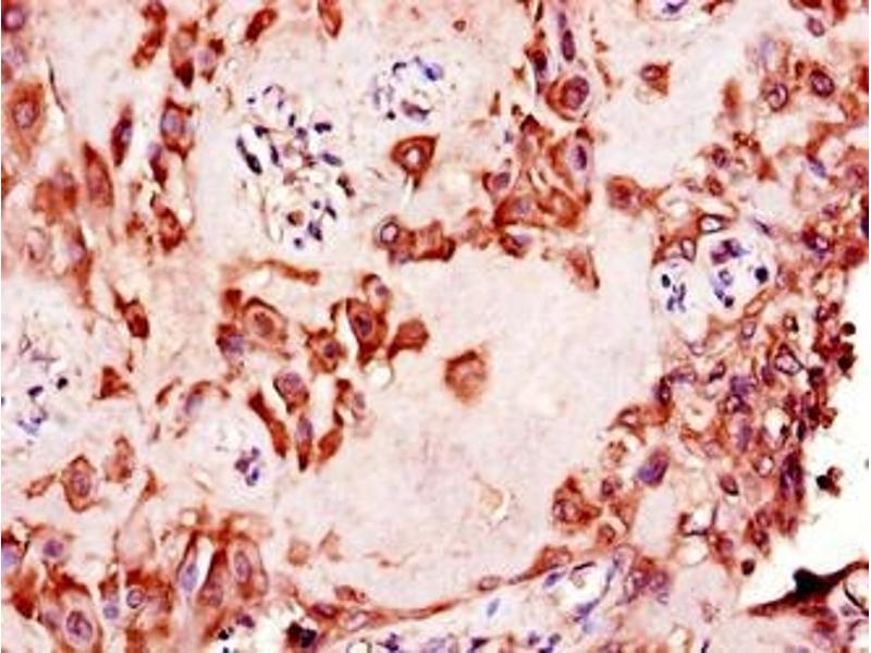
NAALADL2 Antikörper (AA 143-795)
Kurzübersicht für NAALADL2 Antikörper (AA 143-795) (ABIN7156151)
Target
Alle NAALADL2 Antikörper anzeigenReaktivität
Wirt
Klonalität
Konjugat
Applikation
-
-
Bindungsspezifität
- AA 143-795
-
Verwendungszweck
- NAALADL2 Antibody
-
Kreuzreaktivität
- Maus
-
Aufreinigung
- Protein G purified
-
Reinheit
- >95 %
-
Immunogen
- Recombinant Human Inactive N-acetylated-alpha-linked acidic dipeptidase-like protein 2 protein (143-795AA)
-
Isotyp
- IgG
-
-
-
-
Applikationshinweise
- Optimal working dilution should be determined by the investigator.
-
Beschränkungen
- Nur für Forschungszwecke einsetzbar
-
-
-
Format
- Liquid
-
Buffer
-
Preservative: 0.03 % Proclin 300
Constituents: 50 % Glycerol, 0.01M PBS, PH 7.4 -
Konservierungsmittel
- ProClin
-
Vorsichtsmaßnahmen
- This product contains ProClin: a POISONOUS AND HAZARDOUS SUBSTANCE which should be handled by trained staff only.
-
Lagerung
- -20 °C,-80 °C
-
Informationen zur Lagerung
- Upon receipt, store at -20°C or -80°C. Avoid repeated freeze.
-
-
- NAALADL2 (N-Acetylated alpha-Linked Acidic Dipeptidase-Like 2 (NAALADL2))
-
Andere Bezeichnung
- NAALADL2
-
Hintergrund
-
Background: May be catalytically inactive.
Aliases: Glutamate carboxypeptidase II type non peptidase homologue antibody, Inactive N acetylated alpha linked acidic dipeptidase like protein 2 antibody, Inactive N-acetylated-alpha-linked acidic dipeptidase-like protein 2 antibody, N acetylated alpha linked acidic dipeptidase like 2 antibody, NAALADase L2 antibody, NAALADL 2 antibody, NAALADL2 antibody, NADL2_HUMAN antibody
-
UniProt
- Q58DX5
Target
-