Telefon:
+49 (0)241 95 163 153
Fax:
+49 (0)241 95 163 155
E-Mail:
orders@antikoerper-online.de

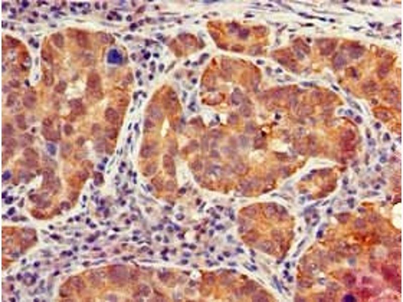
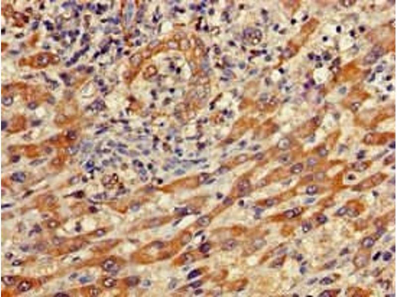
IFIT1 Antikörper (AA 1-181)

Der Kaninchen Polyklonal anti-IFIT1 Antikörper (ABIN7156663) detektiert spezifisch IFIT1 in WB, ELISA, IHC und IF. Dieser Antikörper reagiert spezifisch mit Proben aus Human.
Produktnummer ABIN7156663
792,00 €
Zzgl. Versandkosten 20,00 € und MwSt
100 μg
Lieferung nach: Deutschland
Lieferung in 11 bis 15 Werktagen

Kurzübersicht für IFIT1 Antikörper (AA 1-181) (ABIN7156663)

Target

Alle IFIT1 Antikörper anzeigen
IFIT1 (Interferon-Induced Protein with Tetratricopeptide Repeats 1 (IFIT1))

Reaktivität

  • 22
  • 7
  • 6
  • 2
  • 1
  • 1
  • 1
  • 1
  • 1
Human

Wirt

  • 18
  • 4
Kaninchen

Klonalität

  • 20
  • 2
Polyklonal

Konjugat

  • 19
  • 1
  • 1
  • 1
Dieser IFIT1 Antikörper ist unkonjugiert

Applikation

  • 18
  • 10
  • 7
  • 6
  • 2
  • 2
  • 1
  • 1
  • 1
Western Blotting (WB), ELISA, Immunohistochemistry (IHC), Immunofluorescence (IF)
  • Bindungsspezifität

    • 4
    • 4
    • 2
    • 2
    • 1
    • 1
    • 1
    • 1
    • 1
    • 1
    • 1
    AA 1-181

    Kreuzreaktivität

    Human, Maus, Ratte

    Aufreinigung

    >95%, Protein G purified

    Immunogen

    Recombinant Human Interferon-induced protein with tetratricopeptide repeats 1 protein (1-181AA)

    Isotyp

    IgG
  • Applikationshinweise

    Recommended dilution: WB:1:200-1:5000, IHC:1:20-1:200, IF:1:50-1:200,

    Beschränkungen

    Nur für Forschungszwecke einsetzbar
  • Format

    Liquid

    Buffer

    Preservative: 0.03 % Proclin 300
    Constituents: 50 % Glycerol, 0.01M PBS, pH 7.4

    Konservierungsmittel

    ProClin

    Vorsichtsmaßnahmen

    This product contains ProClin: a POISONOUS AND HAZARDOUS SUBSTANCE which should be handled by trained staff only.

    Lagerung

    -20 °C,-80 °C

    Informationen zur Lagerung

    Upon receipt, store at -20°C or -80°C. Avoid repeated freeze.
  • Target

    IFIT1 (Interferon-Induced Protein with Tetratricopeptide Repeats 1 (IFIT1))

    Andere Bezeichnung

    IFIT1

    Hintergrund

    Background: Interferon-induced antiviral RNA-binding protein that specifically binds single-stranded RNA bearing a 5\\\'-triphosphate group (PPP-RNA), thereby acting as a sensor of viral single-stranded RNAs and inhibiting expression of viral messenger RNAs. Single-stranded PPP-RNAs, which lack 2\\\'-O-methylation of the 5\\\' cap and bear a 5\\\'-triphosphate group instead, are specific from viruses, providing a molecular signature to distinguish between self and non-self mRNAs by the host during viral infection. Directly binds PPP-RNA in a non-sequence-specific manner. Viruses evolved several ways to evade this restriction system such as encoding their own 2\\\'-O-methylase for their mRNAs or by stealing host cap containing the 2\\\'-O-methylation (cap snatching mechanism). Exhibits antiviral activity against several viruses including human papilloma and hepatitis C viruses.

    Aliases: C56 antibody, G10P1 antibody, GARG 16 antibody, GARG16 antibody, IFI 56 antibody, IFI 56K antibody, IFI-56K antibody, IFI56 antibody, IFIT-1 antibody, Ifit1 antibody, IFIT1_HUMAN antibody, IFNAI1 antibody, Interferon alpha inducible protein (MW 56kD) antibody, Interferon induced 56 kDa protein antibody, Interferon induced protein 56 antibody, Interferon inducible mRNA 561 antibody, Interferon-induced 56 kDa protein antibody, Interferon-induced protein with tetratricopeptide repeats 1 antibody, ISG56 antibody, OTTHUMP00000020062 antibody, P56 antibody, RNM561 antibody

    UniProt

    P09914

    Pathways

    Hepatitis C
Sie sind hier:
Chat with us!