Telefon:
+49 (0)241 95 163 153
Fax:
+49 (0)241 95 163 155
E-Mail:
orders@antikoerper-online.de

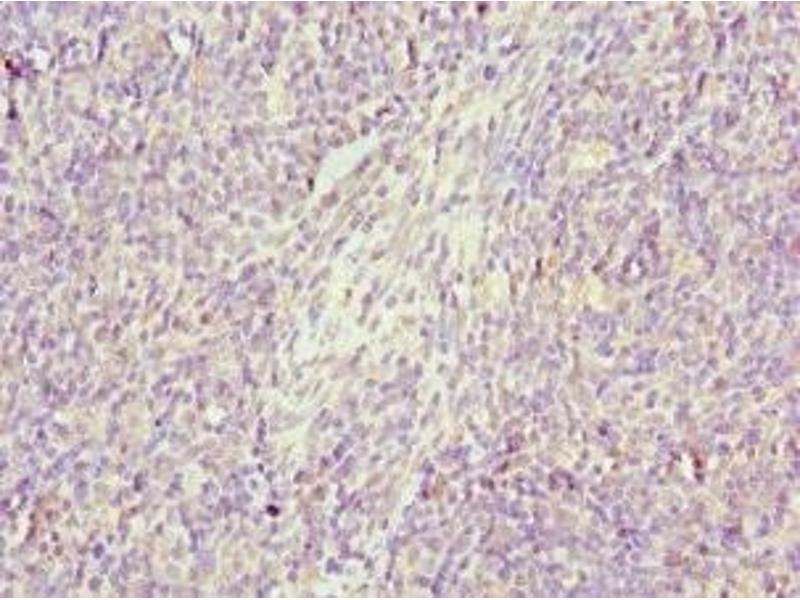
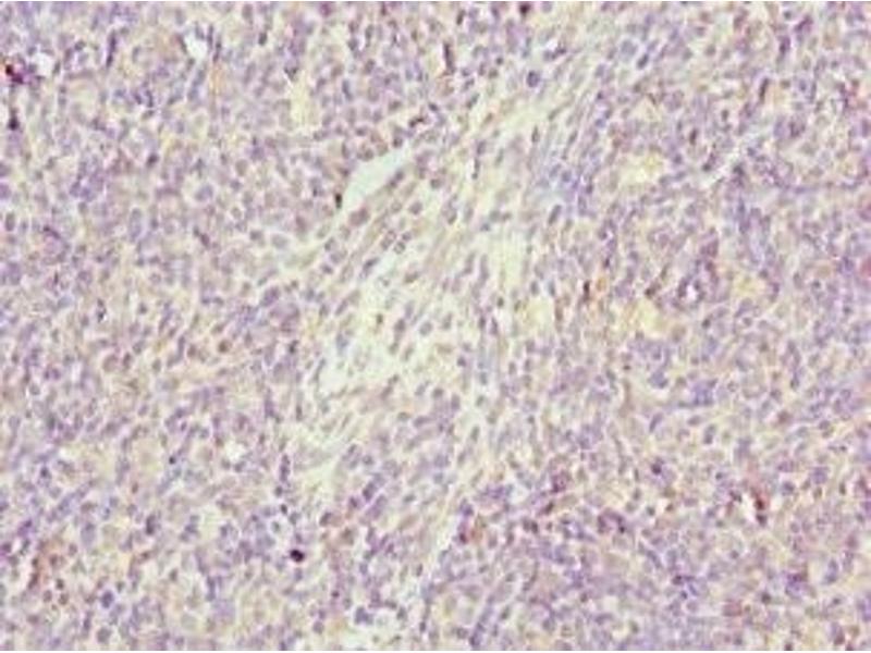
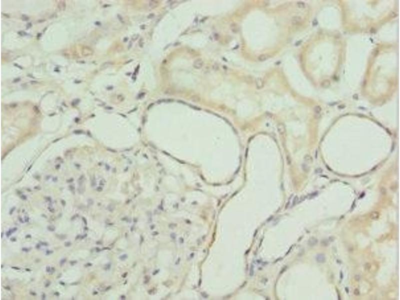
GZMH Antikörper (AA 20-246)

Der Kaninchen Polyklonal anti-GZMH Antikörper (ABIN7154419) detektiert spezifisch GZMH in IHC, ELISA und IF. Dieser Antikörper reagiert spezifisch mit Proben aus Human.
Produktnummer ABIN7154419
328,90 €
Zzgl. Versandkosten 20,00 € und MwSt
Lieferung nach: Deutschland
Lieferung in 11 bis 15 Werktagen

Kurzübersicht für GZMH Antikörper (AA 20-246) (ABIN7154419)

Target

Alle GZMH Antikörper anzeigen
GZMH (Granzyme H (Cathepsin G-Like 2, Protein H-CCPX) (GZMH))

Reaktivität

  • 33
  • 10
  • 2
  • 1
Human

Wirt

  • 29
  • 4
Kaninchen

Klonalität

  • 31
  • 2
Polyklonal

Konjugat

  • 19
  • 2
  • 2
  • 2
  • 2
  • 2
  • 2
  • 2
Dieser GZMH Antikörper ist unkonjugiert

Applikation

  • 18
  • 11
  • 5
  • 5
  • 3
  • 3
  • 2
  • 1
Immunohistochemistry (IHC), ELISA, Immunofluorescence (IF)
  • Bindungsspezifität

    • 3
    • 2
    • 2
    • 1
    • 1
    • 1
    • 1
    • 1
    • 1
    AA 20-246

    Verwendungszweck

    GZMH Antibody

    Aufreinigung

    Antigen Affinity Purified

    Immunogen

    Recombinant Human Granzyme H protein (20-246AA)

    Isotyp

    IgG
  • Applikationshinweise

    Optimal working dilution should be determined by the investigator.

    Beschränkungen

    Nur für Forschungszwecke einsetzbar
  • Format

    Liquid

    Buffer

    PBS with 0.02 % sodium azide, 50 % glycerol, pH 7.3.

    Konservierungsmittel

    Sodium azide

    Vorsichtsmaßnahmen

    This product contains Sodium azide: a POISONOUS AND HAZARDOUS SUBSTANCE which should be handled by trained staff only.

    Lagerung

    -20 °C,-80 °C

    Informationen zur Lagerung

    Upon receipt, store at -20°C or -80°C. Avoid repeated freeze.
  • Target

    GZMH (Granzyme H (Cathepsin G-Like 2, Protein H-CCPX) (GZMH))

    Andere Bezeichnung

    GZMH

    Hintergrund

    Background: Cytotoxic chymotrypsin-like serine protease with preference for bulky and aromatic residues at the P1 position and acidic residues at the P3\\\' and P4\\\' sites. Probably necessary for target cell lysis in cell-mediated immune responses. Participates in the antiviral response via direct cleavage of several proteins essential for viral replication.

    Aliases: Cathepsin G like 2 antibody, Cathepsin G-like 2 antibody, CCP X antibody, CCP-X antibody, CGL 2 antibody, CGL2 antibody, CSP C antibody, CSP-C antibody, CTLA1 antibody, CTSGL2 antibody, Cytotoxic serine protease C antibody, Cytotoxic T lymphocyte associated serine esterase 1 antibody, Cytotoxic T lymphocyte proteinase antibody, Cytotoxic T-lymphocyte proteinase antibody, EC 3.4.21.- antibody, GRAH_HUMAN antibody, Granzyme H (cathepsin G-like 2, protein h-CCPX) antibody, Granzyme H antibody, GZMH antibody, Protein h CCPX antibody

    UniProt

    P20718
Sie sind hier:
Chat with us!