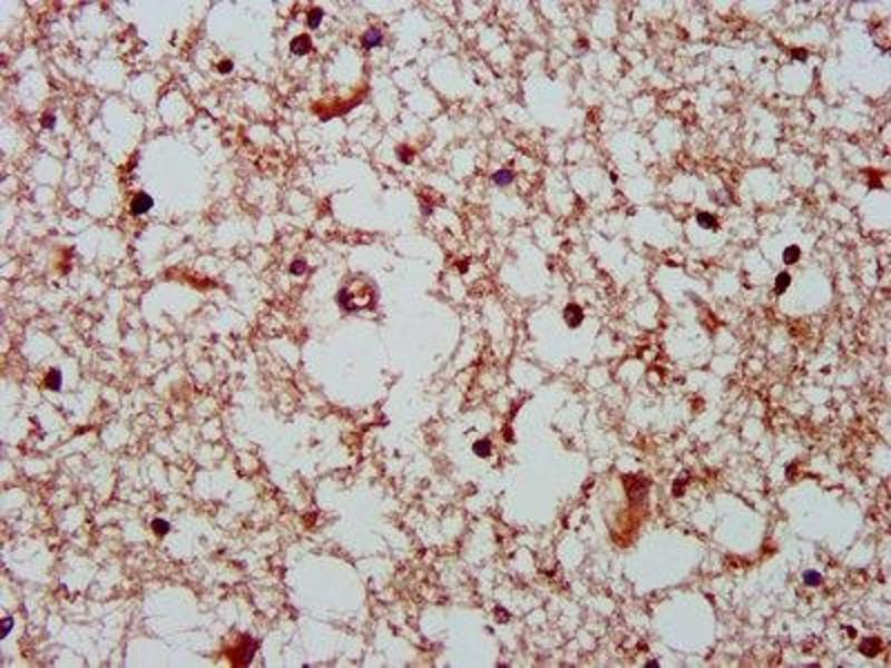
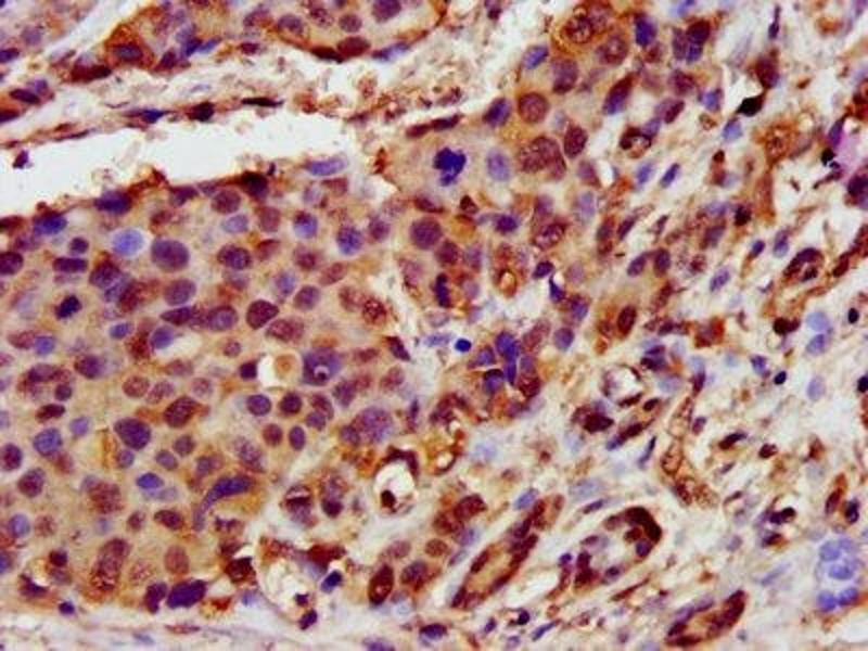
GHITM Antikörper (AA 293-345)
Kurzübersicht für GHITM Antikörper (AA 293-345) (ABIN7154521)
Target
Alle GHITM Antikörper anzeigenReaktivität
Wirt
Klonalität
Konjugat
Applikation
-
-
Bindungsspezifität
- AA 293-345
-
Verwendungszweck
- GHITM Antibody
-
Kreuzreaktivität
- Ratte
-
Aufreinigung
- Protein G purified
-
Reinheit
- >95 %
-
Immunogen
- Recombinant Human Growth hormone-inducible transmembrane protein (293-345AA)
-
Isotyp
- IgG
-
-
-
-
Applikationshinweise
- Optimal working dilution should be determined by the investigator.
-
Beschränkungen
- Nur für Forschungszwecke einsetzbar
-
-
-
Format
- Liquid
-
Buffer
-
Preservative: 0.03 % Proclin 300
Constituents: 50 % Glycerol, 0.01M PBS, PH 7.4 -
Konservierungsmittel
- ProClin
-
Vorsichtsmaßnahmen
- This product contains ProClin: a POISONOUS AND HAZARDOUS SUBSTANCE which should be handled by trained staff only.
-
Lagerung
- -20 °C,-80 °C
-
Informationen zur Lagerung
- Upon receipt, store at -20°C or -80°C. Avoid repeated freeze.
-
-
- GHITM (Growth Hormone Inducible Transmembrane Protein (GHITM))
-
Andere Bezeichnung
- GHITM
-
Hintergrund
-
Background: Required for the mitochondrial tubular network and cristae organization. Involved in apoptotic release of cytochrome c.
Aliases: Dermal papilla derived protein 2 antibody, Dermal papilla-derived protein 2 antibody, DERP2 antibody, Ghitm antibody, GHITM_HUMAN antibody, Growth hormone inducible transmembrane protein antibody, Growth hormone-inducible transmembrane protein antibody, HSPC282 antibody, MICS1 antibody, Mitochondrial morphology and cristae structure 1 antibody, My021 antibody, PTD010 antibody, TMBIM5 antibody, Transmembrane BAX inhibitor motif containing 5 antibody, Transmembrane BAX inhibitor motif containing protein 5 antibody, Transmembrane BAX inhibitor motif-containing protein 5 antibody
-
UniProt
- Q9H3K2
-
Pathways
- SARS-CoV-2 Protein Interaktom
Target
-