Telefon:
+49 (0)241 95 163 153
Fax:
+49 (0)241 95 163 155
E-Mail:
orders@antikoerper-online.de

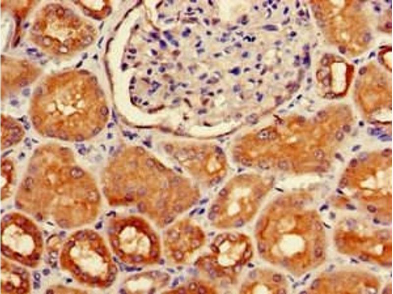
HOXA5 Antikörper (AA 1-270)

Der Kaninchen Polyklonal anti-HOXA5 Antikörper (ABIN7155721) detektiert spezifisch HOXA5 in WB, ELISA und IHC. Dieser Antikörper reagiert spezifisch mit Proben aus Human.
Produktnummer ABIN7155721
328,90 €
Zzgl. Versandkosten 20,00 € und MwSt
Lieferung nach: Deutschland
Lieferung in 11 bis 15 Werktagen

Kurzübersicht für HOXA5 Antikörper (AA 1-270) (ABIN7155721)

Target

Alle HOXA5 Antikörper anzeigen
HOXA5 (Homeobox A5 (HOXA5))

Reaktivität

  • 61
  • 28
  • 24
  • 9
  • 6
  • 5
  • 5
  • 4
  • 3
  • 3
  • 2
  • 2
  • 2
  • 1
  • 1
  • 1
Human

Wirt

  • 58
  • 8
  • 2
Kaninchen

Klonalität

  • 61
  • 7
Polyklonal

Konjugat

  • 38
  • 4
  • 4
  • 3
  • 1
  • 1
  • 1
  • 1
  • 1
  • 1
  • 1
  • 1
  • 1
  • 1
  • 1
  • 1
  • 1
  • 1
  • 1
  • 1
  • 1
  • 1
  • 1
Dieser HOXA5 Antikörper ist unkonjugiert

Applikation

  • 57
  • 28
  • 13
  • 13
  • 7
  • 6
  • 3
  • 3
  • 3
  • 2
  • 1
Western Blotting (WB), ELISA, Immunohistochemistry (IHC)
  • Bindungsspezifität

    • 15
    • 8
    • 8
    • 8
    • 4
    • 3
    • 3
    • 2
    • 2
    • 1
    • 1
    • 1
    • 1
    • 1
    AA 1-270

    Verwendungszweck

    HOXA5 Antibody

    Kreuzreaktivität

    Ratte

    Aufreinigung

    Protein G purified

    Reinheit

    >95 %

    Immunogen

    Recombinant Human Homeobox protein Hox-A5 protein (1-270AA)

    Isotyp

    IgG
  • Applikationshinweise

    Optimal working dilution should be determined by the investigator.

    Beschränkungen

    Nur für Forschungszwecke einsetzbar
  • Format

    Liquid

    Buffer

    Preservative: 0.03 % Proclin 300
    Constituents: 50 % Glycerol, 0.01M PBS, pH 7.4

    Konservierungsmittel

    ProClin

    Vorsichtsmaßnahmen

    This product contains ProClin: a POISONOUS AND HAZARDOUS SUBSTANCE which should be handled by trained staff only.

    Lagerung

    -20 °C,-80 °C

    Informationen zur Lagerung

    Upon receipt, store at -20°C or -80°C. Avoid repeated freeze.
  • Target

    HOXA5 (Homeobox A5 (HOXA5))

    Andere Bezeichnung

    HOXA5

    Hintergrund

    Background: Sequence-specific transcription factor which is part of a developmental regulatory system that provides cells with specific positional identities on the anterior-posterior axis. Also binds to its own promoter. Binds specifically to the motif 5\\\'-CYYNATTA[TG]Y-3\\\'.

    Aliases: Homeo box 1C antibody, Homeo box A5 antibody, Homeobox A5 antibody, Homeobox protein Hox-1C antibody, Homeobox protein Hox-A5 antibody, Homeobox protein HOXA5 antibody, HOX 1 antibody, HOX 1.3 antibody, HOX 1C antibody, HOX1 antibody, HOX1.3 antibody, HOX1C antibody, HOXA5 antibody, HXA5_HUMAN antibody, MGC9376 antibody, OTTHUMP00000217259 antibody

    UniProt

    P20719
Sie sind hier:
Chat with us!