Telefon:
+49 (0)241 95 163 153
Fax:
+49 (0)241 95 163 155
E-Mail:
orders@antikoerper-online.de

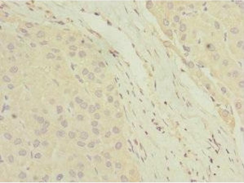
HAND2 Antikörper (AA 1-217)

Dieser Kaninchen Polyklonal Antikörper detektiert spezifisch HAND2 in ELISA und IHC. Es zeigt Reaktivität gegenüber Proben von Human.
Produktnummer ABIN7154846
328,90 €
Zzgl. Versandkosten 20,00 € und MwSt
Lieferung nach: Deutschland
Lieferung in 11 bis 15 Werktagen

Kurzübersicht für HAND2 Antikörper (AA 1-217) (ABIN7154846)

Target

Alle HAND2 Antikörper anzeigen
HAND2 (Heart and Neural Crest Derivatives Expressed 2 (HAND2))

Reaktivität

  • 35
  • 18
  • 13
  • 5
  • 2
  • 2
  • 2
  • 2
  • 2
  • 2
  • 1
  • 1
Human

Wirt

  • 38
  • 4
  • 2
Kaninchen

Klonalität

  • 40
  • 4
Polyklonal

Konjugat

  • 28
  • 5
  • 4
  • 3
  • 2
  • 2
Dieser HAND2 Antikörper ist unkonjugiert

Applikation

  • 37
  • 24
  • 13
  • 6
  • 6
  • 3
  • 1
  • 1
  • 1
  • 1
  • 1
ELISA, Immunohistochemistry (IHC)
  • Bindungsspezifität

    • 8
    • 7
    • 7
    • 3
    • 3
    • 2
    • 2
    • 1
    • 1
    • 1
    • 1
    AA 1-217

    Verwendungszweck

    HAND2 Antibody

    Aufreinigung

    Antigen Affinity Purified

    Immunogen

    Recombinant Human Heart- and neural crest derivatives-expressed protein 2 protein (1-217AA)

    Isotyp

    IgG
  • Applikationshinweise

    Optimal working dilution should be determined by the investigator.

    Beschränkungen

    Nur für Forschungszwecke einsetzbar
  • Format

    Liquid

    Buffer

    PBS with 0.02 % sodium azide, 50 % glycerol, pH 7.3.

    Konservierungsmittel

    Sodium azide

    Vorsichtsmaßnahmen

    This product contains Sodium azide: a POISONOUS AND HAZARDOUS SUBSTANCE which should be handled by trained staff only.

    Lagerung

    -20 °C,-80 °C

    Informationen zur Lagerung

    Upon receipt, store at -20°C or -80°C. Avoid repeated freeze.
  • Target

    HAND2 (Heart and Neural Crest Derivatives Expressed 2 (HAND2))

    Andere Bezeichnung

    HAND2

    Hintergrund

    Background: Essential for cardiac morphogenesis, particularly for the formation of the right ventricle and of the aortic arch arteries. Required for vascular development and regulation of angiogenesis, possibly through a VEGF signaling pathway. Plays also an important role in limb development, particularly in the establishment of anterior-posterior polarization, acting as an upstream regulator of sonic hedgehog (SHH) induction in the limb bud. Is involved in the development of branchial arches, which give rise to unique structures in the head and neck. Binds DNA on E-box consensus sequence 5\\\'-CANNTG-3\\\' (By similarity).

    Aliases: AI225906 antibody, AI661148 antibody, autonomic nervous system and neural crest derivatives-expressed protein 2 antibody, Basic helix loop helix transcription factor HAND2 antibody, bHLHa26 antibody, Class A basic helix-loop-helix protein 26 antibody, Deciduum antibody, Deciduum heart autonomic nervous system and neural crest derivatives expressed protein 2 antibody, DHAND 2 antibody, dHAND antibody, DHAND2 antibody, Ehand 2 antibody, Ehand2 antibody, FLJ16260 antibody, HAND 2 antibody, Hand2 antibody, HAND2_HUMAN antibody, Heart and neural crest derivatives expressed 2 antibody, Heart and neural crest derivatives expressed protein 2 antibody, heart and neural crest derivatives expressed transcript 2 antibody, heart antibody, Heart- and neural crest derivatives-expressed protein 2 antibody, Hed antibody, Highly similar to dHAND M musculus antibody, MGC125303 antibody, MGC125304 antibody, Th 2 antibody, Th2 antibody, Thing 2 antibody, Thing2 antibody

    UniProt

    P61296

    Pathways

    Tube Formation, Feeding Behaviour
Sie sind hier:
Chat with us!