Telefon:
+49 (0)241 95 163 153
Fax:
+49 (0)241 95 163 155
E-Mail:
orders@antikoerper-online.de

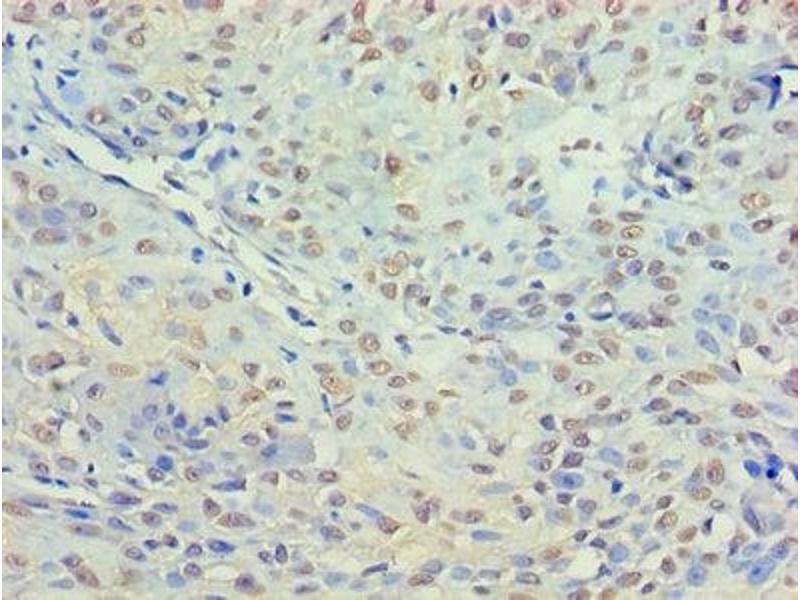
HDAC3 Antikörper (AA 1-428)

Der Kaninchen Polyklonal anti-HDAC3 Antikörper (ABIN7155310) detektiert spezifisch HDAC3 in WB, ELISA, IHC, IF und ChIP. Dieser Antikörper reagiert spezifisch mit Proben aus Human.
Produktnummer ABIN7155310
328,90 €
Zzgl. Versandkosten 20,00 € und MwSt
Lieferung nach: Deutschland
Lieferung in 11 bis 15 Werktagen

Kurzübersicht für HDAC3 Antikörper (AA 1-428) (ABIN7155310)

Target

Alle HDAC3 Antikörper anzeigen
HDAC3 (Histone Deacetylase 3 (HDAC3))

Reaktivität

  • 141
  • 93
  • 90
  • 9
  • 7
  • 6
  • 6
  • 5
  • 4
  • 4
  • 4
  • 2
  • 2
  • 1
  • 1
  • 1
Human

Wirt

  • 112
  • 28
  • 1
Kaninchen

Klonalität

  • 100
  • 41
Polyklonal

Konjugat

  • 76
  • 6
  • 5
  • 4
  • 4
  • 4
  • 4
  • 4
  • 4
  • 4
  • 2
  • 2
  • 2
  • 2
  • 2
  • 2
  • 2
  • 2
  • 2
  • 2
  • 2
  • 2
  • 1
  • 1
  • 1
Dieser HDAC3 Antikörper ist unkonjugiert

Applikation

  • 113
  • 51
  • 47
  • 40
  • 27
  • 26
  • 21
  • 19
  • 19
  • 16
  • 8
  • 4
  • 2
  • 2
  • 2
  • 2
  • 1
Western Blotting (WB), ELISA, Immunohistochemistry (IHC), Immunofluorescence (IF), Chromatin Immunoprecipitation (ChIP)
  • Bindungsspezifität

    • 19
    • 17
    • 16
    • 9
    • 8
    • 5
    • 4
    • 2
    • 1
    • 1
    • 1
    • 1
    • 1
    • 1
    • 1
    • 1
    • 1
    • 1
    • 1
    • 1
    • 1
    • 1
    • 1
    • 1
    AA 1-428

    Verwendungszweck

    HDAC3 Antibody

    Kreuzreaktivität

    Maus

    Aufreinigung

    Protein G purified

    Reinheit

    >95 %

    Immunogen

    Recombinant Human Histone deacetylase 3 protein (1-428AA)

    Isotyp

    IgG
  • Applikationshinweise

    Optimal working dilution should be determined by the investigator.

    Beschränkungen

    Nur für Forschungszwecke einsetzbar
  • Format

    Liquid

    Buffer

    Preservative: 0.03 % Proclin 300
    Constituents: 50 % Glycerol, 0.01M PBS, PH 7.4

    Konservierungsmittel

    ProClin

    Vorsichtsmaßnahmen

    This product contains ProClin: a POISONOUS AND HAZARDOUS SUBSTANCE which should be handled by trained staff only.

    Lagerung

    -20 °C,-80 °C

    Informationen zur Lagerung

    Upon receipt, store at -20°C or -80°C. Avoid repeated freeze.
  • Target

    HDAC3 (Histone Deacetylase 3 (HDAC3))

    Andere Bezeichnung

    HDAC3

    Hintergrund

    Background: Responsible for the deacetylation of lysine residues on the N-terminal part of the core histones (H2A, H2B, H3 and H4), and some other non-histone substrates. Histone deacetylation gives a tag for epigenetic repression and plays an important role in transcriptional regulation, cell cycle progression and developmental events. Histone deacetylases act via the formation of large multiprotein complexes. Participates in the BCL6 transcriptional repressor activity by deacetylating the H3 \\\'Lys-27\\\' (H3K27) on enhancer elements, antagonizing EP300 acetyltransferase activity and repressing proximal gene expression. Probably participates in the regulation of transcription through its binding to the zinc-finger transcription factor YY1, increases YY1 repression activity. Required to repress transcription of the POU1F1 transcription factor. Acts as a molecular chaperone for shuttling phosphorylated NR2C1 to PML bodies for sumoylation.

    Aliases: HD3 antibody, HDAC 3 antibody, HDAC3 antibody, HDAC3_HUMAN antibody, Histone deacetylase 3 antibody, RPD3 2 antibody, RPD3 antibody, RPD3-2 antibody, SMAP45 antibody

    UniProt

    O15379

    Pathways

    Neurotrophin Signalübertragung, Regulation of Lipid Metabolism by PPARalpha, Regulation of Muscle Cell Differentiation, Skeletal Muscle Fiber Development
Sie sind hier:
Chat with us!