Telefon:
+49 (0)241 95 163 153
Fax:
+49 (0)241 95 163 155
E-Mail:
orders@antikoerper-online.de

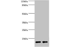
FABP6 Antikörper (AA 1-128)

Der Kaninchen Polyklonal anti-FABP6 Antikörper (ABIN7153696) detektiert spezifisch FABP6 in WB, IHC und ELISA. Dieser Antikörper reagiert spezifisch mit Proben aus Human.
Produktnummer ABIN7153696
328,90 €
Zzgl. Versandkosten 20,00 € und MwSt
Lieferung nach: Deutschland
Lieferung in 11 bis 15 Werktagen

Kurzübersicht für FABP6 Antikörper (AA 1-128) (ABIN7153696)

Target

Alle FABP6 Antikörper anzeigen
FABP6 (Fatty Acid Binding Protein 6, Ileal (FABP6))

Reaktivität

  • 33
  • 18
  • 14
  • 2
Human

Wirt

  • 43
  • 5
Kaninchen

Klonalität

  • 45
  • 3
Polyklonal

Konjugat

  • 31
  • 5
  • 3
  • 1
  • 1
  • 1
  • 1
  • 1
  • 1
  • 1
  • 1
  • 1
Dieser FABP6 Antikörper ist unkonjugiert

Applikation

  • 31
  • 23
  • 12
  • 9
  • 7
  • 6
  • 5
  • 5
  • 3
  • 3
  • 2
Western Blotting (WB), Immunohistochemistry (IHC), ELISA
  • Bindungsspezifität

    • 16
    • 6
    • 2
    • 2
    • 2
    • 1
    • 1
    • 1
    • 1
    AA 1-128

    Verwendungszweck

    FABP6 Antibody

    Kreuzreaktivität

    Maus, Ratte

    Aufreinigung

    Antigen Affinity Purified

    Immunogen

    Recombinant Human Gastrotropin protein (1-128AA)

    Isotyp

    IgG
  • Applikationshinweise

    Optimal working dilution should be determined by the investigator.

    Beschränkungen

    Nur für Forschungszwecke einsetzbar
  • Format

    Liquid

    Buffer

    PBS with 0.02 % sodium azide, 50 % glycerol, pH 7.3.

    Konservierungsmittel

    Sodium azide

    Vorsichtsmaßnahmen

    This product contains Sodium azide: a POISONOUS AND HAZARDOUS SUBSTANCE which should be handled by trained staff only.

    Lagerung

    -20 °C,-80 °C

    Informationen zur Lagerung

    Upon receipt, store at -20°C or -80°C. Avoid repeated freeze.
  • Target

    FABP6 (Fatty Acid Binding Protein 6, Ileal (FABP6))

    Andere Bezeichnung

    FABP6

    Hintergrund

    Background: Ileal protein which stimulates gastric acid and pepsinogen secretion. Seems to be able to bind to bile salts and bilirubins. Isoform 2 is essential for the survival of colon cancer cells to bile acid-induced apoptosis.

    Aliases: Fabp6 antibody, FABP6_HUMAN antibody, Fatty acid binding protein 6, ileal (gastrotropin) antibody, Fatty acid-binding protein 6 antibody, Gastrotropin antibody, GT antibody, I 15P antibody, I BABP antibody, I BALB antibody, I BAP antibody, I-15P antibody, I-BABP antibody, I15P antibody, IBABP antibody, IBALB antibody, IBAP antibody, ILBP antibody, ILBP3 antibody, Ileal lipid binding protein antibody, Ileal lipid-binding protein antibody, ILLBP antibody, Intestinal 15 kDa protein antibody, Intestinal bile acid binding protein antibody, Intestinal bile acid-binding protein antibody

    UniProt

    P51161
Sie sind hier:
Chat with us!