GEM Antikörper (AA 1-150)
Kurzübersicht für GEM Antikörper (AA 1-150) (ABIN7154587)
Target
Alle GEM Antikörper anzeigenReaktivität
Wirt
Klonalität
Konjugat
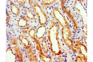
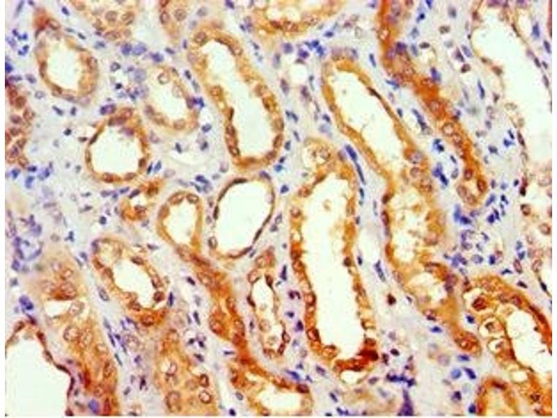
Applikation
-
-
Bindungsspezifität
- AA 1-150
-
Verwendungszweck
- GEM Antibody
-
Aufreinigung
- Antigen Affinity Purified
-
Immunogen
- Recombinant Human GTP-binding protein GEM protein (1-150AA)
-
Isotyp
- IgG
-
-
-
-
Applikationshinweise
- Optimal working dilution should be determined by the investigator.
-
Beschränkungen
- Nur für Forschungszwecke einsetzbar
-
-
-
Format
- Liquid
-
Buffer
- PBS with 0.02 % sodium azide, 50 % glycerol, pH 7.3.
-
Konservierungsmittel
- Sodium azide
-
Vorsichtsmaßnahmen
- This product contains Sodium azide: a POISONOUS AND HAZARDOUS SUBSTANCE which should be handled by trained staff only.
-
Lagerung
- -20 °C,-80 °C
-
Informationen zur Lagerung
- Upon receipt, store at -20°C or -80°C. Avoid repeated freeze.
-
-
- GEM (GTP Binding Protein Overexpressed in Skeletal Muscle (GEM))
-
Andere Bezeichnung
- GEM
-
Hintergrund
-
Background: Could be a regulatory protein, possibly participating in receptor-mediated signal transduction at the plasma membrane. Has guanine nucleotide-binding activity but undetectable intrinsic GTPase activity.
Aliases: GEM antibody, KIRGTP-binding protein GEM antibody, GTP-binding mitogen-induced T-cell protein antibody, RAS-like protein KIR antibody
-
UniProt
- P55040
Target
-