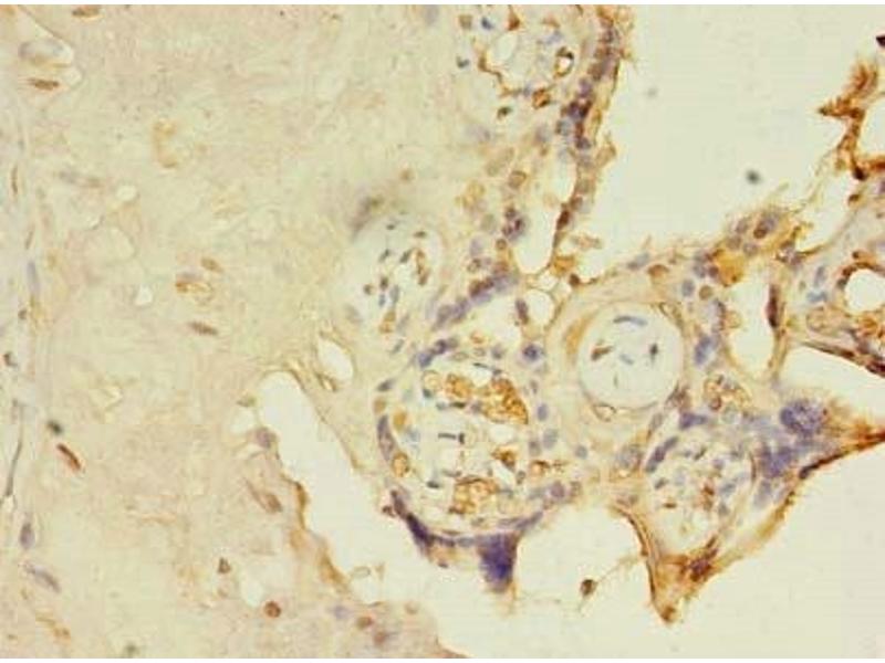
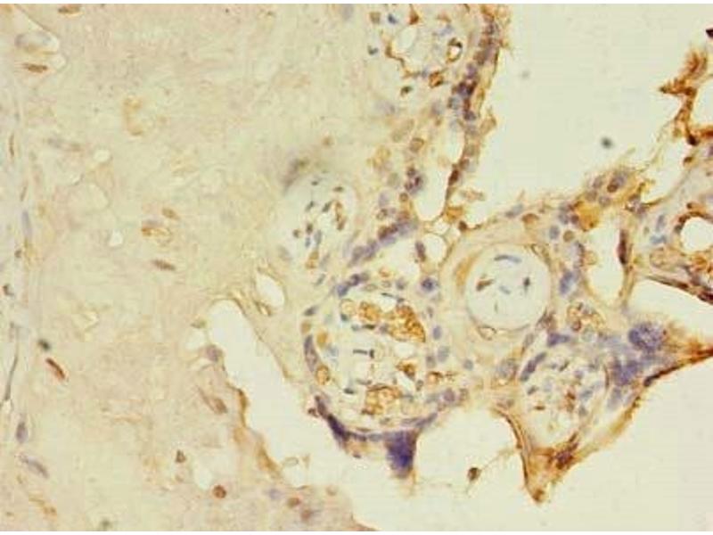
FAM105A Antikörper (AA 81-356)
Kurzübersicht für FAM105A Antikörper (AA 81-356) (ABIN7156199)
Target
Reaktivität
Wirt
Klonalität
Konjugat
Applikation
-
-
Bindungsspezifität
- AA 81-356
-
Verwendungszweck
- FAM105A Antibody
-
Aufreinigung
- Protein G purified
-
Reinheit
- >95 %
-
Immunogen
- Recombinant Human Inactive ubiquitin thioesterase FAM105A protein (81-356AA)
-
Isotyp
- IgG
-
-
-
-
Applikationshinweise
- Optimal working dilution should be determined by the investigator.
-
Beschränkungen
- Nur für Forschungszwecke einsetzbar
-
-
-
Format
- Liquid
-
Buffer
-
Preservative: 0.03 % Proclin 300
Constituents: 50 % Glycerol, 0.01M PBS, PH 7.4 -
Konservierungsmittel
- ProClin
-
Vorsichtsmaßnahmen
- This product contains ProClin: a POISONOUS AND HAZARDOUS SUBSTANCE which should be handled by trained staff only.
-
Lagerung
- -20 °C,-80 °C
-
Informationen zur Lagerung
- Upon receipt, store at -20°C or -80°C. Avoid repeated freeze.
-
-
- FAM105A (Family with Sequence Similarity 105, Member A (FAM105A))
-
Andere Bezeichnung
- FAM105A
-
Hintergrund
- OTULINL antibody, FAM105A antibody, Inactive ubiquitin thioesterase OTULINL antibody
-
UniProt
- Q9NUU6
Target
-