Telefon:
+49 (0)241 95 163 153
Fax:
+49 (0)241 95 163 155
E-Mail:
orders@antikoerper-online.de

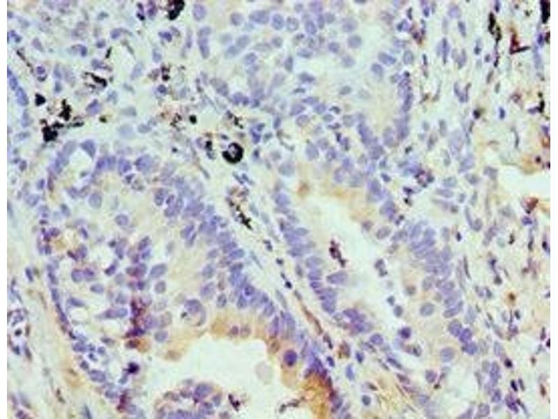
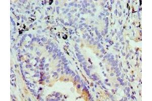
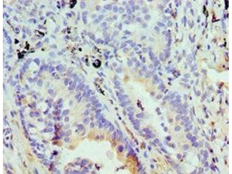
Stomatin Antikörper (AA 55-288)

Dieser Kaninchen Polyklonal Antikörper detektiert spezifisch Stomatin in WB, ELISA und IHC. Es zeigt Reaktivität gegenüber Proben von Human.
Produktnummer ABIN7152008
328,90 €
Zzgl. Versandkosten 20,00 € und MwSt
Lieferung nach: Deutschland
Lieferung in 11 bis 15 Werktagen

Kurzübersicht für Stomatin Antikörper (AA 55-288) (ABIN7152008)

Target

Alle Stomatin (STOM) Antikörper anzeigen
Stomatin (STOM)

Reaktivität

  • 23
  • 21
  • 7
  • 2
  • 2
  • 2
  • 2
  • 2
  • 2
  • 1
  • 1
  • 1
  • 1
  • 1
Human

Wirt

  • 28
  • 7
  • 1
Kaninchen

Klonalität

  • 32
  • 3
Polyklonal

Konjugat

  • 22
  • 1
  • 1
  • 1
  • 1
  • 1
  • 1
  • 1
  • 1
  • 1
  • 1
  • 1
  • 1
  • 1
  • 1
Dieser Stomatin Antikörper ist unkonjugiert

Applikation

  • 20
  • 13
  • 13
  • 10
  • 6
  • 5
  • 5
  • 3
  • 2
  • 2
  • 1
  • 1
Western Blotting (WB), ELISA, Immunohistochemistry (IHC)
  • Bindungsspezifität

    • 15
    • 4
    • 4
    • 2
    • 1
    • 1
    • 1
    • 1
    AA 55-288

    Verwendungszweck

    STOM Antibody

    Kreuzreaktivität

    Maus

    Aufreinigung

    Antigen Affinity Purified

    Immunogen

    Recombinant Human Erythrocyte band 7 integral membrane protein (55-288AA)

    Isotyp

    IgG
  • Applikationshinweise

    Optimal working dilution should be determined by the investigator.

    Beschränkungen

    Nur für Forschungszwecke einsetzbar
  • Format

    Liquid

    Buffer

    PBS with 0.02 % sodium azide, 50 % glycerol, pH 7.3.

    Konservierungsmittel

    Sodium azide

    Vorsichtsmaßnahmen

    This product contains Sodium azide: a POISONOUS AND HAZARDOUS SUBSTANCE which should be handled by trained staff only.

    Lagerung

    -20 °C,-80 °C

    Informationen zur Lagerung

    Upon receipt, store at -20°C or -80°C. Avoid repeated freeze.
  • Target

    Stomatin (STOM)

    Andere Bezeichnung

    STOM

    Hintergrund

    Background: Regulates ion channel activity and transmembrane ion transport. Regulates ASIC2 and ASIC3 channel activity.

    Aliases: BND7 antibody, EPB7 antibody, EPB72 antibody, Erythrocyte band 7 integral membrane protein antibody, Erythrocyte membrane protein band 7.2 (stomatin) antibody, Erythrocyte surface protein band 7.2 antibody, Protein 7.2b antibody, STOM antibody, STOM_HUMAN antibody, Stomatin antibody

    UniProt

    P27105

    Pathways

    SARS-CoV-2 Protein Interaktom
Sie sind hier:
Chat with us!