Telefon:
+49 (0)241 95 163 153
Fax:
+49 (0)241 95 163 155
E-Mail:
orders@antikoerper-online.de

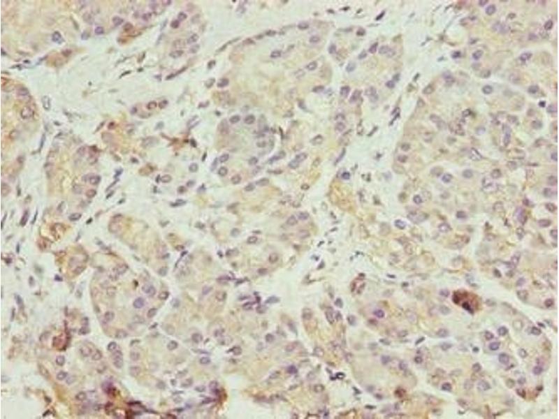
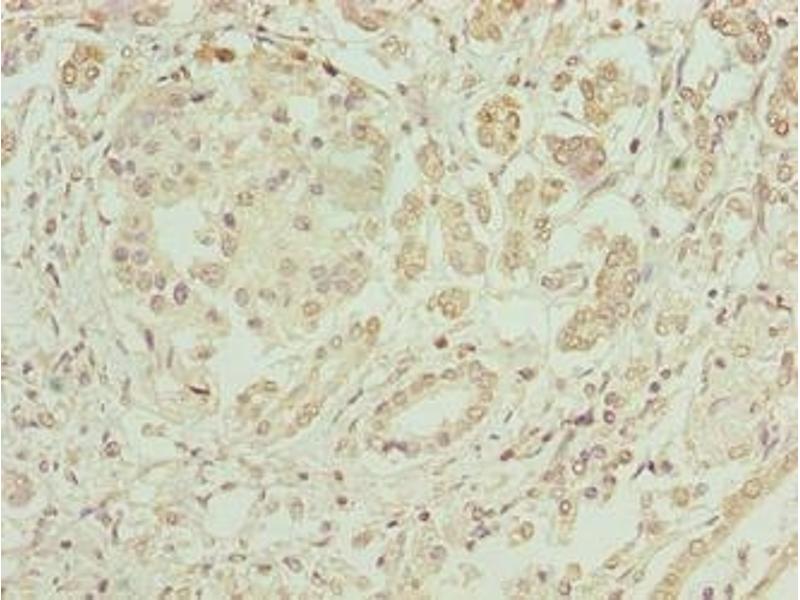
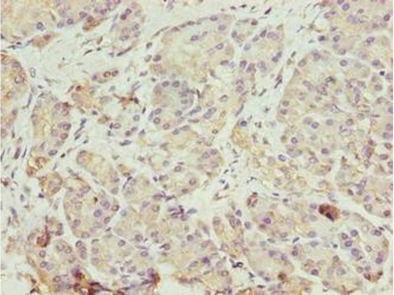
ERO1LB Antikörper (AA 101-400)

Der Kaninchen Polyklonal anti-ERO1LB Antikörper (ABIN7152004) detektiert spezifisch ERO1LB in WB, ELISA und IHC. Dieser Antikörper reagiert spezifisch mit Proben aus Human.
Produktnummer ABIN7152004
328,90 €
Zzgl. Versandkosten 20,00 € und MwSt
Lieferung nach: Deutschland
Lieferung in 11 bis 15 Werktagen

Kurzübersicht für ERO1LB Antikörper (AA 101-400) (ABIN7152004)

Target

Alle ERO1LB Antikörper anzeigen
ERO1LB (ERO1-Like beta (ERO1LB))

Reaktivität

  • 27
  • 17
  • 17
Human

Wirt

  • 32
Kaninchen

Klonalität

  • 32
Polyklonal

Konjugat

  • 9
  • 4
  • 3
  • 3
  • 1
  • 1
  • 1
  • 1
  • 1
  • 1
  • 1
  • 1
  • 1
  • 1
  • 1
  • 1
  • 1
Dieser ERO1LB Antikörper ist unkonjugiert

Applikation

  • 28
  • 14
  • 13
  • 13
  • 11
  • 9
  • 5
  • 3
  • 2
  • 2
Western Blotting (WB), ELISA, Immunohistochemistry (IHC)
  • Bindungsspezifität

    • 15
    • 7
    • 5
    • 2
    • 1
    • 1
    AA 101-400

    Verwendungszweck

    ERO1B Antibody

    Kreuzreaktivität

    Maus

    Aufreinigung

    Protein G purified

    Reinheit

    >95 %

    Immunogen

    Recombinant Human ERO1-like protein beta protein (101-400AA)

    Isotyp

    IgG
  • Applikationshinweise

    Optimal working dilution should be determined by the investigator.

    Beschränkungen

    Nur für Forschungszwecke einsetzbar
  • Format

    Liquid

    Buffer

    Preservative: 0.03 % Proclin 300
    Constituents: 50 % Glycerol, 0.01M PBS, PH 7.4

    Konservierungsmittel

    ProClin

    Vorsichtsmaßnahmen

    This product contains ProClin: a POISONOUS AND HAZARDOUS SUBSTANCE which should be handled by trained staff only.

    Lagerung

    -20 °C,-80 °C

    Informationen zur Lagerung

    Upon receipt, store at -20°C or -80°C. Avoid repeated freeze.
  • Target

    ERO1LB (ERO1-Like beta (ERO1LB))

    Andere Bezeichnung

    ERO1B

    Hintergrund

    Background: Oxidoreductase involved in disulfide bond formation in the endoplasmic reticulum. Efficiently reoxidizes P4HB/PDI, the enzyme catalyzing protein disulfide formation, in order to allow P4HB to sustain additional rounds of disulfide formation. Other protein disulfide isomerase family members can also be reoxidized, but at lower rates compared to P4HB, including PDIA2 (50 % of P4HB reoxidation rate), as well as PDIA3, PDIA4, PDIA6 and NXNDC12 (<10 %). Following P4HB reoxidation, passes its electrons to molecular oxygen via FAD, leading to the production of reactive oxygen species (ROS) in the cell. May be involved in oxidative proinsulin folding in pancreatic cells, hence may play a role in glucose homeostasis.

    Aliases: Endoplasmic oxidoreductin-1-like protein B antibody, Endoplasmic reticulum oxidoreductin-1-like protein B antibody, ERO1, S. cerevisiae, homolog of, beta antibody, ERO1-L-beta antibody, ERO1-like beta (S. cerevisiae) antibody, ERO1-like protein beta antibody, ERO1B_HUMAN antibody, Ero1lb antibody, Oxidoreductin-1-L-beta antibody

    UniProt

    Q86YB8

    Pathways

    SARS-CoV-2 Protein Interaktom
Sie sind hier:
Chat with us!