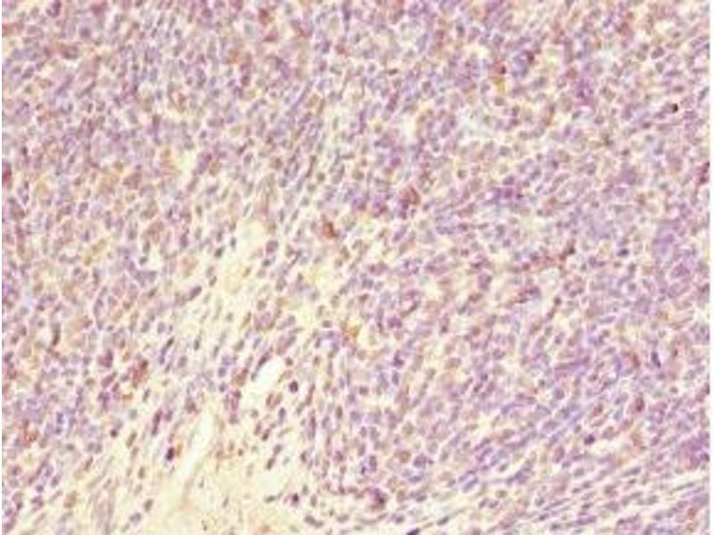
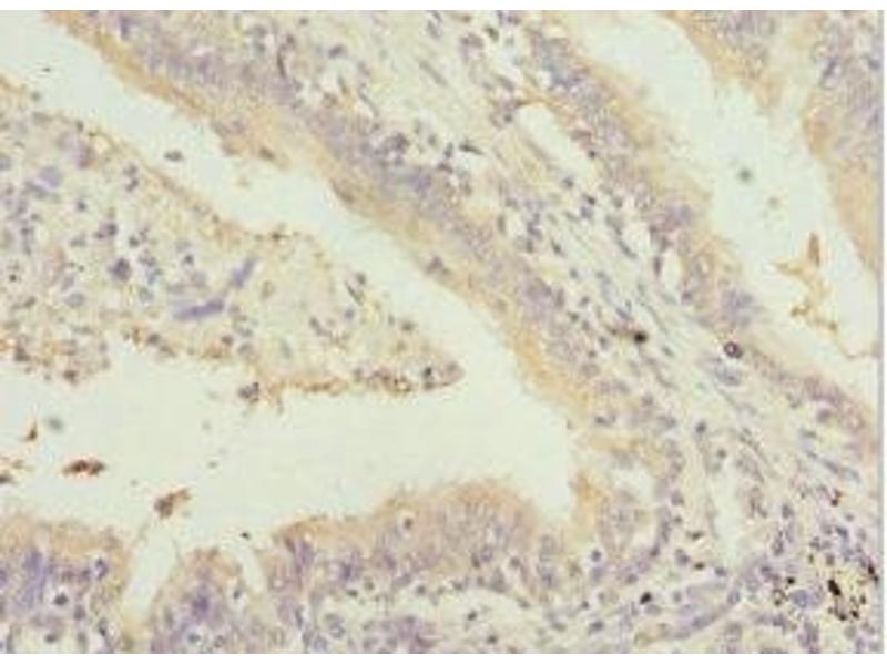
GABRR1 Antikörper (AA 365-465)
Kurzübersicht für GABRR1 Antikörper (AA 365-465) (ABIN7153505)
Target
Alle GABRR1 Antikörper anzeigenReaktivität
Wirt
Klonalität
Konjugat
Applikation
-
-
Bindungsspezifität
- AA 365-465
-
Verwendungszweck
- GABRR1 Antibody
-
Kreuzreaktivität
- Maus
-
Aufreinigung
- Antigen Affinity Purified
-
Immunogen
- Recombinant Human Gamma-aminobutyric acid receptor subunit rho-1 protein (365-465AA)
-
Isotyp
- IgG
-
-
-
-
Applikationshinweise
- Optimal working dilution should be determined by the investigator.
-
Beschränkungen
- Nur für Forschungszwecke einsetzbar
-
-
-
Format
- Liquid
-
Buffer
- PBS with 0.02 % sodium azide, 50 % glycerol, pH 7.3.
-
Konservierungsmittel
- Sodium azide
-
Vorsichtsmaßnahmen
- This product contains Sodium azide: a POISONOUS AND HAZARDOUS SUBSTANCE which should be handled by trained staff only.
-
Lagerung
- -20 °C,-80 °C
-
Informationen zur Lagerung
- Upon receipt, store at -20°C or -80°C. Avoid repeated freeze.
-
-
- GABRR1 (gamma-aminobutyric Acid (GABA) Receptor, rho 1 (GABRR1))
-
Andere Bezeichnung
- GABRR1
-
Hintergrund
-
Background: GABA, the major inhibitory neurotransmitter in the vertebrate brain, mediates neuronal inhibition by binding to the GABA/benzodiazepine receptor and opening an integral chloride channel. Rho-1 GABA receptor could play a role in retinal neurotransmission.
Aliases: bA135P14.1 (gamma-aminobutyric acid (GABA) receptor rho 1) antibody, GABA(A) receptor subunit rho-1 antibody, GABA(C) receptor antibody, GABRR1 antibody, gamma aminobutyric acid receptor rho 1 antibody, gamma-aminobutyric acid (GABA) A receptor rho-1 antibody, gamma-aminobutyric acid (GABA) receptor rho 1 antibody, Gamma-aminobutyric acid receptor subunit rho-1 antibody, GBRR1_HUMAN antibody, MGC163216 antibody
-
UniProt
- P24046
Target
-