Telefon:
+49 (0)241 95 163 153
Fax:
+49 (0)241 95 163 155
E-Mail:
orders@antikoerper-online.de

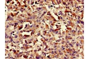
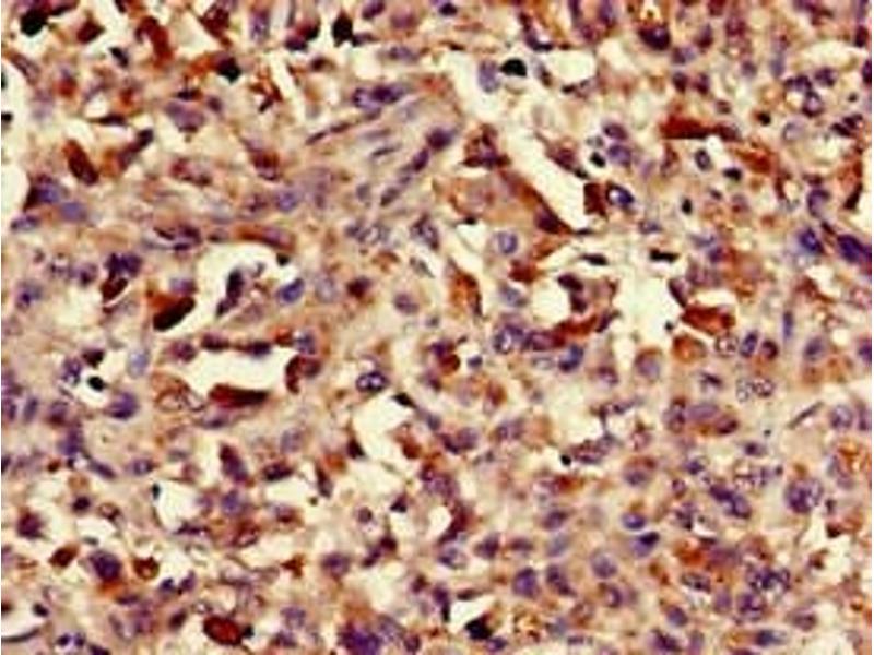
ASH1L Antikörper (AA 1906-2160)

Dieser Kaninchen Polyklonal Antikörper detektiert spezifisch ASH1L in ELISA, IHC und IF. Es zeigt Reaktivität gegenüber Proben von Human.
Produktnummer ABIN7155470
328,90 €
Zzgl. Versandkosten 20,00 € und MwSt
Lieferung nach: Deutschland
Lieferung in 11 bis 15 Werktagen

Kurzübersicht für ASH1L Antikörper (AA 1906-2160) (ABIN7155470)

Target

Alle ASH1L Antikörper anzeigen
ASH1L (Ash1 (Absent, Small, Or Homeotic)-like (ASH1L))

Reaktivität

  • 9
  • 2
  • 1
  • 1
  • 1
  • 1
  • 1
  • 1
Human

Wirt

  • 6
  • 3
Kaninchen

Klonalität

  • 6
  • 3
Polyklonal

Konjugat

  • 5
  • 2
  • 1
  • 1
Dieser ASH1L Antikörper ist unkonjugiert

Applikation

  • 4
  • 4
  • 1
  • 1
  • 1
  • 1
  • 1
ELISA, Immunohistochemistry (IHC), Immunofluorescence (IF)
  • Bindungsspezifität

    • 4
    • 1
    • 1
    • 1
    AA 1906-2160

    Verwendungszweck

    ASH1L Antibody

    Aufreinigung

    Protein G purified

    Reinheit

    >95 %

    Immunogen

    Recombinant Human Histone-lysine N-methyltransferase ASH1L protein (1906-2160AA)

    Isotyp

    IgG
  • Applikationshinweise

    Optimal working dilution should be determined by the investigator.

    Beschränkungen

    Nur für Forschungszwecke einsetzbar
  • Format

    Liquid

    Buffer

    Preservative: 0.03 % Proclin 300
    Constituents: 50 % Glycerol, 0.01M PBS, pH 7.4

    Konservierungsmittel

    ProClin

    Vorsichtsmaßnahmen

    This product contains ProClin: a POISONOUS AND HAZARDOUS SUBSTANCE which should be handled by trained staff only.

    Lagerung

    -20 °C,-80 °C

    Informationen zur Lagerung

    Upon receipt, store at -20°C or -80°C. Avoid repeated freeze.
  • Target

    ASH1L (Ash1 (Absent, Small, Or Homeotic)-like (ASH1L))

    Andere Bezeichnung

    ASH1L

    Hintergrund

    Background: Histone methyltransferase specifically methylating \'Lys-36\' of histone H3 (H3K36me).

    Aliases: Absent small and homeotic disks protein 1 homolog antibody, Absent Small or Homeotic Like antibody, Absent Small or Homeotic Like antibody, ASH 1 antibody, ASH 1L antibody, ash1 (absent small or homeotic 1) antibody, Ash1 (absent small or homeotic) like antibody, ASH1-like protein antibody, ASH1L antibody, ASH1L_HUMAN antibody, ASH1L1 antibody, FLJ10504 antibody, huASH1 antibody, KIAA1420 antibody, KMT2H / ASH1 antibody, Lysine N-methyltransferase 2H antibody, Probable histone-lysine N-methyltransferase ASH1L antibody

    UniProt

    Q9NR48
Sie sind hier:
Chat with us!