Telefon:
+49 (0)241 95 163 153
Fax:
+49 (0)241 95 163 155
E-Mail:
orders@antikoerper-online.de

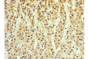
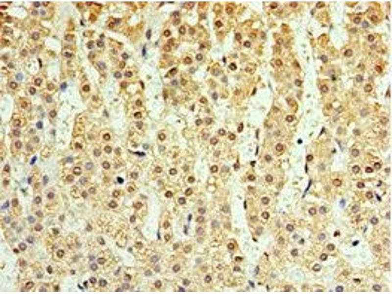
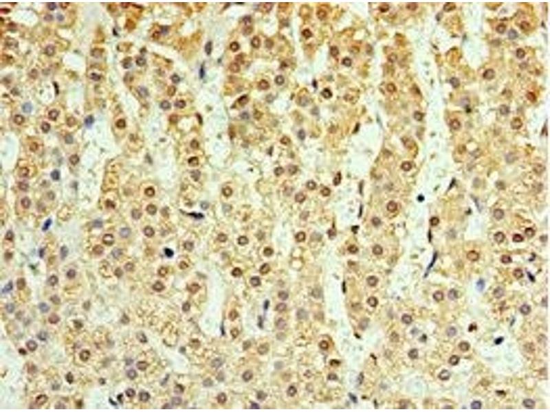
IL-25 Antikörper (AA 33-177)

Der Kaninchen Polyklonal anti-IL-25 Antikörper (ABIN7156876) detektiert spezifisch IL-25 in IHC und ELISA. Dieser Antikörper reagiert spezifisch mit Proben aus Human.
Produktnummer ABIN7156876
394,68 €
Zzgl. Versandkosten 20,00 € und MwSt
Lieferung nach: Deutschland
Lieferung in 11 bis 15 Werktagen

Kurzübersicht für IL-25 Antikörper (AA 33-177) (ABIN7156876)

Target

Alle IL-25 (IL25) Antikörper anzeigen
IL-25 (IL25) (Interleukin 25 (IL25))

Reaktivität

  • 60
  • 28
  • 22
  • 1
Human

Wirt

  • 42
  • 24
  • 6
  • 2
Kaninchen

Klonalität

  • 44
  • 30
Polyklonal

Konjugat

  • 44
  • 5
  • 5
  • 3
  • 3
  • 3
  • 1
  • 1
  • 1
  • 1
  • 1
  • 1
  • 1
  • 1
  • 1
  • 1
  • 1
Dieser IL-25 Antikörper ist unkonjugiert

Applikation

  • 54
  • 29
  • 21
  • 14
  • 8
  • 7
  • 5
  • 4
  • 3
  • 2
  • 2
  • 1
  • 1
  • 1
  • 1
Immunohistochemistry (IHC), ELISA
  • Bindungsspezifität

    • 6
    • 5
    • 4
    • 3
    • 3
    • 2
    • 2
    • 2
    • 2
    • 2
    • 2
    • 2
    • 1
    • 1
    • 1
    • 1
    AA 33-177

    Verwendungszweck

    IL25 Antibody

    Aufreinigung

    Antigen Affinity Purified

    Immunogen

    Recombinant Human Interleukin-25 protein (33-177AA)

    Isotyp

    IgG
  • Applikationshinweise

    Optimal working dilution should be determined by the investigator.

    Beschränkungen

    Nur für Forschungszwecke einsetzbar
  • Format

    Liquid

    Buffer

    PBS with 0.02 % sodium azide, 50 % glycerol, pH 7.3.

    Konservierungsmittel

    Sodium azide

    Vorsichtsmaßnahmen

    This product contains Sodium azide: a POISONOUS AND HAZARDOUS SUBSTANCE which should be handled by trained staff only.

    Lagerung

    -20 °C,-80 °C

    Informationen zur Lagerung

    Upon receipt, store at -20°C or -80°C. Avoid repeated freeze.
  • Target

    IL-25 (IL25) (Interleukin 25 (IL25))

    Andere Bezeichnung

    IL25

    Hintergrund

    Background: Induces activation of NF-kappa-B and stimulates production of the proinflammatory chemokine IL-8. Proinflammatory cytokine favoring Th2-type immune responses.

    Aliases: IL 17E antibody, IL 25 antibody, IL-17E antibody, IL-25 antibody, IL17e antibody, IL25 antibody, IL25_HUMAN antibody, Interleukin 17E antibody, Interleukin 25 antibody, Interleukin-17E antibody, Interleukin-25 antibody, Interleukin17E antibody, Interleukin25 antibody, OTTHUMP00000027946 antibody, OTTHUMP00000246238 antibody, UNQ3120/PRO10272 antibody

    UniProt

    Q9H293
Sie sind hier:
Chat with us!