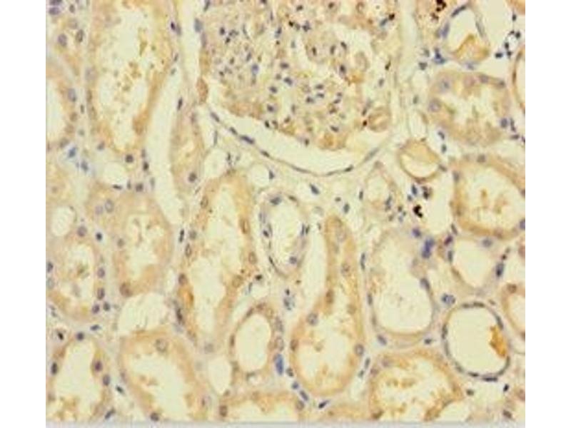
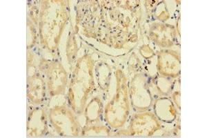
C9ORF72 Antikörper (AA 138-430)
Kurzübersicht für C9ORF72 Antikörper (AA 138-430) (ABIN7154647)
Target
Alle C9ORF72 Antikörper anzeigenReaktivität
Wirt
Klonalität
Konjugat
Applikation
-
-
Bindungsspezifität
- AA 138-430
-
Verwendungszweck
- C9orf72 Antibody
-
Aufreinigung
- Protein G purified
-
Reinheit
- >95 %
-
Immunogen
- Recombinant Human Guanine nucleotide exchange C9orf72 protein (138-430AA)
-
Isotyp
- IgG
-
-
-
-
Applikationshinweise
- Optimal working dilution should be determined by the investigator.
-
Beschränkungen
- Nur für Forschungszwecke einsetzbar
-
-
-
Format
- Liquid
-
Buffer
-
Preservative: 0.03 % Proclin 300
Constituents: 50 % Glycerol, 0.01M PBS, PH 7.4 -
Konservierungsmittel
- ProClin
-
Vorsichtsmaßnahmen
- This product contains ProClin: a POISONOUS AND HAZARDOUS SUBSTANCE which should be handled by trained staff only.
-
Lagerung
- -20 °C,-80 °C
-
Informationen zur Lagerung
- Upon receipt, store at -20°C or -80°C. Avoid repeated freeze.
-
-
- C9ORF72 (Chromosome 9 Open Reading Frame 72 (C9ORF72))
-
Andere Bezeichnung
- C9orf72
-
Hintergrund
-
Background: May play a role in endosomal trafficking and autophagy.
Aliases: ALSFTD antibody, C9orf72 antibody, chromosome 9 open reading frame 72 antibody, CI072_HUMAN antibody, FTDALS antibody, MGC23980 antibody, Protein C9orf72 antibody, RP11-27J8.2 antibody, Uncharacterized protein C9orf72 antibody
-
UniProt
- Q96LT7
Target
-