Telefon:
+49 (0)241 95 163 153
Fax:
+49 (0)241 95 163 155
E-Mail:
orders@antikoerper-online.de

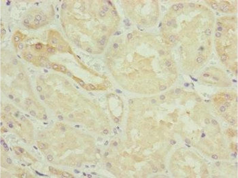
NYS48/HAUS8 Antikörper (AA 166-410)

Der Kaninchen Polyklonal anti-NYS48/HAUS8 Antikörper wird verwendet zum Nachweis von NYS48/HAUS8 in Proben von Human. Er wurde validiert für WB, ELISA, IF und IHC.
Produktnummer ABIN7154838
328,90 €
Zzgl. Versandkosten 20,00 € und MwSt
Lieferung nach: Deutschland
Lieferung in 11 bis 15 Werktagen

Kurzübersicht für NYS48/HAUS8 Antikörper (AA 166-410) (ABIN7154838)

Target

Alle NYS48/HAUS8 (HAUS8) Antikörper anzeigen
NYS48/HAUS8 (HAUS8) (HAUS Augmin-Like Complex, Subunit 8 (HAUS8))

Reaktivität

  • 27
  • 6
  • 2
  • 1
Human

Wirt

  • 26
  • 2
Kaninchen

Klonalität

  • 28
Polyklonal

Konjugat

  • 23
  • 1
  • 1
  • 1
  • 1
  • 1
Dieser NYS48/HAUS8 Antikörper ist unkonjugiert

Applikation

  • 26
  • 15
  • 5
  • 4
  • 3
  • 3
  • 3
  • 2
  • 1
  • 1
  • 1
Western Blotting (WB), ELISA, Immunofluorescence (IF), Immunohistochemistry (IHC)
  • Bindungsspezifität

    • 8
    • 3
    • 2
    • 1
    • 1
    • 1
    • 1
    • 1
    • 1
    • 1
    • 1
    • 1
    • 1
    • 1
    • 1
    AA 166-410

    Verwendungszweck

    HAUS8 Antibody

    Kreuzreaktivität

    Maus

    Aufreinigung

    Antigen Affinity Purified

    Immunogen

    Recombinant Human HAUS augmin-like complex subunit 8 protein (166-410AA)

    Isotyp

    IgG
  • Applikationshinweise

    Optimal working dilution should be determined by the investigator.

    Beschränkungen

    Nur für Forschungszwecke einsetzbar
  • Format

    Liquid

    Buffer

    PBS with 0.02 % sodium azide, 50 % glycerol, pH 7.3.

    Konservierungsmittel

    Sodium azide

    Vorsichtsmaßnahmen

    This product contains Sodium azide: a POISONOUS AND HAZARDOUS SUBSTANCE which should be handled by trained staff only.

    Lagerung

    -20 °C,-80 °C

    Informationen zur Lagerung

    Upon receipt, store at -20°C or -80°C. Avoid repeated freeze.
  • Target

    NYS48/HAUS8 (HAUS8) (HAUS Augmin-Like Complex, Subunit 8 (HAUS8))

    Andere Bezeichnung

    HAUS8

    Hintergrund

    Background: Contributes to mitotic spindle assembly, maintenance of centrosome integrity and completion of cytokinesis as part of the HAUS augmin-like complex.

    Aliases: DGT4 antibody, HAUS augmin like complex subunit 8 antibody, HAUS augmin-like complex subunit 8 antibody, HAUS8 antibody, HAUS8_HUMAN antibody, Hec1 interacting and centrosome associated 1 antibody, HEC1/NDC80 interacting centrosome associated protein 1 antibody, HEC1/NDC80-interacting centrosome-associated protein 1 antibody, HICE 1 antibody, HICE1 antibody, MGC20533 antibody, NY SAR 48 antibody, NY-SAR-48 antibody, Sarcoma antigen NY SAR 48 antibody, Sarcoma antigen NY-SAR-48 antibody

    UniProt

    Q9BT25
Sie sind hier:
Chat with us!