Telefon:
+49 (0)241 95 163 153
Fax:
+49 (0)241 95 163 155
E-Mail:
orders@antikoerper-online.de

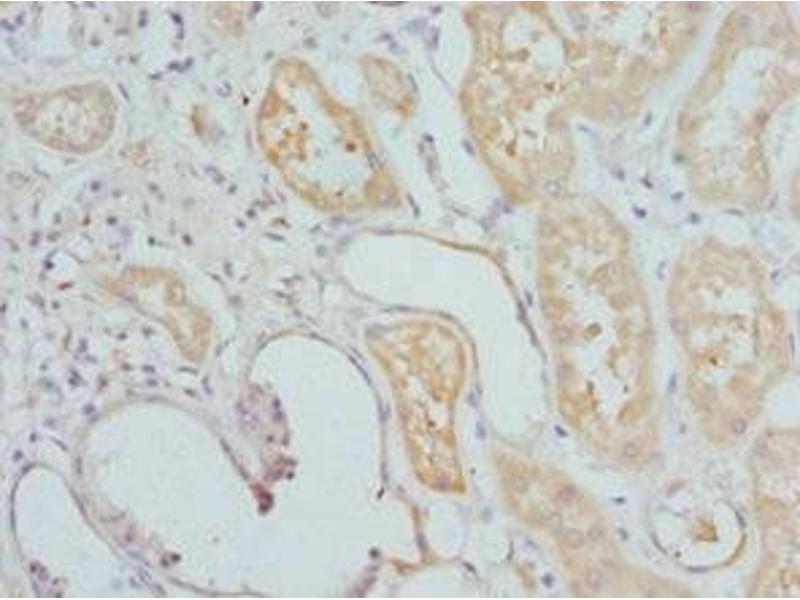
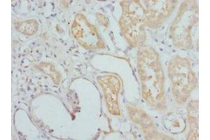
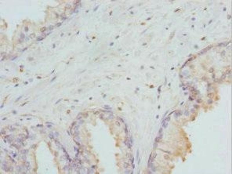
DLX2 Antikörper (AA 1-140)

Dieser Kaninchen Polyklonal Antikörper detektiert spezifisch DLX2 in ELISA und IHC. Es zeigt Reaktivität gegenüber Proben von Human.
Produktnummer ABIN7155677
328,90 €
Zzgl. Versandkosten 20,00 € und MwSt
Lieferung nach: Deutschland
Lieferung in 11 bis 15 Werktagen

Kurzübersicht für DLX2 Antikörper (AA 1-140) (ABIN7155677)

Target

Alle DLX2 Antikörper anzeigen
DLX2 (Distal-Less Homeobox Protein 2 (DLX2))

Reaktivität

  • 34
  • 17
  • 15
  • 4
  • 4
  • 4
  • 1
  • 1
  • 1
Human

Wirt

  • 28
  • 6
  • 1
Kaninchen

Klonalität

  • 29
  • 6
Polyklonal

Konjugat

  • 23
  • 2
  • 1
  • 1
  • 1
  • 1
  • 1
  • 1
  • 1
  • 1
  • 1
  • 1
Dieser DLX2 Antikörper ist unkonjugiert

Applikation

  • 28
  • 17
  • 9
  • 7
  • 2
  • 2
  • 2
  • 1
  • 1
ELISA, Immunohistochemistry (IHC)
  • Bindungsspezifität

    • 7
    • 2
    • 2
    • 2
    • 2
    • 1
    • 1
    • 1
    • 1
    • 1
    • 1
    • 1
    AA 1-140

    Verwendungszweck

    DLX2 Antibody

    Aufreinigung

    Antigen Affinity Purified

    Immunogen

    Recombinant Human Homeobox protein DLX-2 protein (1-140AA)

    Isotyp

    IgG
  • Applikationshinweise

    Optimal working dilution should be determined by the investigator.

    Beschränkungen

    Nur für Forschungszwecke einsetzbar
  • Format

    Liquid

    Buffer

    PBS with 0.02 % sodium azide, 50 % glycerol, pH 7.3.

    Konservierungsmittel

    Sodium azide

    Vorsichtsmaßnahmen

    This product contains Sodium azide: a POISONOUS AND HAZARDOUS SUBSTANCE which should be handled by trained staff only.

    Lagerung

    -20 °C,-80 °C

    Informationen zur Lagerung

    Upon receipt, store at -20°C or -80°C. Avoid repeated freeze.
  • Target

    DLX2 (Distal-Less Homeobox Protein 2 (DLX2))

    Andere Bezeichnung

    DLX2

    Hintergrund

    Background: Likely to play a regulatory role in the development of the ventral forebrain. May play a role in craniofacial patterning and morphogenesis.

    Aliases: DII A antibody, Distal less homeo box 2 antibody, Distal less homeobox 2 antibody, DLX 2 antibody, Dlx2 antibody, DLX2_HUMAN antibody, Dlx5 antibody, Homeobox protein DLX 2 antibody, Homeobox protein DLX-2 antibody, Homeobox protein DLX2 antibody, Homeobox protein TES 1 antibody, Homeobox protein TES1 antibody, Tes 1 antibody, Tes1 antibody, zgc antibody

    UniProt

    Q07687
Sie sind hier:
Chat with us!