Telefon:
+49 (0)241 95 163 153
Fax:
+49 (0)241 95 163 155
E-Mail:
orders@antikoerper-online.de

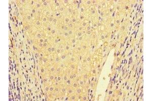
IL32 Antikörper (AA 31-234)

Der Kaninchen Polyklonal anti-IL32 Antikörper (ABIN7156891) detektiert spezifisch IL32 in ELISA, IHC und IF. Dieser Antikörper reagiert spezifisch mit Proben aus Human.
Produktnummer ABIN7156891
328,90 €
Zzgl. Versandkosten 20,00 € und MwSt
Lieferung nach: Deutschland
Lieferung in 11 bis 15 Werktagen

Kurzübersicht für IL32 Antikörper (AA 31-234) (ABIN7156891)

Target

Alle IL32 Antikörper anzeigen
IL32 (Interleukin 32 (IL32))

Reaktivität

  • 64
  • 8
  • 3
Human

Wirt

  • 48
  • 14
  • 2
Kaninchen

Klonalität

  • 50
  • 14
Polyklonal

Konjugat

  • 40
  • 5
  • 4
  • 3
  • 3
  • 2
  • 1
  • 1
  • 1
  • 1
  • 1
  • 1
  • 1
Dieser IL32 Antikörper ist unkonjugiert

Applikation

  • 39
  • 28
  • 21
  • 8
  • 7
  • 7
  • 7
  • 5
  • 4
  • 2
  • 1
  • 1
  • 1
  • 1
  • 1
  • 1
  • 1
ELISA, Immunohistochemistry (IHC), Immunofluorescence (IF)
  • Bindungsspezifität

    • 10
    • 6
    • 5
    • 4
    • 4
    • 3
    • 2
    • 1
    • 1
    • 1
    • 1
    • 1
    • 1
    • 1
    • 1
    AA 31-234

    Verwendungszweck

    IL32 Antibody

    Aufreinigung

    Protein G purified

    Reinheit

    >95 %

    Immunogen

    Recombinant Human Interleukin-32 protein (31-234AA)

    Isotyp

    IgG
  • Applikationshinweise

    Optimal working dilution should be determined by the investigator.

    Beschränkungen

    Nur für Forschungszwecke einsetzbar
  • Format

    Liquid

    Buffer

    Preservative: 0.03 % Proclin 300
    Constituents: 50 % Glycerol, 0.01M PBS, PH 7.4

    Konservierungsmittel

    ProClin

    Vorsichtsmaßnahmen

    This product contains ProClin: a POISONOUS AND HAZARDOUS SUBSTANCE which should be handled by trained staff only.

    Lagerung

    -20 °C,-80 °C

    Informationen zur Lagerung

    Upon receipt, store at -20°C or -80°C. Avoid repeated freeze.
  • Target

    IL32 (Interleukin 32 (IL32))

    Andere Bezeichnung

    IL32

    Hintergrund

    Background: Cytokine that may play a role in innate and adaptive immune responses. It induces various cytokines such as TNFA/TNF-alpha and IL8. It activates typical cytokine signal pathways of NF-kappa-B and p38 MAPK.

    Aliases: IL 32alpha antibody, IL 32beta antibody, IL 32delta antibody, IL 32gamma antibody, IL-32 antibody, IL32 antibody, IL32_HUMAN antibody, Interleukin 32 antibody, Interleukin 32 small antibody, Interleukin 32 theta antibody, Interleukin-32 antibody, interleukin-32 eta antibody, Natural killer cell transcript 4 antibody, Natural killer cells protein 4 antibody, NK 4 antibody, NK4 antibody, OTTHUMP00000236040 antibody, OTTHUMP00000236041 antibody, OTTHUMP00000236042 antibody, OTTHUMP00000236043 antibody, OTTHUMP00000236044 antibody, OTTHUMP00000236045 antibody, OTTHUMP00000236046 antibody, OTTHUMP00000236047 antibody, OTTHUMP00000236048 antibody, OTTHUMP00000236049 antibody, OTTHUMP00000236050 antibody, OTTHUMP00000236051 antibody, OTTHUMP00000236052 antibody, OTTHUMP00000236053 antibody, OTTHUMP00000236054 antibody, OTTHUMP00000241545 antibody, OTTHUMP00000241602 antibody, OTTHUMP00000241603 antibody, OTTHUMP00000241604 antibody, OTTHUMP00000241605 antibody, OTTHUMP00000241606 antibody, OTTHUMP00000241607 antibody, OTTHUMP00000241608 antibody, OTTHUMP00000241609 antibody, OTTHUMP00000241610 antibody, OTTHUMP00000241611 antibody, OTTHUMP00000241612 antibody, TAIF antibody, TAIFa antibody, TAIFb antibody, TAIFc antibody, TAIFd antibody, Tumor necrosis factor alpha-inducing factor antibody

    UniProt

    P24001
Sie sind hier:
Chat with us!