Telefon:
+49 (0)241 95 163 153
Fax:
+49 (0)241 95 163 155
E-Mail:
orders@antikoerper-online.de

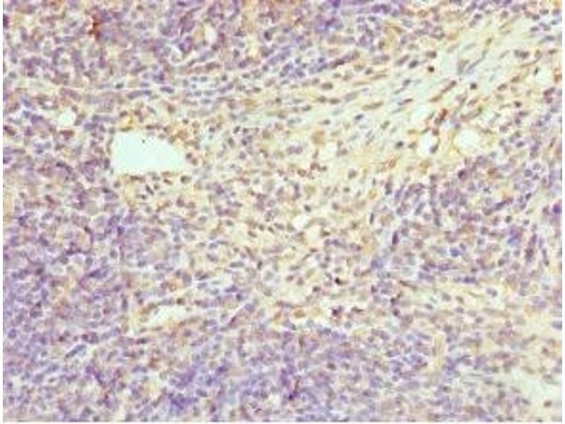
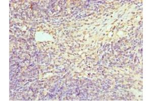
HPS1 Antikörper (AA 1-324)

Der Kaninchen Polyklonal anti-HPS1 Antikörper (ABIN7155076) detektiert spezifisch HPS1 in IHC und ELISA. Dieser Antikörper reagiert spezifisch mit Proben aus Human.
Produktnummer ABIN7155076
328,90 €
Zzgl. Versandkosten 20,00 € und MwSt
Lieferung nach: Deutschland
Lieferung in 11 bis 15 Werktagen

Kurzübersicht für HPS1 Antikörper (AA 1-324) (ABIN7155076)

Target

Alle HPS1 Antikörper anzeigen
HPS1 (Hermansky-Pudlak Syndrome 1 (HPS1))

Reaktivität

  • 13
  • 3
  • 2
Human

Wirt

  • 12
  • 2
Kaninchen

Klonalität

  • 12
  • 2
Polyklonal

Konjugat

  • 7
  • 1
  • 1
  • 1
  • 1
  • 1
  • 1
  • 1
Dieser HPS1 Antikörper ist unkonjugiert

Applikation

  • 5
  • 4
  • 3
  • 2
  • 1
  • 1
Immunohistochemistry (IHC), ELISA
  • Bindungsspezifität

    • 1
    • 1
    AA 1-324

    Verwendungszweck

    HPS1 Antibody

    Aufreinigung

    Antigen Affinity Purified

    Immunogen

    Recombinant Human Hermansky-Pudlak syndrome 1 protein (1-324AA)

    Isotyp

    IgG
  • Applikationshinweise

    Optimal working dilution should be determined by the investigator.

    Beschränkungen

    Nur für Forschungszwecke einsetzbar
  • Format

    Liquid

    Buffer

    PBS with 0.02 % sodium azide, 50 % glycerol, pH 7.3.

    Konservierungsmittel

    Sodium azide

    Vorsichtsmaßnahmen

    This product contains Sodium azide: a POISONOUS AND HAZARDOUS SUBSTANCE which should be handled by trained staff only.

    Lagerung

    -20 °C,-80 °C

    Informationen zur Lagerung

    Upon receipt, store at -20°C or -80°C. Avoid repeated freeze.
  • Target

    HPS1 (Hermansky-Pudlak Syndrome 1 (HPS1))

    Andere Bezeichnung

    HPS1

    Hintergrund

    Background: Component of multiple cytoplasmic organelles. Apparently crucial for their normal development and function. May be involved in intracellular protein sorting.

    Aliases: Hermansky Pudlak syndrome 1 protein antibody, Hermansky Pudlak syndrome gene antibody, Hermansky Pudlak syndrome type 1 antibody, Hermansky-Pudlak syndrome 1 antibody, Hermansky-Pudlak syndrome 1 protein antibody, HPS antibody, HPS1 antibody, HPS1_HUMAN antibody, MGC5277 antibody

    UniProt

    Q92902
Sie sind hier:
Chat with us!