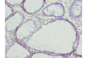
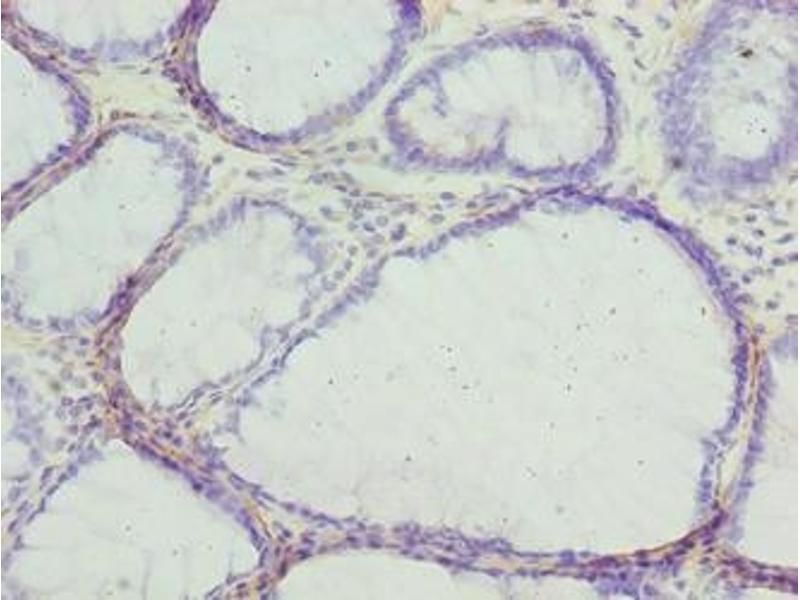
MLZE Antikörper (AA 1-508)
Kurzübersicht für MLZE Antikörper (AA 1-508) (ABIN7153655)
Target
Alle MLZE Antikörper anzeigenReaktivität
Wirt
Klonalität
Konjugat
Applikation
-
-
Bindungsspezifität
- AA 1-508
-
Verwendungszweck
- GSDMC Antibody
-
Aufreinigung
- Protein G purified
-
Reinheit
- >95 %
-
Immunogen
- Recombinant Human Gasdermin-C protein (1-508AA)
-
Isotyp
- IgG
-
-
-
-
Applikationshinweise
- Optimal working dilution should be determined by the investigator.
-
Beschränkungen
- Nur für Forschungszwecke einsetzbar
-
-
-
Format
- Liquid
-
Buffer
-
Preservative: 0.03 % Proclin 300
Constituents: 50 % Glycerol, 0.01M PBS, PH 7.4 -
Konservierungsmittel
- ProClin
-
Vorsichtsmaßnahmen
- This product contains ProClin: a POISONOUS AND HAZARDOUS SUBSTANCE which should be handled by trained staff only.
-
Lagerung
- -20 °C,-80 °C
-
Informationen zur Lagerung
- Upon receipt, store at -20°C or -80°C. Avoid repeated freeze.
-
-
- MLZE (Melanomaderived Leucine Zipper Extra-Nuclear Factor (MLZE))
-
Andere Bezeichnung
- GSDMC
-
Hintergrund
-
Background: cytoplasm, microtubule organizing center, mitochondrion
Aliases: Gasdermin C antibody, Gasdermin-C antibody, GSDMC antibody, GSDMC_HUMAN antibody, Melanoma derived leucine zipper, extra nuclear factor antibody, Melanoma-derived leucine zipper-containing extranuclear factor antibody, MLZE antibody
-
UniProt
- Q9BYG8
Target
-