Telefon:
+49 (0)241 95 163 153
Fax:
+49 (0)241 95 163 155
E-Mail:
orders@antikoerper-online.de

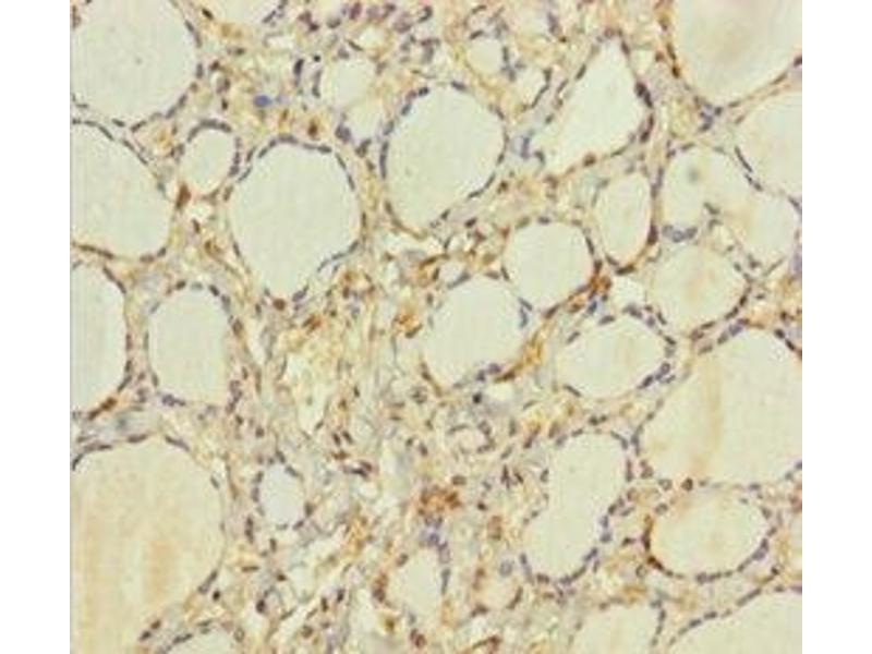
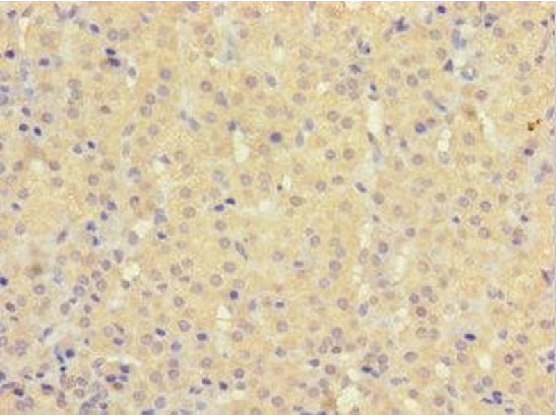
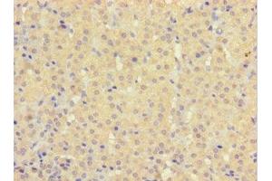
HEBP2 Antikörper (AA 2-205)

Der Kaninchen Polyklonal anti-HEBP2 Antikörper (ABIN7154959) detektiert spezifisch HEBP2 in ELISA und IHC. Dieser Antikörper reagiert spezifisch mit Proben aus Human.
Produktnummer ABIN7154959
328,90 €
Zzgl. Versandkosten 20,00 € und MwSt
Lieferung nach: Deutschland
Lieferung in 11 bis 15 Werktagen

Kurzübersicht für HEBP2 Antikörper (AA 2-205) (ABIN7154959)

Target

Alle HEBP2 Antikörper anzeigen
HEBP2 (Heme Binding Protein 2 (HEBP2))

Reaktivität

  • 29
  • 12
  • 3
  • 2
  • 1
  • 1
  • 1
  • 1
  • 1
Human

Wirt

  • 26
  • 3
Kaninchen

Klonalität

  • 29
Polyklonal

Konjugat

  • 13
  • 3
  • 3
  • 2
  • 1
  • 1
  • 1
  • 1
  • 1
  • 1
  • 1
  • 1
Dieser HEBP2 Antikörper ist unkonjugiert

Applikation

  • 17
  • 13
  • 2
  • 1
  • 1
  • 1
  • 1
  • 1
  • 1
ELISA, Immunohistochemistry (IHC)
  • Bindungsspezifität

    • 8
    • 4
    • 3
    • 2
    • 1
    • 1
    • 1
    • 1
    AA 2-205

    Verwendungszweck

    HEBP2 Antibody

    Aufreinigung

    Protein G purified

    Reinheit

    >95 %

    Immunogen

    Recombinant Human Heme-binding protein 2 protein (2-205AA)

    Isotyp

    IgG
  • Applikationshinweise

    Optimal working dilution should be determined by the investigator.

    Beschränkungen

    Nur für Forschungszwecke einsetzbar
  • Format

    Liquid

    Buffer

    Preservative: 0.03 % Proclin 300
    Constituents: 50 % Glycerol, 0.01M PBS, PH 7.4

    Konservierungsmittel

    ProClin

    Vorsichtsmaßnahmen

    This product contains ProClin: a POISONOUS AND HAZARDOUS SUBSTANCE which should be handled by trained staff only.

    Lagerung

    -20 °C,-80 °C

    Informationen zur Lagerung

    Upon receipt, store at -20°C or -80°C. Avoid repeated freeze.
  • Target

    HEBP2 (Heme Binding Protein 2 (HEBP2))

    Andere Bezeichnung

    HEBP2

    Hintergrund

    Background: Can promote mitochondrial permeability transition and facilitate necrotic cell death under different types of stress conditions. Does not bind hemin.

    Aliases: C6orf34 antibody, Chromosome 6 open reading frame 34 antibody, Hebp2 antibody, HEBP2_HUMAN antibody, Heme binding protein 2 antibody, Heme-binding protein 2 antibody, Placental protein 23 antibody, PP23 antibody, Protein SOUL antibody, SOUL antibody

    UniProt

    Q9Y5Z4
Sie sind hier:
Chat with us!