Telefon:
+49 (0)241 95 163 153
Fax:
+49 (0)241 95 163 155
E-Mail:
orders@antikoerper-online.de

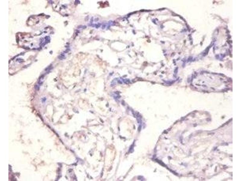
IL18BP Antikörper (AA 31-183)

Der Kaninchen Polyklonal anti-IL18BP Antikörper (ABIN7156834) detektiert spezifisch IL18BP in ELISA und IHC. Dieser Antikörper reagiert spezifisch mit Proben aus Human.
Produktnummer ABIN7156834
328,90 €
Zzgl. Versandkosten 20,00 € und MwSt
Lieferung nach: Deutschland
Lieferung in 11 bis 15 Werktagen

Kurzübersicht für IL18BP Antikörper (AA 31-183) (ABIN7156834)

Target

Alle IL18BP Antikörper anzeigen
IL18BP (Interleukin 18 Binding Protein (IL18BP))

Reaktivität

  • 48
  • 33
  • 31
Human

Wirt

  • 71
  • 7
  • 5
  • 2
Kaninchen

Klonalität

  • 64
  • 17
  • 2
Polyklonal

Konjugat

  • 30
  • 12
  • 7
  • 5
  • 2
  • 2
  • 2
  • 2
  • 2
  • 2
  • 2
  • 1
  • 1
  • 1
  • 1
  • 1
  • 1
  • 1
  • 1
  • 1
  • 1
  • 1
  • 1
  • 1
  • 1
  • 1
Dieser IL18BP Antikörper ist unkonjugiert

Applikation

  • 57
  • 31
  • 28
  • 13
  • 13
  • 10
  • 6
  • 6
  • 4
  • 4
  • 3
  • 3
  • 2
  • 2
  • 1
  • 1
  • 1
ELISA, Immunohistochemistry (IHC)
  • Bindungsspezifität

    • 15
    • 12
    • 11
    • 4
    • 1
    • 1
    • 1
    • 1
    AA 31-183

    Verwendungszweck

    IL18BP Antibody

    Aufreinigung

    Protein G purified

    Reinheit

    >95 %

    Immunogen

    Recombinant Human Interleukin-18-binding protein (31-183AA)

    Isotyp

    IgG
  • Applikationshinweise

    Optimal working dilution should be determined by the investigator.

    Beschränkungen

    Nur für Forschungszwecke einsetzbar
  • Format

    Liquid

    Buffer

    Preservative: 0.03 % Proclin 300
    Constituents: 50 % Glycerol, 0.01M PBS, PH 7.4

    Konservierungsmittel

    ProClin

    Vorsichtsmaßnahmen

    This product contains ProClin: a POISONOUS AND HAZARDOUS SUBSTANCE which should be handled by trained staff only.

    Lagerung

    -20 °C,-80 °C

    Informationen zur Lagerung

    Upon receipt, store at -20°C or -80°C. Avoid repeated freeze.
  • Target

    IL18BP (Interleukin 18 Binding Protein (IL18BP))

    Andere Bezeichnung

    IL18BP

    Hintergrund

    Background: Isoform A binds to IL-18 and inhibits its activity. Functions as an inhibitor of the early TH1 cytokine response.

    Aliases: I18BP_HUMAN antibody, IL-18BP antibody, IL18 binding protein antibody, IL18 BP antibody, IL18 BPa antibody, IL18BP antibody, IL18BPa antibody, Interleukin 18 binding protein antibody, Interleukin-18-binding protein antibody, MC51L 53L 54L homolog gene product antibody, Tadekinig alfa antibody, Tadekinig-alfa antibody

    UniProt

    O95998
Sie sind hier:
Chat with us!