Telefon:
+49 (0)241 95 163 153
Fax:
+49 (0)241 95 163 155
E-Mail:
orders@antikoerper-online.de

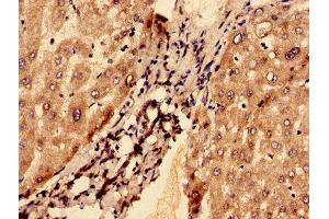
G0S2 Antikörper (AA 1-103)

Der Kaninchen Polyklonal anti-G0S2 Antikörper (ABIN7153381) detektiert spezifisch G0S2 in WB, ELISA und IHC. Dieser Antikörper reagiert spezifisch mit Proben aus Human.
Produktnummer ABIN7153381
328,90 €
Zzgl. Versandkosten 20,00 € und MwSt
Lieferung nach: Deutschland
Lieferung in 11 bis 15 Werktagen

Kurzübersicht für G0S2 Antikörper (AA 1-103) (ABIN7153381)

Target

Alle G0S2 Antikörper anzeigen
G0S2 (G0/G1switch 2 (G0S2))

Reaktivität

  • 22
  • 7
  • 5
  • 3
Human

Wirt

  • 20
  • 2
Kaninchen

Klonalität

  • 22
Polyklonal

Konjugat

  • 14
  • 3
  • 3
  • 2
Dieser G0S2 Antikörper ist unkonjugiert

Applikation

  • 13
  • 12
  • 5
  • 4
  • 2
  • 1
Western Blotting (WB), ELISA, Immunohistochemistry (IHC)
  • Bindungsspezifität

    • 12
    • 1
    • 1
    • 1
    AA 1-103

    Verwendungszweck

    G0S2 Antibody

    Aufreinigung

    Protein G purified

    Reinheit

    >95 %

    Immunogen

    Recombinant Human G0/G1 switch protein 2 protein (1-103AA)

    Isotyp

    IgG
  • Applikationshinweise

    Optimal working dilution should be determined by the investigator.

    Beschränkungen

    Nur für Forschungszwecke einsetzbar
  • Format

    Liquid

    Buffer

    Preservative: 0.03 % Proclin 300
    Constituents: 50 % Glycerol, 0.01M PBS, PH 7.4

    Konservierungsmittel

    ProClin

    Vorsichtsmaßnahmen

    This product contains ProClin: a POISONOUS AND HAZARDOUS SUBSTANCE which should be handled by trained staff only.

    Lagerung

    -20 °C,-80 °C

    Informationen zur Lagerung

    Upon receipt, store at -20°C or -80°C. Avoid repeated freeze.
  • Target

    G0S2 (G0/G1switch 2 (G0S2))

    Andere Bezeichnung

    G0S2

    Hintergrund

    Background: Promotes apoptosis by binding to BCL2, hence preventing the formation of protective BCL2-BAX heterodimers.

    Aliases: G0/G1 switch regulatory protein 2 antibody, G0/G1switch 2 antibody, G0s2 antibody, G0S2_HUMAN antibody, OTTHUMP00000034644 antibody, Putative lymphocyte G0/G1 switch protein 2 antibody, RP1 28O10.2 antibody

    UniProt

    P27469

    Pathways

    Regulation of Lipid Metabolism by PPARalpha
Sie sind hier:
Chat with us!