Telefon:
+49 (0)241 95 163 153
Fax:
+49 (0)241 95 163 155
E-Mail:
orders@antikoerper-online.de

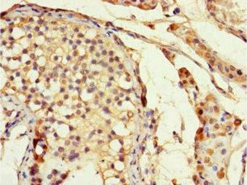
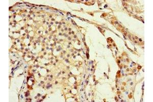
DLX5 Antikörper (AA 1-249)

Der Kaninchen Polyklonal anti-DLX5 Antikörper (ABIN7155679) detektiert spezifisch DLX5 in ELISA, IHC und IF. Dieser Antikörper reagiert spezifisch mit Proben aus Human.
Produktnummer ABIN7155679
328,90 €
Zzgl. Versandkosten 20,00 € und MwSt
Lieferung nach: Deutschland
Lieferung in 11 bis 15 Werktagen

Kurzübersicht für DLX5 Antikörper (AA 1-249) (ABIN7155679)

Target

Alle DLX5 Antikörper anzeigen
DLX5 (Distal-Less Homeobox 5 (DLX5))

Reaktivität

  • 60
  • 33
  • 33
  • 9
  • 8
  • 8
  • 8
  • 7
  • 6
  • 5
  • 4
  • 4
  • 3
  • 2
  • 2
  • 1
Human

Wirt

  • 51
  • 7
  • 1
  • 1
Kaninchen

Klonalität

  • 42
  • 18
Polyklonal

Konjugat

  • 35
  • 4
  • 3
  • 2
  • 2
  • 2
  • 2
  • 2
  • 2
  • 2
  • 1
  • 1
  • 1
  • 1
Dieser DLX5 Antikörper ist unkonjugiert

Applikation

  • 44
  • 36
  • 24
  • 20
  • 14
  • 12
  • 7
  • 1
ELISA, Immunohistochemistry (IHC), Immunofluorescence (IF)
  • Bindungsspezifität

    • 8
    • 6
    • 4
    • 4
    • 3
    • 3
    • 3
    • 3
    • 1
    • 1
    • 1
    • 1
    • 1
    • 1
    • 1
    • 1
    • 1
    AA 1-249

    Verwendungszweck

    DLX5 Antibody

    Aufreinigung

    Protein G purified

    Reinheit

    >95 %

    Immunogen

    Recombinant Human Homeobox protein DLX-5 protein (1-249AA)

    Isotyp

    IgG
  • Applikationshinweise

    Optimal working dilution should be determined by the investigator.

    Beschränkungen

    Nur für Forschungszwecke einsetzbar
  • Format

    Liquid

    Buffer

    Preservative: 0.03 % Proclin 300
    Constituents: 50 % Glycerol, 0.01M PBS, PH 7.4

    Konservierungsmittel

    ProClin

    Vorsichtsmaßnahmen

    This product contains ProClin: a POISONOUS AND HAZARDOUS SUBSTANCE which should be handled by trained staff only.

    Lagerung

    -20 °C,-80 °C

    Informationen zur Lagerung

    Upon receipt, store at -20°C or -80°C. Avoid repeated freeze.
  • Target

    DLX5 (Distal-Less Homeobox 5 (DLX5))

    Andere Bezeichnung

    DLX5

    Hintergrund

    Background: Transcriptional factor involved in bone development. Acts as an immediate early BMP-responsive transcriptional activator essential for osteoblast differentiation. Stimulates ALPL promoter activity in a RUNX2-independent manner during osteoblast differentiation. Stimulates SP7 promoter activity during osteoblast differentiation. Promotes cell proliferation by up-regulating MYC promoter activity. Involved as a positive regulator of both chondrogenesis and chondrocyte hypertrophy in the endochondral skeleton. Binds to the homeodomain-response element of the ALPL and SP7 promoter. Binds to the MYC promoter. Requires the 5\'-TAATTA-3\' consensus sequence for DNA-binding.

    Aliases: DLX5Homeobox protein DLX-5 antibody

    UniProt

    P56178
Sie sind hier:
Chat with us!