  • 1
Dieser Ketohexokinase Antikörper ist unkonjugiert

Applikation

  • 53
  • 26
  • 13
  • 13
  • 11
  • 7
  • 7
  • 6
  • 4
  • 3
  • 3
  • 2
  • 2
  • 1
Western Blotting (WB), ELISA, Immunohistochemistry (IHC), Immunoprecipitation (IP)
  • Bindungsspezifität

    • 15
    • 12
    • 8
    • 8
    • 4
    • 4
    • 1
    • 1
    • 1
    • 1
    AA 1-298

    Verwendungszweck

    KHK Antibody

    Kreuzreaktivität

    Maus, Ratte

    Aufreinigung

    Antigen Affinity Purified

    Immunogen

    Recombinant Human Ketohexokinase protein (1-298AA)

    Isotyp

    IgG
  • Applikationshinweise

    Optimal working dilution should be determined by the investigator.

    Beschränkungen

    Nur für Forschungszwecke einsetzbar
  • Format

    Liquid

    Buffer

    PBS with 0.02 % sodium azide, 50 % glycerol, pH 7.3.

    Konservierungsmittel

    Sodium azide

    Vorsichtsmaßnahmen

    This product contains Sodium azide: a POISONOUS AND HAZARDOUS SUBSTANCE which should be handled by trained staff only.

    Lagerung

    -20 °C,-80 °C

    Informationen zur Lagerung

    Upon receipt, store at -20°C or -80°C. Avoid repeated freeze.
  • Target

    Ketohexokinase (KHK)

    Andere Bezeichnung

    KHK

    Hintergrund

    Background: Catalyzes the phosphorylation of the ketose sugar fructose to fructose-1-phosphate.

    Aliases: EC 2.7.1.3 antibody, Fructokinase antibody, Hepatic fructokinase antibody, Ketohexokinase antibody, Ketohexokinase isoform a antibody, KHK antibody, KHK_HUMAN antibody

    UniProt

    P50053
Sie sind hier:
Chat with us!