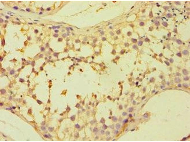
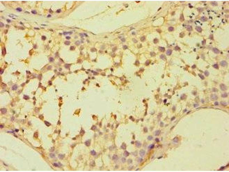
CAPZB Antikörper (AA 1-272)
Kurzübersicht für CAPZB Antikörper (AA 1-272) (ABIN7152381)
Target
Alle CAPZB Antikörper anzeigenReaktivität
Wirt
Klonalität
Konjugat
Applikation
-
-
Bindungsspezifität
- AA 1-272
-
Verwendungszweck
- CAPZB Antibody
-
Aufreinigung
- Antigen Affinity Purified
-
Immunogen
- Recombinant Human F-actin-capping protein subunit beta protein (1-272AA)
-
Isotyp
- IgG
-
-
-
-
Applikationshinweise
- Optimal working dilution should be determined by the investigator.
-
Beschränkungen
- Nur für Forschungszwecke einsetzbar
-
-
-
Format
- Liquid
-
Buffer
- PBS with 0.02 % sodium azide, 50 % glycerol, pH 7.3.
-
Konservierungsmittel
- Sodium azide
-
Vorsichtsmaßnahmen
- This product contains Sodium azide: a POISONOUS AND HAZARDOUS SUBSTANCE which should be handled by trained staff only.
-
Lagerung
- -20 °C,-80 °C
-
Informationen zur Lagerung
- Upon receipt, store at -20°C or -80°C. Avoid repeated freeze.
-
-
- CAPZB (Capping Protein (Actin Filament) Muscle Z-Line, beta (CAPZB))
-
Andere Bezeichnung
- CAPZB
-
Hintergrund
-
Background: F-actin-capping proteins bind in a Ca2+-independent manner to the fast growing ends of actin filaments (barbed end) thereby blocking the exchange of subunits at these ends. Unlike other capping proteins (such as gelsolin and severin), these proteins do not sever actin filaments. Plays a role in the regulation of cell morphology and cytoskeletal organization.
Aliases: 11 antibody, Cap protein, actin, beta antibody, Cap Z antibody, CAPB antibody, CAPPB antibody, Capping protein (actin filament) muscle Z line beta antibody, Capping protein beta 2 antibody, CAPZ antibody, CapZ beta antibody, Capzb antibody, CAPZB_HUMAN antibody, DKFZp686K0524 antibody, F actin capping protein beta subunit antibody, F-actin-capping protein subunit beta antibody, FLJ12274 antibody, FLJ44693 antibody, MGC104401 antibody, MGC129749 antibody, MGC129750 antibody, wu:fk65f06 antibody, zgc:66149 antibody
-
UniProt
- P47756
-
Pathways
- Regulation of Actin Filament Polymerization
Target
-