Telefon:
+49 (0)241 95 163 153
Fax:
+49 (0)241 95 163 155
E-Mail:
orders@antikoerper-online.de

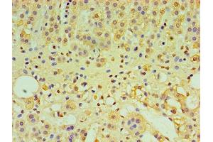
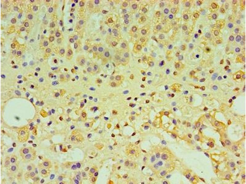
IL29 Antikörper (AA 21-200)

Der Kaninchen Polyklonal anti-IL29 Antikörper wird verwendet zum Nachweis von IL29 in Proben von Human. Er wurde validiert für IHC und ELISA.
Produktnummer ABIN7156608
328,90 €
Zzgl. Versandkosten 20,00 € und MwSt
Lieferung nach: Deutschland
Lieferung in 11 bis 15 Werktagen

Kurzübersicht für IL29 Antikörper (AA 21-200) (ABIN7156608)

Target

Alle IL29 Antikörper anzeigen
IL29 (Interleukin 29 (IL29))

Reaktivität

Human

Wirt

  • 42
  • 13
Kaninchen

Klonalität

  • 42
  • 13
Polyklonal

Konjugat

  • 28
  • 5
  • 5
  • 4
  • 3
  • 3
  • 1
  • 1
  • 1
  • 1
  • 1
  • 1
  • 1
Dieser IL29 Antikörper ist unkonjugiert

Applikation

  • 27
  • 26
  • 24
  • 8
  • 8
  • 6
  • 5
  • 4
  • 3
  • 2
  • 1
  • 1
Immunohistochemistry (IHC), ELISA
  • Bindungsspezifität

    • 14
    • 7
    • 6
    • 4
    • 4
    • 3
    • 2
    • 1
    • 1
    AA 21-200

    Verwendungszweck

    IFNL1 Antibody

    Aufreinigung

    Protein G purified

    Reinheit

    >95 %

    Immunogen

    Recombinant Human Interferon lambda-1 protein (21-200AA)

    Isotyp

    IgG
  • Applikationshinweise

    Optimal working dilution should be determined by the investigator.

    Beschränkungen

    Nur für Forschungszwecke einsetzbar
  • Format

    Liquid

    Buffer

    Preservative: 0.03 % Proclin 300
    Constituents: 50 % Glycerol, 0.01M PBS, PH 7.4

    Konservierungsmittel

    ProClin

    Vorsichtsmaßnahmen

    This product contains ProClin: a POISONOUS AND HAZARDOUS SUBSTANCE which should be handled by trained staff only.

    Lagerung

    -20 °C,-80 °C

    Informationen zur Lagerung

    Upon receipt, store at -20°C or -80°C. Avoid repeated freeze.
  • Target

    IL29 (Interleukin 29 (IL29))

    Andere Bezeichnung

    IFNL1

    Hintergrund

    Background: Cytokine with antiviral, antitumour and immunomodulatory activities. Plays a critical role in the antiviral host defense, predominantly in the epithelial tissues. Acts as a ligand for the heterodimeric class II cytokine receptor composed of IL10RB and IFNLR1, and receptor engagement leads to the activation of the JAK/STAT signaling pathway resulting in the expression of IFN-stimulated genes (ISG), which mediate the antiviral state. Has a restricted receptor distribution and therefore restricted targets: is primarily active in epithelial cells and this cell type-selective action is because of the epithelial cell-specific expression of its receptor IFNLR1. Exerts an immunomodulatory effect by up-regulating MHC class I antigen expression.

    Aliases: IFNL1 antibody, IL29 antibody, ZCYTO21Interferon lambda-1 antibody, IFN-lambda-1 antibody, Cytokine Zcyto21 antibody, Interleukin-29 antibody, IL-29 antibody

    UniProt

    Q8IU54
Sie sind hier:
Chat with us!