Telefon:
+49 (0)241 95 163 153
Fax:
+49 (0)241 95 163 155
E-Mail:
orders@antikoerper-online.de

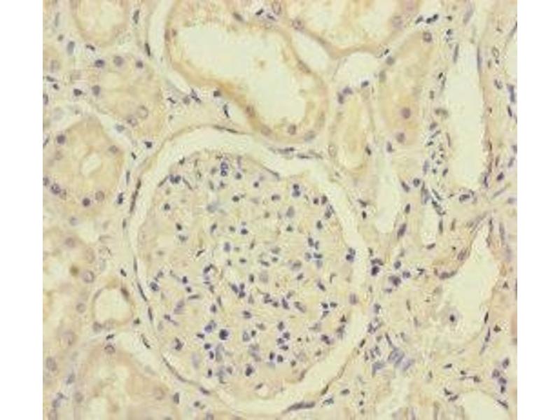
Exportin 6 Antikörper (AA 290-530)

Der Kaninchen Polyklonal anti-Exportin 6 Antikörper (ABIN7152325) detektiert spezifisch Exportin 6 in IHC und ELISA. Dieser Antikörper reagiert spezifisch mit Proben aus Human.
Produktnummer ABIN7152325
328,90 €
Zzgl. Versandkosten 20,00 € und MwSt
Lieferung nach: Deutschland
Lieferung in 11 bis 15 Werktagen

Kurzübersicht für Exportin 6 Antikörper (AA 290-530) (ABIN7152325)

Target

Alle Exportin 6 (XPO6) Antikörper anzeigen
Exportin 6 (XPO6)

Reaktivität

  • 14
  • 4
  • 3
  • 1
  • 1
  • 1
Human

Wirt

  • 14
Kaninchen

Klonalität

  • 14
Polyklonal

Konjugat

  • 7
  • 1
  • 1
  • 1
  • 1
  • 1
  • 1
  • 1
Dieser Exportin 6 Antikörper ist unkonjugiert

Applikation

  • 4
  • 3
  • 2
  • 2
  • 1
Immunohistochemistry (IHC), ELISA
  • Bindungsspezifität

    • 2
    • 2
    • 1
    AA 290-530

    Verwendungszweck

    XPO6 Antibody

    Aufreinigung

    Antigen Affinity Purified

    Immunogen

    Recombinant Human Exportin-6 protein (290-530AA)

    Isotyp

    IgG
  • Applikationshinweise

    Optimal working dilution should be determined by the investigator.

    Beschränkungen

    Nur für Forschungszwecke einsetzbar
  • Format

    Liquid

    Buffer

    PBS with 0.02 % sodium azide, 50 % glycerol, pH 7.3.

    Konservierungsmittel

    Sodium azide

    Vorsichtsmaßnahmen

    This product contains Sodium azide: a POISONOUS AND HAZARDOUS SUBSTANCE which should be handled by trained staff only.

    Lagerung

    -20 °C,-80 °C

    Informationen zur Lagerung

    Upon receipt, store at -20°C or -80°C. Avoid repeated freeze.
  • Target

    Exportin 6 (XPO6)

    Andere Bezeichnung

    XPO6

    Hintergrund

    Background: Mediates the nuclear export of actin and profilin-actin complexes in somatic cells.

    Aliases: Exp6 antibody, Exportin 6 antibody, Exportin-6 antibody, RAN binding protein 20 antibody, Ran-binding protein 20 antibody, RANBP20 antibody, xpo6 antibody, XPO6_HUMAN antibody

    UniProt

    Q96QU8
Sie sind hier:
Chat with us!