Telefon:
+49 (0)241 95 163 153
Fax:
+49 (0)241 95 163 155
E-Mail:
orders@antikoerper-online.de

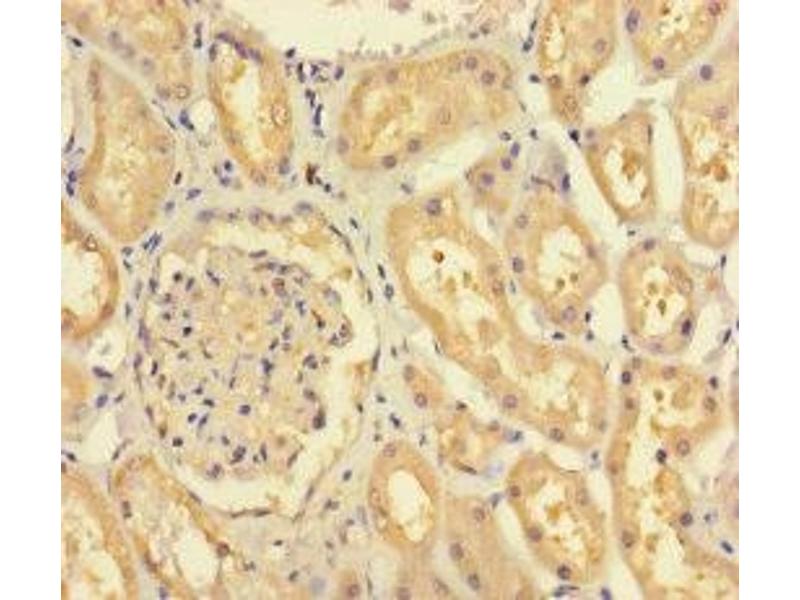
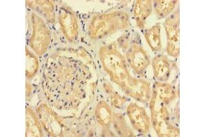
FERD3L Antikörper (AA 1-167)

Dieser Kaninchen Polyklonal Antikörper detektiert spezifisch FERD3L in ELISA, IHC und IF. Es zeigt Reaktivität gegenüber Proben von Human.
Produktnummer ABIN7152677
328,90 €
Zzgl. Versandkosten 20,00 € und MwSt
Lieferung nach: Deutschland
Lieferung in 11 bis 15 Werktagen

Kurzübersicht für FERD3L Antikörper (AA 1-167) (ABIN7152677)

Target

Alle FERD3L Antikörper anzeigen
FERD3L (Fer3-Like (FERD3L))

Reaktivität

  • 17
  • 1
Human

Wirt

  • 15
  • 2
  • 1
Kaninchen

Klonalität

  • 18
Polyklonal

Konjugat

  • 8
  • 2
  • 1
  • 1
  • 1
  • 1
  • 1
  • 1
  • 1
  • 1
Dieser FERD3L Antikörper ist unkonjugiert

Applikation

ELISA, Immunohistochemistry (IHC), Immunofluorescence (IF)
  • Bindungsspezifität

    • 6
    • 4
    • 1
    AA 1-167

    Verwendungszweck

    FERD3L Antibody

    Aufreinigung

    Protein G purified

    Reinheit

    >95 %

    Immunogen

    Recombinant Human Fer3-like protein (1-167AA)

    Isotyp

    IgG
  • Applikationshinweise

    Optimal working dilution should be determined by the investigator.

    Beschränkungen

    Nur für Forschungszwecke einsetzbar
  • Format

    Liquid

    Buffer

    Preservative: 0.03 % Proclin 300
    Constituents: 50 % Glycerol, 0.01M PBS, PH 7.4

    Konservierungsmittel

    ProClin

    Vorsichtsmaßnahmen

    This product contains ProClin: a POISONOUS AND HAZARDOUS SUBSTANCE which should be handled by trained staff only.

    Lagerung

    -20 °C,-80 °C

    Informationen zur Lagerung

    Upon receipt, store at -20°C or -80°C. Avoid repeated freeze.
  • Target

    FERD3L (Fer3-Like (FERD3L))

    Andere Bezeichnung

    FERD3L

    Hintergrund

    Background: Transcription factor that binds to the E-box and functions as inhibitor of transcription. DNA binding requires dimerization with an E protein. Inhibits transcription activation by ASCL1/MASH1 by sequestering E proteins.

    Aliases: Basic helix-loop-helix protein N-twist antibody, bHLHa31 antibody, Class A basic helix-loop-helix protein 31 antibody, Fer3 like (Drosophila) antibody, Fer3-like protein antibody, FER3L_HUMAN antibody, Ferd3l antibody, MGC119861 antibody, N TWIST antibody, NATO3 antibody, Nephew of atonal 3 antibody, Neuronal twist antibody, NTWIST antibody

    UniProt

    Q96RJ6
Sie sind hier:
Chat with us!