Telefon:
+49 (0)241 95 163 153
Fax:
+49 (0)241 95 163 155
E-Mail:
orders@antikoerper-online.de

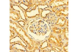
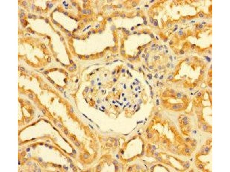
GATD3A (AA 43-268) Antikörper

Dieser Kaninchen Polyklonal Antikörper detektiert spezifisch GATD3A in ELISA, IHC und WB. Es zeigt Reaktivität gegenüber Proben von Human.
Produktnummer ABIN7154018
328,90 €
Zzgl. Versandkosten 20,00 € und MwSt
Lieferung nach: Deutschland
Lieferung in 11 bis 15 Werktagen

Kurzübersicht für GATD3A (AA 43-268) Antikörper (ABIN7154018)

Target

GATD3A

Reaktivität

Human

Wirt

  • 4
Kaninchen

Klonalität

  • 4
Polyklonal

Konjugat

  • 2
  • 1
  • 1
Unkonjugiert

Applikation

ELISA, Immunohistochemistry (IHC), Western Blotting (WB)
  • Bindungsspezifität

    AA 43-268

    Verwendungszweck

    GATD3A Antibody

    Aufreinigung

    Protein G purified

    Reinheit

    >95 %

    Immunogen

    Recombinant Human Glutamine amidotransferase-like class 1 domain-containing protein 3A, mitochondrial protein (43-268AA)

    Isotyp

    IgG
  • Applikationshinweise

    Optimal working dilution should be determined by the investigator.

    Beschränkungen

    Nur für Forschungszwecke einsetzbar
  • Format

    Liquid

    Buffer

    Preservative: 0.03 % Proclin 300
    Constituents: 50 % Glycerol, 0.01M PBS, PH 7.4

    Konservierungsmittel

    ProClin

    Vorsichtsmaßnahmen

    This product contains ProClin: a POISONOUS AND HAZARDOUS SUBSTANCE which should be handled by trained staff only.

    Lagerung

    -20 °C,-80 °C

    Informationen zur Lagerung

    Upon receipt, store at -20°C or -80°C. Avoid repeated freeze.
  • Target

    GATD3A

    Hintergrund

    GATD3A antibody, C21orf33 antibody, Glutamine amidotransferase-like class 1 domain-containing protein 3A antibody, mitochondrial antibody

    UniProt

    P0DPI2
Sie sind hier:
Chat with us!