Telefon:
+49 (0)241 95 163 153
Fax:
+49 (0)241 95 163 155
E-Mail:
orders@antikoerper-online.de

GMPR Antikörper (AA 1-345)

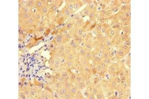
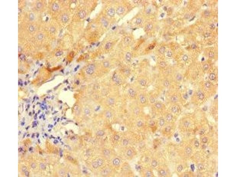
Der Kaninchen Polyklonal anti-GMPR Antikörper (ABIN7154281) detektiert spezifisch GMPR in ELISA und IHC. Dieser Antikörper reagiert spezifisch mit Proben aus Human.
Produktnummer ABIN7154281
328,90 €
Zzgl. Versandkosten 20,00 € und MwSt
Lieferung nach: Deutschland
Lieferung in 11 bis 15 Werktagen

Kurzübersicht für GMPR Antikörper (AA 1-345) (ABIN7154281)

Target

Alle GMPR Antikörper anzeigen
GMPR (Guanosine Monophosphate Reductase (GMPR))

Reaktivität

  • 40
  • 5
  • 5
  • 2
  • 2
  • 2
  • 2
  • 2
  • 2
  • 1
  • 1
  • 1
  • 1
  • 1
Human

Wirt

  • 37
  • 3
Kaninchen

Klonalität

  • 39
  • 1
Polyklonal

Konjugat

  • 15
  • 4
  • 4
  • 3
  • 1
  • 1
  • 1
  • 1
  • 1
  • 1
  • 1
  • 1
  • 1
  • 1
  • 1
  • 1
  • 1
  • 1
Dieser GMPR Antikörper ist unkonjugiert

Applikation

  • 15
  • 13
  • 13
  • 12
  • 7
  • 6
  • 4
  • 4
  • 3
  • 3
  • 3
  • 2
ELISA, Immunohistochemistry (IHC)
  • Bindungsspezifität

    • 15
    • 13
    • 4
    • 2
    • 2
    • 1
    • 1
    AA 1-345

    Verwendungszweck

    GMPR Antibody

    Aufreinigung

    Protein G purified

    Reinheit

    >95 %

    Immunogen

    Recombinant Human GMP reductase 1 protein (1-345AA)

    Isotyp

    IgG
  • Applikationshinweise

    Optimal working dilution should be determined by the investigator.

    Beschränkungen

    Nur für Forschungszwecke einsetzbar
  • Format

    Liquid

    Buffer

    Preservative: 0.03 % Proclin 300
    Constituents: 50 % Glycerol, 0.01M PBS, PH 7.4

    Konservierungsmittel

    ProClin

    Vorsichtsmaßnahmen

    This product contains ProClin: a POISONOUS AND HAZARDOUS SUBSTANCE which should be handled by trained staff only.

    Lagerung

    -20 °C,-80 °C

    Informationen zur Lagerung

    Upon receipt, store at -20°C or -80°C. Avoid repeated freeze.
  • Target

    GMPR (Guanosine Monophosphate Reductase (GMPR))

    Andere Bezeichnung

    GMPR

    Hintergrund

    Background: Catalyzes the irreversible NADPH-dependent deamination of GMP to IMP. It functions in the conversion of nucleobase, nucleoside and nucleotide derivatives of G to A nucleotides, and in maintaining the intracellular balance of A and G nucleotides.

    Aliases: GMPR antibody, GMPR1GMP reductase 1 antibody, GMPR 1 antibody, EC 1.7.1.7 antibody, Guanosine 5'-monophosphate oxidoreductase 1 antibody, Guanosine monophosphate reductase 1 antibody

    UniProt

    P36959
Sie sind hier:
Chat with us!