IRS1 Antikörper (AA 1-160)
Kurzübersicht für IRS1 Antikörper (AA 1-160) (ABIN7156335)
Target
Alle IRS1 Antikörper anzeigenReaktivität
Wirt
Klonalität
Konjugat
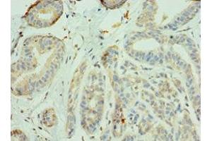
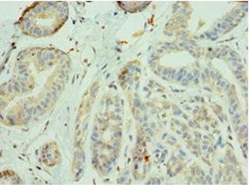
Applikation
-
-
Bindungsspezifität
- AA 1-160
-
Verwendungszweck
- IRS1 Antibody
-
Aufreinigung
- Antigen Affinity Purified
-
Immunogen
- Recombinant Human Insulin receptor substrate 1 protein (1-160AA)
-
Isotyp
- IgG
-
-
-
-
Applikationshinweise
- Optimal working dilution should be determined by the investigator.
-
Beschränkungen
- Nur für Forschungszwecke einsetzbar
-
-
-
Format
- Liquid
-
Buffer
- PBS with 0.02 % sodium azide, 50 % glycerol, pH 7.3.
-
Konservierungsmittel
- Sodium azide
-
Vorsichtsmaßnahmen
- This product contains Sodium azide: a POISONOUS AND HAZARDOUS SUBSTANCE which should be handled by trained staff only.
-
Lagerung
- -20 °C,-80 °C
-
Informationen zur Lagerung
- Upon receipt, store at -20°C or -80°C. Avoid repeated freeze.
-
-
- IRS1 (Insulin Receptor Substrate 1 (IRS1))
-
Andere Bezeichnung
- IRS1
-
Hintergrund
-
Background: May mediate the control of various cellular processes by insulin. When phosphorylated by the insulin receptor binds specifically to various cellular proteins containing SH2 domains such as phosphatidylinositol 3-kinase p85 subunit or GRB2. Activates phosphatidylinositol 3-kinase when bound to the regulatory p85 subunit.
Aliases: HIRS 1 antibody, HIRS1 antibody, Insulin receptor substrate 1 antibody, IRS 1 antibody, IRS-1 antibody, IRS1 antibody, IRS1_HUMAN antibody, OTTHUMP00000164234 antibody
-
UniProt
- P35568
-
Pathways
- Fc-epsilon Rezeptor Signalübertragung, EGFR Signaling Pathway, Neurotrophin Signalübertragung, Positive Regulation of Peptide Hormone Secretion, Hormone Transport, Negative Regulation of Hormone Secretion, Response to Growth Hormone Stimulus, Carbohydrate Homeostasis, Regulation of Carbohydrate Metabolic Process
Target
-